Shopping Cart
Remove All
Your shopping cart is currently empty
Anti-MLKL Antibody (3Z198) is a Rabbit antibody targeting MLKL. Anti-MLKL Antibody (3Z198) can be used in IHC,WB.
| Pack Size | Price | USA Warehouse | Global Warehouse | Quantity |
|---|---|---|---|---|
| 50 μL | $298 | 7-10 days | 7-10 days | |
| 100 μL | $498 | 7-10 days | 7-10 days |
| Description | Anti-MLKL Antibody (3Z198) is a Rabbit antibody targeting MLKL. Anti-MLKL Antibody (3Z198) can be used in IHC,WB. |
| Ig Type | IgG |
| Clone | 3Z198 |
| Reactivity | Human |
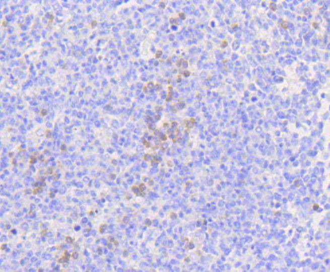
| Verified Activity | 1. Western blot analysis of MLKL on different cell lysates using anti-MLKL antibody at 1/1,000 dilution. Positive control: Lane 1: HT29, Lane 2: HUVEC, Lane 3: Hela. 2. Immunohistochemical analysis of paraffin-embedded human tonsil tissue using anti-MLKL antibody. Counter stained with hematoxylin. ![]() ![]() |
| Application | |
| Recommended Dose | WB: 1:1000-5000; IHC: 1:50-200 |
| Antibody Type | Monoclonal |
| Host Species | Rabbit |
| Construction | Recombinant Antibody |
| Purification | ProA affinity purified |
| Appearance | Liquid |
| Formulation | 1*TBS (pH7.4), 1%BSA, 40%Glycerol. Preservative: 0.05% Sodium Azide. |
| Research Background | MLKL (mixed lineage kinase domain-like) is a 471 amino acid protein that contains one protein kinase domain which is thought to be catalytically inactive. The gene encoding MLKL maps to chromosome 16 and is expressed as two isoforms which are produced by alternative splicing events. Chromosome 16, which is associated with a variety of genetic disorders, encodes over 900 genes and comprises nearly 3% of the human genome. The GAN gene is located on chromosome 16 and, with mutation, may lead to giant axonal neuropathy, a nervous system disorder characterized by increasing malfunction with growth. The rare disorder Rubinstein-Taybi syndrome is associated with chromosome 16, as is Crohn's disease, which is a gastrointestinal inflammatory condition. |
| Conjucates | Unconjugated |
| Immunogen | Recombinant Protein |
| Uniprot ID |
| Molecular Weight | Theoretical: 54 kDa. |
| Stability & Storage | Store at -20°C or -80°C for 12 months. Avoid repeated freeze-thaw cycles. |
| Transport | Shipping with blue ice. |
| Size | Quantity | Unit Price | Amount | Operation |
|---|

Copyright © 2015-2026 TargetMol Chemicals Inc. All Rights Reserved.