Shopping Cart
Remove All
Your shopping cart is currently empty
Anti-MUC2 (ABT-MUC2) Antibody (6O821) is a Mouse antibody targeting MUC2 (ABT-MUC2). Anti-MUC2 (ABT-MUC2) Antibody (6O821) can be used in IF,IHC-P.
| Pack Size | Price | USA Warehouse | Global Warehouse | Quantity |
|---|---|---|---|---|
| 50 μL | $217 | 7-10 days | 7-10 days | |
| 100 μL | $317 | 7-10 days | 7-10 days |
| Description | Anti-MUC2 (ABT-MUC2) Antibody (6O821) is a Mouse antibody targeting MUC2 (ABT-MUC2). Anti-MUC2 (ABT-MUC2) Antibody (6O821) can be used in IF,IHC-P. |
| Synonyms | MUC 2 |
| Clone | 6O821 |
| Reactivity | Human |
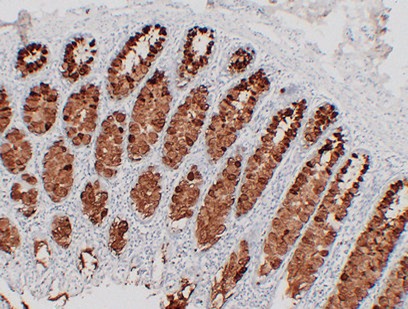
| Verified Activity | 1. Immunohistochemical analysis of paraffin-embedded Colon. ![]() |
| Application | |
| Recommended Dose | IHC-P: 1:100-500 |
| Antibody Type | Monoclonal |
| Host Species | Mouse |
| Construction | Hybridoma Monoclonal Antibody |
| Appearance | Liquid |
| Formulation | Liquid in PBS containing 50% glycerol, 0.5% BSA and 0.02% sodium azide. |
| Conjucates | Unconjugated |
| Immunogen | A synthesized peptide: human MUC2 |
| Antigen Species | human |
| Stability & Storage | Store at -20°C or -80°C for 12 months. Avoid repeated freeze-thaw cycles. |
| Transport | Shipping with blue ice. |
| Size | Quantity | Unit Price | Amount | Operation |
|---|

Copyright © 2015-2026 TargetMol Chemicals Inc. All Rights Reserved.