Shopping Cart
- Remove All
 Your shopping cart is currently empty Your shopping cart is currently empty
Anti-MMP-2 Antibody (2H420) is a Rabbit antibody targeting MMP-2. Anti-MMP-2 Antibody (2H420) can be used in IHC,WB.
| Pack Size | Price | Availability | Quantity | 
|---|---|---|---|
| 50 μL | $296 | 7-10 days | |
| 100 μL | $498 | 7-10 days | 
| Description | Anti-MMP-2 Antibody (2H420) is a Rabbit antibody targeting MMP-2. Anti-MMP-2 Antibody (2H420) can be used in IHC,WB. | 
| Synonyms | MMP-2, matrix metallopeptidase 2, GelA, Clg4a | 
| Ig Type | IgG | 
| Clone | 2H420 | 
| Reactivity | Human,Mouse,Rat | 
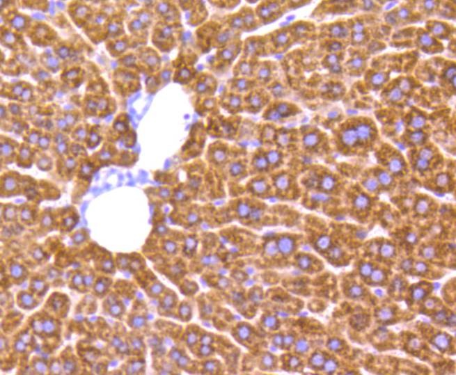
| Verified Activity | 1. Immunohistochemical analysis of paraffin-embedded mouse liver tissue using anti-MMP2 antibody. Counter stained with hematoxylin.  | 
| Application | |
| Recommended Dose | WB: 1:1000-2000; IHC: 1:50-200 | 
| Antibody Type | Monoclonal | 
| Host Species | Rabbit | 
| Construction | Recombinant Antibody | 
| Purification | ProA affinity purified | 
| Appearance | Liquid | 
| Formulation | 1*TBS (pH7.4), 1%BSA, 40%Glycerol. Preservative: 0.05% Sodium Azide. | 
| Research Background | The matrix metalloproteinases (MMP) are a family of peptidase enzymes responsible for the degradation of extracellular matrix components, including collagen, gelatin, Fibronectin, Laminin and proteoglycan. Transcription of MMP genes is differentially activated by phorbol ester, lipopolysaccharide (LPS) or staphylococcal enterotoxin B (SEB) . MMP catalysis requires both calcium and zinc. MMP-2 (also designated type IV collagenase) cleaves collagen types IV, V, VII and X and gelatin type I. Activation of MMP-2 secretion requires the Ras signaling pathway. | 
| Conjucates | Unconjugated | 
| Immunogen | Recombinant Protein | 
| Uniprot ID | 
| Molecular Weight | Theoretical: 72 kDa. | 
| Stability & Storage | Store at -20°C or -80°C for 12 months. Avoid repeated freeze-thaw cycles. | 
| Transport | Shipping with blue ice. | 

Copyright © 2015-2025 TargetMol Chemicals Inc. All Rights Reserved.