Shopping Cart
Remove All
Your shopping cart is currently empty
Anti-MTNR1B Polyclonal Antibody is a Rabbit antibody targeting MTNR1B. Anti-MTNR1B Polyclonal Antibody can be used in IF,IHC-Fr,IHC-P,WB.
| Pack Size | Price | USA Stock | Global Stock | Quantity |
|---|---|---|---|---|
| 50 μL | $222 | 7-10 days | 7-10 days | |
| 100 μL | $374 | 7-10 days | 7-10 days | |
| 200 μL | $528 | 7-10 days | 7-10 days |
| Description | Anti-MTNR1B Polyclonal Antibody is a Rabbit antibody targeting MTNR1B. Anti-MTNR1B Polyclonal Antibody can be used in IF,IHC-Fr,IHC-P,WB. |
| Synonyms | MTR1B, MTNR-1B, Mtnr1b, MT2, MGC129287, MGC129286, melatonin receptor type 1B, Melatonin receptor 1B, melatonin receptor, MEL-1B-R, MEL1B |
| Ig Type | IgG |
| Reactivity | Human,Mouse |
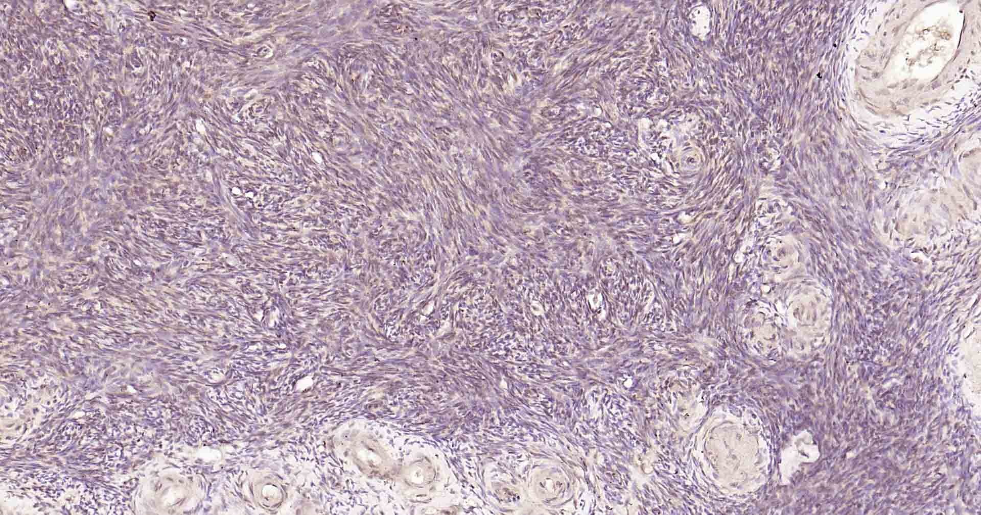
| Verified Activity | 1. Paraformaldehyde-fixed, paraffin embedded Human Ovary; Antigen retrieval by boiling in sodium citrate buffer (pH6.0) for 15 min; Antibody incubation with MTNR1B Polyclonal Antibody, Unconjugated (TMAB-01178) at 1:200 overnight at 4°C, followed by conjugation to the SP Kit (Rabbit) and DAB staining. 2. Paraformaldehyde-fixed, paraffin embedded Human Cerebrum; Antigen retrieval by boiling in sodium citrate buffer (pH6.0) for 15 min; Antibody incubation with MTNR1B Polyclonal Antibody, Unconjugated (TMAB-01178) at 1:200 overnight at 4°C, followed by conjugation to the SP Kit (Rabbit) and DAB staining. 3. 25 μg total protein per Lane of various lysates probed with MTNR1B polyclonal antibody, unconjugated (TMAB-01178) at 1:1000 dilution and 4°C overnight incubation. Followed by conjugated secondary antibody incubation at RT for 60 min. ![]() ![]() ![]() |
| Application | |
| Recommended Dose | WB: 1:500-2000; IHC-P: 1:100-500; IHC-Fr: 1:100-500; IF: 1:100-500 |
| Antibody Type | Polyclonal |
| Host Species | Rabbit |
| Subcellular Localization | Cell membrane; Multi-pass membrane protein. |
| Tissue Specificity | Expressed in retina and less in brain and hippocampus. |
| Construction | Polyclonal Antibody |
| Purification | Protein A purified |
| Appearance | Liquid |
| Formulation | 0.01M TBS (pH7.4) with 1% BSA, 0.02% Proclin300 and 50% Glycerol. |
| Concentration | 1 mg/mL |
| Research Background | This gene encodes one of two high affinity forms of a receptor for melatonin, the primary hormone secreted by the pineal gland. This receptor is a G-protein coupled, 7-transmembrane receptor that is responsible for melatonin effects on mammalian circadian rhythm and reproductive alterations affected by day length. The receptor is an integral membrane protein that is readily detectable and localized to two specific regions of the brain. The hypothalamic suprachiasmatic nucleus appears to be involved in circadian rhythm while the hypophysial pars tuberalis may be responsible for the reproductive effects of melatonin. |
| Immunogen | KLH conjugated synthetic peptide: human MTNR1B |
| Antigen Species | Human |
| Gene Name | MTNR1B |
| Gene ID | |
| Protein Name | Melatonin receptor type 1B |
| Uniprot ID | |
| Biology Area | Metabolism,More GPCR |
| Function | High affinity receptor for melatonin. Likely to mediates the reproductive and circadian actions of melatonin. The activity of this receptor is mediated by pertussis toxin sensitive G proteins that inhibit adenylate cyclase activity. |
| Molecular Weight | Theoretical: 40 kDa. Actual: 40 kDa. |
| Stability & Storage | Store at -20°C or -80°C for 12 months. Avoid repeated freeze-thaw cycles. |
| Transport | Shipping with blue ice. |
| Size | Quantity | Unit Price | Amount | Operation |
|---|

Copyright © 2015-2026 TargetMol Chemicals Inc. All Rights Reserved.