Shopping Cart
Remove All
Your shopping cart is currently empty
Anti-MSY2 Antibody (2H206) is a Mouse antibody targeting MSY2. Anti-MSY2 Antibody (2H206) can be used in IHC,WB.
| Pack Size | Price | USA Warehouse | Global Warehouse | Quantity |
|---|---|---|---|---|
| 50 μL | $298 | 7-10 days | 7-10 days | |
| 100 μL | $428 | 7-10 days | 7-10 days |
| Description | Anti-MSY2 Antibody (2H206) is a Mouse antibody targeting MSY2. Anti-MSY2 Antibody (2H206) can be used in IHC,WB. |
| Synonyms | YBX2, YBX 2, Y-box-binding protein 2, YBOX2_HUMAN, Y box binding protein 2, RGD1305068, OTTMUSP00000006276, MSY2 homolog, MSY 2, MGC45104, MGC118270, Germ cell-specific Y-box-binding protein, Germ cell specific Y box binding protein, FRGY2 homolog, DNA-binding protein C, DNA binding protein C, Dbpc, CSDA3, CSDA 3, Contrin |
| Clone | 2H206 |
| Reactivity | Human,Mouse,Rat |
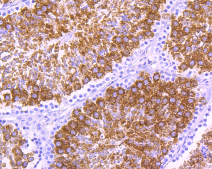
| Verified Activity | 1. Western blot analysis of MYS2 on MCF-7 cell (1) and mouse testis tissue lysate using anti-MSY2 antibody at 1/1,000 dilution. 2. Immunohistochemical analysis of paraffin-embedded mouse testis tissue using anti-MSY2 antibody. Counter stained with hematoxylin. ![]() ![]() |
| Application | |
| Recommended Dose | WB: 1:500-2000; IHC: 1:50-200 |
| Antibody Type | Monoclonal |
| Host Species | Mouse |
| Construction | Hybridoma Monoclonal Antibody |
| Purification | ProG affinity purified |
| Appearance | Liquid |
| Formulation | 1*TBS (pH7.4), 0.5%BSA, 50%Glycerol. Preservative: 0.05% Sodium Azide. |
| Research Background | Major constituent of messenger ribonucleoprotein particles (mRNPs). Involved in the regulation of the stability and/or translation of germ cell mRNAs. Binds to Y-box consensus promoter element. Binds to full-length mRNA with high affinity in a sequence-independent manner. Binds to short RNA sequences containing the consensus site 5'-UCCAUCA-3' with low affinity and limited sequence specificity. Its binding with maternal mRNAs is necessary for its cytoplasmic retention. May mark specific mRNAs (those transcribed from Y-box promoters) in the nucleus for cytoplasmic storage, thereby linking transcription and mRNA storage/translational delay. |
| Conjucates | Unconjugated |
| Immunogen | Peptide |
| Uniprot ID |
| Molecular Weight | Theoretical: 38.5 kDa. |
| Stability & Storage | Store at 2°C-8°C for 12 months, do not freeze. |
| Transport | Shipping with blue ice. |
| Size | Quantity | Unit Price | Amount | Operation |
|---|

Copyright © 2015-2026 TargetMol Chemicals Inc. All Rights Reserved.