Shopping Cart
Remove All
Your shopping cart is currently empty
Anti-MMP-12 Antibody (1B615) is a Rabbit antibody targeting MMP-12. Anti-MMP-12 Antibody (1B615) can be used in FCM,ICC/IF,IHC,IP,WB.
| Pack Size | Price | USA Warehouse | Global Warehouse | Quantity |
|---|---|---|---|---|
| 50 μL | $298 | 7-10 days | 7-10 days | |
| 100 μL | $498 | 7-10 days | 7-10 days |
| Description | Anti-MMP-12 Antibody (1B615) is a Rabbit antibody targeting MMP-12. Anti-MMP-12 Antibody (1B615) can be used in FCM,ICC/IF,IHC,IP,WB. |
| Synonyms | MMP 12, hME |
| Ig Type | IgG |
| Clone | 1B615 |
| Reactivity | Human,Mouse,Rat |
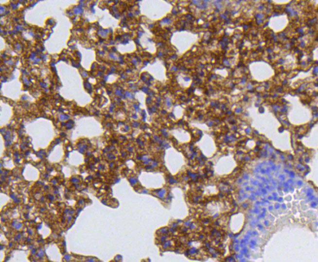
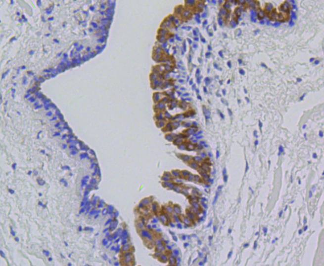
| Verified Activity | 1. Western blot analysis of MMP12 on different cell lysates using anti-MMP12 antibody at 1/1,000 dilution. Positive control: Lane 1: A549, Lane 2: Hela, Lane 3: MCF-7, Lane 4: THP-1. 2. Immunohistochemical analysis of paraffin-embedded human breast carcinomna tissue using anti-MMP12 antibody. Counter stained with hematoxylin. 3. Immunohistochemical analysis of paraffin-embedded mouse lung tissue using anti-MMP12 antibody. Counter stained with hematoxylin. 4. Flow cytometric analysis of A549 cells with MMP12 antibody at 1/50 dilution (blue) compared with an unlabelled control (cells without incubation with primary antibody; red). Alexa Fluor 488-conjugated goat anti rabbit IgG was used as the secondary antibody. ![]() ![]() ![]() ![]() |
| Application | |
| Recommended Dose | WB: 1:1000-2000; IHC: 1:50-200; ICC/IF: 1:50-200; FCM: 1:50-100 |
| Antibody Type | Monoclonal |
| Host Species | Rabbit |
| Construction | Recombinant Antibody |
| Purification | ProA affinity purified |
| Appearance | Liquid |
| Formulation | 1*TBS (pH7.4), 1%BSA, 40%Glycerol. Preservative: 0.05% Sodium Azide. |
| Research Background | The matrix metalloproteinases (MMP) are a family of peptidase enzymes responsible for the degradation of extracellular matrix components, including collagen, gelatin, fibronectin, laminin and proteoglycan. Transcription of MMP genes is differentially activated by phorbol ester, lipopolysaccharide (LPS) or staphylococcal enterotoxin B (SEB). MMP catalysis requires both calcium and zinc. MMP-12 (also designated macrophage metalloelastase) is produced in alveolar macrophages and degrades elastin. MMP-12 may contribute to elastin degradation occurring in granulomatous skin diseases and may also participate in macrophage migration through the epidermal and vascular basement membranes in inflammatory disorders. |
| Conjucates | Unconjugated |
| Immunogen | Recombinant Protein |
| Uniprot ID |
| Molecular Weight | Theoretical: 54/45/22 kDa. |
| Stability & Storage | Store at -20°C or -80°C for 12 months. Avoid repeated freeze-thaw cycles. |
| Transport | Shipping with blue ice. |
| Size | Quantity | Unit Price | Amount | Operation |
|---|

Copyright © 2015-2026 TargetMol Chemicals Inc. All Rights Reserved.