Shopping Cart
Remove All
Your shopping cart is currently empty
Anti-MSGN1 Polyclonal Antibody is a Rabbit antibody targeting MSGN1. Anti-MSGN1 Polyclonal Antibody can be used in IF,IHC-Fr,IHC-P.
| Pack Size | Price | USA Warehouse | Global Warehouse | Quantity |
|---|---|---|---|---|
| 50 μL | $220 | 7-10 days | 7-10 days | |
| 100 μL | $372 | 7-10 days | 7-10 days | |
| 200 μL | $527 | 7-10 days | 7-10 days |
| Description | Anti-MSGN1 Polyclonal Antibody is a Rabbit antibody targeting MSGN1. Anti-MSGN1 Polyclonal Antibody can be used in IF,IHC-Fr,IHC-P. |
| Synonyms | paraxial mesogenin, MSGN 1, Mesogenin-1Mesogenin1 |
| Ig Type | IgG |
| Reactivity | Mouse,Rat (predicted:Human,Pig,Cow,Horse,Rabbit,Sheep) |
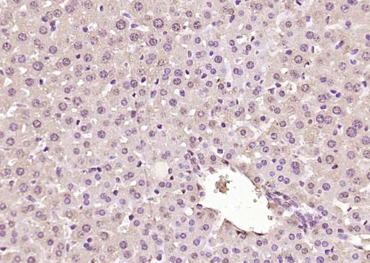
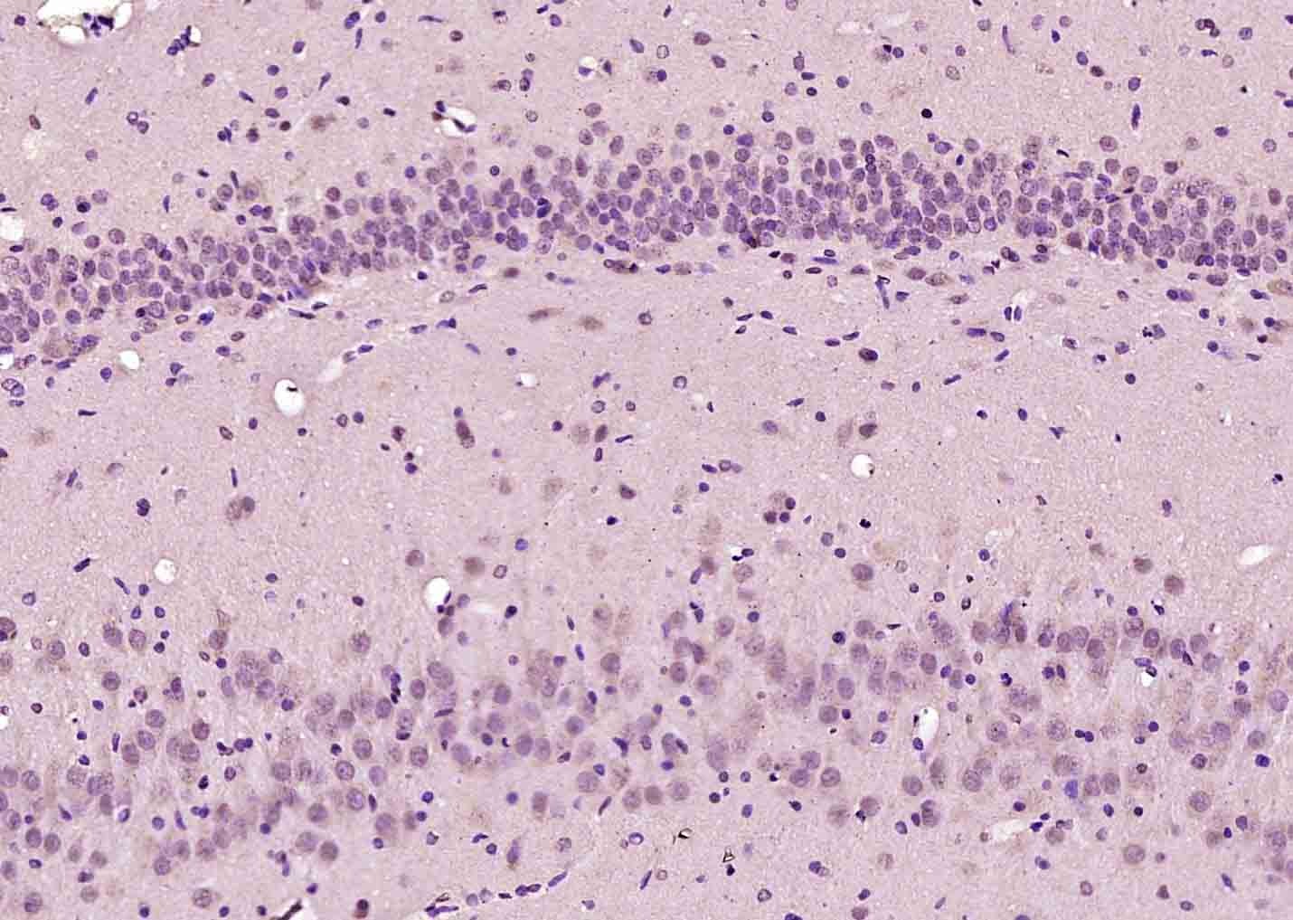
| Verified Activity | 1. Paraformaldehyde-fixed, paraffin embedded (mouse liver); Antigen retrieval by boiling in sodium citrate buffer (pH6.0) for 15 min; Block endogenous peroxidase by 3% hydrogen peroxide for 20 min; Blocking buffer (normal goat serum) at 37°C for 30 min; Antibody incubation with (MSGN1) Polyclonal Antibody, Unconjugated (TMAB-01170) at 1:200 overnight at 4°C, followed by operating according to SP Kit (Rabbit) instructionsand DAB staining. 2. Paraformaldehyde-fixed, paraffin embedded (rat brain); Antigen retrieval by boiling in sodium citrate buffer (pH6.0) for 15 min; Block endogenous peroxidase by 3% hydrogen peroxide for 20 min; Blocking buffer (normal goat serum) at 37°C for 30 min; Antibody incubation with (MSGN1) Polyclonal Antibody, Unconjugated (TMAB-01170) at 1:200 overnight at 4°C, followed by operating according to SP Kit (Rabbit) instructionsand DAB staining. 