Shopping Cart
Remove All
Your shopping cart is currently empty
Anti-MKP-3 Antibody (2L119) is a Mouse antibody targeting MKP-3. Anti-MKP-3 Antibody (2L119) can be used in IF,IHC-P,IP,WB.
| Pack Size | Price | USA Warehouse | Global Warehouse | Quantity |
|---|---|---|---|---|
| 50 μL | $297 | 7-10 days | 7-10 days | |
| 100 μL | $426 | 7-10 days | 7-10 days |
| Description | Anti-MKP-3 Antibody (2L119) is a Mouse antibody targeting MKP-3. Anti-MKP-3 Antibody (2L119) can be used in IF,IHC-P,IP,WB. |
| Synonyms | Serine/threonine specific protein phosphatase, PYST1, PYST 1, MKP3, Mitogen-activated protein kinase phosphatase 3, Mitogen activated protein kinase phosphatase 3, MAP kinase phosphatase 3, hide, HH19, DUSP6a, Dusp6, DUSP 6a, DUSP 6, DUS6_HUMAN, Dual specificity protein phosphatase PYST1, Dual specificity protein phosphatase 6, Dual specificity phosphatase 6 isoform a, Dual specificity phosphatase 6 |
| Clone | 2L119 |
| Reactivity | Human,Mouse,Rat |
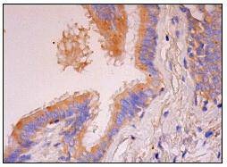
| Verified Activity | 1. Western blot analysis of MKP-3 expression in non-transfected (A) and human MKP-3 transfected (B) 293T whole cell lysates. 2. Immunoperoxidase staining of formalin fixed, paraffin-embedded human bronchus tissue showing cytoplasmic staining of respiratory epithelial cells. ![]() ![]() |
| Application | |
| Recommended Dose | WB: 1:100-1000; IHC-P: 1:50-500; IP: 1-2 μg per 100-500 μg of total protein(1 ml of cell lysate) |
| Antibody Type | Monoclonal |
| Host Species | Mouse |
| Construction | Hybridoma Monoclonal Antibody |
| Purification | ProA affinity purified |
| Appearance | Liquid |
| Formulation | 1*TBS (pH7.4), 1%BSA, 40%Glycerol. Preservative: 0.05% Sodium Azide. |
| Research Background | Mitogen-activated protein (MAP) kinases are a large class of proteins involved in signal transduction pathways that are activated by a range of stimuli and mediate a number of physiological and pathological changes in the cell. Dual specificity phosphatases (DSPs) are a subclass of the protein tyrosine phosphatase (PTP) gene superfamily, which are selective for dephosphorylating critical phosphothreonine and phosphotyrosine residues within MAP kinases. DSP gene expression is induced by a host of growth factors and/or cellular stresses, thereby negatively regulating MAP kinase superfamily members including MAPK/ERK, SAPK/JNK and p38. The members of the dual-specificity phosphatase protein family include MKP-1/CL100 (3CH134), VHR, PAC1, MKP-2, hVH-3 (B23), hVH-5, MKP-3, MKP-X, and MKP-4. Human MKP-3 maps to chromosome 12q21.33 and encodes a 381 amino acid protein that specifically inactivates members of the ERK family and is expressed in a variety of tissues with the highest levels in heart and pancreas. |
| Conjucates | Unconjugated |
| Immunogen | Peptide |
| Uniprot ID |
| Molecular Weight | Theoretical: 42 kDa. |
| Stability & Storage | Store at -20°C or -80°C for 12 months. Avoid repeated freeze-thaw cycles. |
| Transport | Shipping with blue ice. |
| Size | Quantity | Unit Price | Amount | Operation |
|---|

Copyright © 2015-2026 TargetMol Chemicals Inc. All Rights Reserved.