Shopping Cart
Remove All
Your shopping cart is currently empty
Anti-MMP-1 Antibody (1H680) is a Mouse antibody targeting MMP-1. Anti-MMP-1 Antibody (1H680) can be used in ELISA,FCM,IF,IHC,WB.
| Pack Size | Price | USA Warehouse | Global Warehouse | Quantity |
|---|---|---|---|---|
| 50 μL | $216 | 7-10 days | 7-10 days | |
| 100 μL | $318 | 7-10 days | 7-10 days |
| Description | Anti-MMP-1 Antibody (1H680) is a Mouse antibody targeting MMP-1. Anti-MMP-1 Antibody (1H680) can be used in ELISA,FCM,IF,IHC,WB. |
| Synonyms | matrix metallopeptidase 1, CLGN, CLG |
| Clone | 1H680 |
| Reactivity | Human |
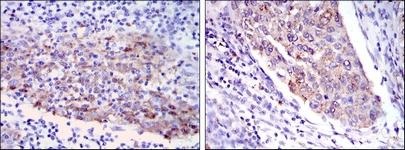
| Verified Activity | 1. Western Blot analysis using MMP-1 Monoclonal Antibody against HEK293 (1) and MMP1-hIgGFc transfected HEK293 (2) cell lysate. 2. Immunohistochemistry analysis of paraffin-embedded human cervical cancer tissues (left) and human kidney cancer tissues (right) with DAB staining using MMP-1 Monoclonal Antibody. 3. Immunofluorescence analysis of Hela cells using MMP-1 Monoclonal Antibody. ![]() ![]() ![]() |
| Application | |
| Recommended Dose | WB: 1:500-2000; IHC: 1:200-1000; IF: 1:200-1000; FCM: 1:200-400; ELISA: 1:10000 |
| Antibody Type | Monoclonal |
| Host Species | Mouse |
| Construction | Hybridoma Monoclonal Antibody |
| Purification | Affinity purification |
| Appearance | Liquid |
| Formulation | Liquid in PBS containing 50% glycerol, 0.5% BSA and 0.02% sodium azide. |
| Conjucates | Unconjugated |
| Immunogen | Recombinant Protein: human MMP-1 |
| Antigen Species | human |
| Gene ID | |
| Uniprot ID |
| Molecular Weight | Theoretical: 54 kDa. |
| Stability & Storage | Store at -20°C or -80°C for 12 months. Avoid repeated freeze-thaw cycles. |
| Transport | Shipping with blue ice. |
| Size | Quantity | Unit Price | Amount | Operation |
|---|

Copyright © 2015-2026 TargetMol Chemicals Inc. All Rights Reserved.