3. Paraformaldehyde-fixed, paraffin embedded (Rat intestine); Antigen retrieval by boiling in sodium citrate buffer (pH6.0) for 15 min; Block endogenous peroxidase by 3% hydrogen peroxide for 20 min; Blocking buffer (normal goat serum) at 37°C for 30 min; Antibody incubation with (MSGN1) Polyclonal Antibody, Unconjugated (TMAB-01170) at 1:200 overnight at 4°C, followed by operating according to SP Kit (Rabbit) instructionsand DAB staining. ![]() ![]() ![]() |
| Application | |
| Recommended Dose | IHC-P: 1:100-500; IHC-Fr: 1:100-500; IF: 1:100-500 |
| Antibody Type | Polyclonal |
| Host Species | Rabbit |
| Subcellular Localization | Nucleus. |
| Construction | Polyclonal Antibody |
| Purification | Protein A purified |
| Appearance | Liquid |
| Formulation | 0.01M TBS (pH7.4) with 1% BSA, 0.02% Proclin300 and 50% Glycerol. |
| Concentration | 1 mg/mL |
| Research Background | Involved in the formation and segmentation of paraxial mesoderm. Has the regulatory capacity to specify ventrolateral (including future paraxial), but not dorsal (future axial), mesoderm phenotypes. Seems to be an upstream regulator of at least some elements of the Notch and Delta signaling pathway. |
| Immunogen | KLH conjugated synthetic peptide: human MSGN1 |
| Antigen Species | Human |
| Gene Name | MSGN1 |
| Gene ID | |
| Protein Name | Mesogenin-1 |
| Uniprot ID | |
| Function | Involved in specifying the paraxial, but not dorsal, mesoderm. May regulate the expression of T-box transcription factors required for mesoderm formation and differentiation (By similarity). |
| Molecular Weight | Theoretical: 21 kDa. |
| Stability & Storage | Store at -20°C or -80°C for 12 months. Avoid repeated freeze-thaw cycles. |
| Transport | Shipping with blue ice. |
| Size | Quantity | Unit Price | Amount | Operation |
|---|

Copyright © 2015-2026 TargetMol Chemicals Inc. All Rights Reserved.