Shopping Cart
Remove All
Your shopping cart is currently empty
Anti-Musashi 1 Antibody (3I437) is a Rabbit antibody targeting Musashi 1. Anti-Musashi 1 Antibody (3I437) can be used in FCM,ICC/IF,IHC,IP,WB.
| Pack Size | Price | USA Warehouse | Global Warehouse | Quantity |
|---|---|---|---|---|
| 50 μL | $298 | 7-10 days | 7-10 days | |
| 100 μL | $496 | 7-10 days | 7-10 days |
| Description | Anti-Musashi 1 Antibody (3I437) is a Rabbit antibody targeting Musashi 1. Anti-Musashi 1 Antibody (3I437) can be used in FCM,ICC/IF,IHC,IP,WB. |
| Synonyms | RNA-binding protein Musashi homolog 1, RNA binding protein Musashi homolog 1, Musashi1, Musashi homolog 1, MSI1H_HUMAN, Msi1, Msi 1 |
| Ig Type | IgG |
| Clone | 3I437 |
| Reactivity | Human |
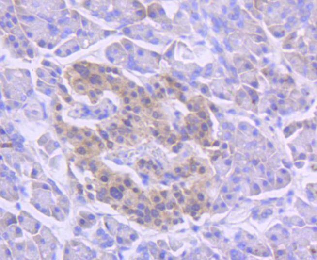
| Verified Activity | 1. Immunohistochemical analysis of paraffin-embedded human pancreas tissue using anti-Musashi 1 antibody. Counter stained with hematoxylin. 2. ICC staining Musashi 1 in Hela cells (green). The nuclear counter stain is DAPI (blue). Cells were fixed in paraformaldehyde, permeabilised with 0.25% Triton X100/PBS. 3. ICC staining Musashi 1 in A549 cells (green). The nuclear counter stain is DAPI (blue). Cells were fixed in paraformaldehyde, permeabilised with 0.25% Triton X100/PBS. ![]() ![]() ![]() |
| Application | |
| Recommended Dose | WB: 1:1000; IHC: 1:50-200; ICC/IF: 1:50-200; FCM: 1:50-200 |
| Antibody Type | Monoclonal |
| Host Species | Rabbit |
| Construction | Recombinant Antibody |
| Purification | ProA affinity purified |
| Appearance | Liquid |
| Formulation | 1*TBS (pH7.4), 1%BSA, 40%Glycerol. Preservative: 0.05% Sodium Azide. |
| Research Background | Musashi1 (Msi1) is an RNA-binding protein expressed in neural progenitor cells and neural stem cells. Msi1 is the mammalian homolog of Drosophila Musashi. The gene encoding human Msi1 encodes a 362 amino acid protein. In murine embryonic neural progenitor cells, Msi1 localizes to the cytoplasm and is downregulated during differentiation. Msi1 binds to NUMB, which encodes a membrane-associated antagonist of Notch signaling. Msi1 appears to function in the proliferation and maintenance of stem cell populations of the central nervous system. In addition to its usefulness as a marker for neural progenitor cells in normal human brains, Msi1 is also a marker for human gliomas. In rats, Msi1 is expressed in Sertoli cells of the testis and granulosa cells of the ovary. |
| Conjucates | Unconjugated |
| Immunogen | Recombinant Protein |
| Uniprot ID |
| Molecular Weight | Theoretical: 39 kDa. |
| Stability & Storage | Store at -20°C or -80°C for 12 months. Avoid repeated freeze-thaw cycles. |
| Transport | Shipping with blue ice. |
| Size | Quantity | Unit Price | Amount | Operation |
|---|

Copyright © 2015-2026 TargetMol Chemicals Inc. All Rights Reserved.