Shopping Cart
Remove All
Your shopping cart is currently empty
Anti-MKI67 Antibody (3J775) is a Mouse antibody targeting MKI67. Anti-MKI67 Antibody (3J775) can be used in IHC.
| Pack Size | Price | USA Warehouse | Global Warehouse | Quantity |
|---|---|---|---|---|
| 50 μL | $218 | 7-10 days | 7-10 days | |
| 100 μL | $317 | 7-10 days | 7-10 days |
| Description | Anti-MKI67 Antibody (3J775) is a Mouse antibody targeting MKI67. Anti-MKI67 Antibody (3J775) can be used in IHC. |
| Synonyms | Proliferation marker protein Ki-67, MKI67, Antigen Ki67, Antigen identified by monoclonal antibody Ki-67 (Antigen KI-67 |
| Clone | 3J775 |
| Reactivity | Human |
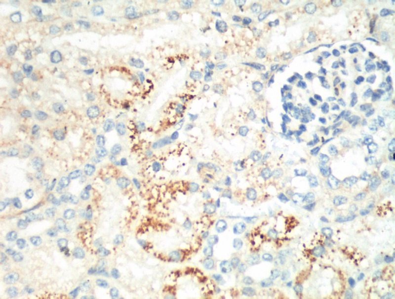
| Verified Activity | 1. IHC staining of Mouse Kidney tissue with Ki 67 mouse mAb diluted at 1:200. ![]() |
| Application | |
| Recommended Dose | IHC: 1:200 |
| Antibody Type | Monoclonal |
| Host Species | Mouse |
| Construction | Hybridoma Monoclonal Antibody |
| Purification | Affinity purification using immunogen. |
| Appearance | Liquid |
| Formulation | PBS, pH 7.4, containing 0.5%BSA, 0.02% sodium azide as Preservative and 50% Glycerol. |
| Research Background | KI-67 is a nuclear protein that is associated with and may be necessary for cellular proliferation. Furthermore it is associated with ribosomal RNA transcription. Inactivation of antigen KI-67 leads to inhibition of ribosomal RNA synthesis. The Ki-67 protein (also known as MKI67) is a cellular marker for proliferation. It is strictly associated with cell proliferation. During interphase, the Ki-67 antigen can be exclusively detected within the cell nucleus, whereas in mitosis most of the protein is relocated to the surface of the chromosomes. Ki-67 protein is present during all active phases of the cell cycle (G1, S, G2, and mitosis), but is absent from resting cells (G0). |
| Conjucates | Unconjugated |
| Uniprot ID |
| Stability & Storage | Store at -20°C or -80°C for 12 months. Avoid repeated freeze-thaw cycles. |
| Transport | Shipping with blue ice. |
| Size | Quantity | Unit Price | Amount | Operation |
|---|

Copyright © 2015-2026 TargetMol Chemicals Inc. All Rights Reserved.