Shopping Cart
Remove All
Your shopping cart is currently empty
Anti-Mono-methyl-p53 (Lys370) Antibody (9O469) is a Mouse antibody targeting Mono-methyl-p53 (Lys370). Anti-Mono-methyl-p53 (Lys370) Antibody (9O469) can be used in IHC.

| Pack Size | Price | USA Stock | Global Stock | Quantity |
|---|---|---|---|---|
| 50 μL | $218 | 7-10 days | 7-10 days | |
| 100 μL | $316 | 7-10 days | 7-10 days |
| Description | Anti-Mono-methyl-p53 (Lys370) Antibody (9O469) is a Mouse antibody targeting Mono-methyl-p53 (Lys370). Anti-Mono-methyl-p53 (Lys370) Antibody (9O469) can be used in IHC. |
| Synonyms | p53K370-monomethylated, p53K370me, Mono-methyl-p53 (K370), MonoMe-p53K370, Mono-Me-p53 (Lys370), Mono-Me-p53 (K370) |
| Ig Type | IgG1 |
| Clone | 9O469 |
| Reactivity | Human,Mouse,Rat |
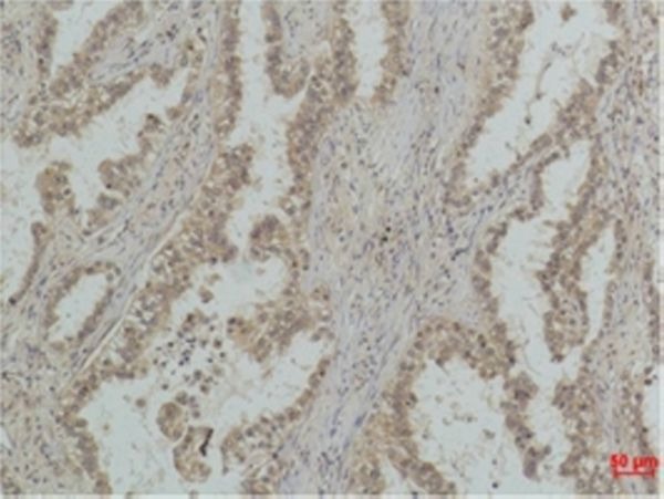
| Verified Activity | 1. Immunohistochemical analysis of paraffin-embedded Human Lung Carcinoma using P53 (Mono Methyl Lys370) Mouse mAb diluted at 1:500. ![]() |
| Application | |
| Recommended Dose | IHC: 1:50-200 |
| Antibody Type | Monoclonal |
| Host Species | Mouse |
| Construction | Hybridoma Monoclonal Antibody |
| Appearance | Liquid |
| Formulation | Liquid in PBS containing 50% glycerol, 0.5% BSA and 0.02% sodium azide. |
| Conjucates | Unconjugated |
| Others Formats | Methylated/Acetylated |
| Immunogen | A synthesized peptide |
| Molecular Weight | Theoretical: 53 kDa. |
| Stability & Storage | Store at -20°C or -80°C for 12 months. Avoid repeated freeze-thaw cycles. |
| Transport | Shipping with blue ice. |
| Size | Quantity | Unit Price | Amount | Operation |
|---|

Copyright © 2015-2026 TargetMol Chemicals Inc. All Rights Reserved.