Shopping Cart
Remove All
Your shopping cart is currently empty
Anti-Midkine Antibody (9Z235) is a Rabbit antibody targeting Midkine. Anti-Midkine Antibody (9Z235) can be used in IHC,IP,WB.
| Pack Size | Price | USA Warehouse | Global Warehouse | Quantity |
|---|---|---|---|---|
| 50 μL | $298 | 7-10 days | 7-10 days | |
| 100 μL | $497 | 7-10 days | 7-10 days |
| Description | Anti-Midkine Antibody (9Z235) is a Rabbit antibody targeting Midkine. Anti-Midkine Antibody (9Z235) can be used in IHC,IP,WB. |
| Synonyms | NEGF2, MKARAP, MK1, MK, MEK, MDK, ARAP |
| Ig Type | IgG |
| Clone | 9Z235 |
| Reactivity | Human |
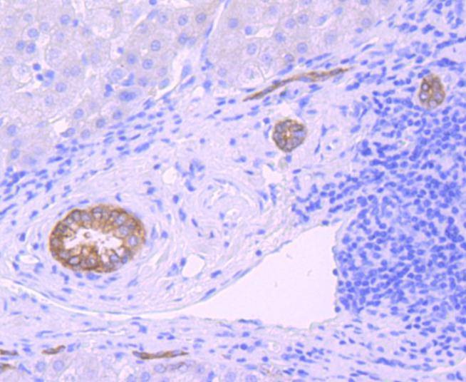
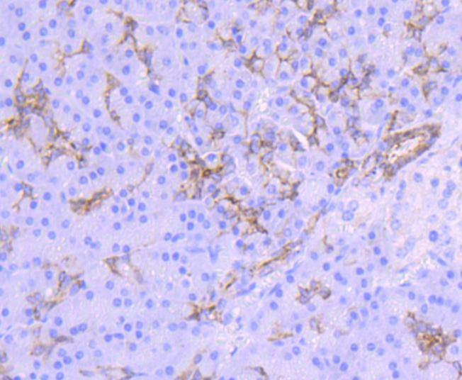
| Verified Activity | 1. Immunohistochemical analysis of paraffin-embedded human liver cancer tissue using anti-Midkine antibody. Counter stained with hematoxylin. 2. Immunohistochemical analysis of paraffin-embedded human pancreas tissue using anti-Midkine antibody. Counter stained with hematoxylin. ![]() ![]() |
| Application | |
| Recommended Dose | WB: 1:500-1000; IHC: 1:50-200 |
| Antibody Type | Monoclonal |
| Host Species | Rabbit |
| Construction | Recombinant Antibody |
| Purification | ProA affinity purified |
| Appearance | Liquid |
| Formulation | 1*TBS (pH7.4), 1%BSA, 40%Glycerol. Preservative: 0.05% Sodium Azide. |
| Research Background | Midkine, or MK, is a heparin-binding molecule involved in the regulation of growth and differentiation during embryogenesis. MK expression is tightly regulated during embryonic development by steroid receptors of the retinoic acid superfamily. The mature human MK protein is 118 amino acids in length and contains five intrachain disulfide bonds. MK is a non-glycosylated protein that shows greater than 87% identity between human and mouse. The carboxy-terminus of MK contains the principle heparin-binding site and the molecule??s neurite-promoting sequences; both the amino- and carboxy-terminal sequences are required for the molecule??s neurotrophic properties. An association between overexpression of MK and colon adenocarcinoma has been shown in families suffering from familial polyposis. In addition, MK functions to enhance the activity of plasminogen activator (PA). |
| Conjucates | Unconjugated |
| Immunogen | Recombinant Protein |
| Uniprot ID |
| Molecular Weight | Theoretical: 16 kDa. |
| Stability & Storage | Store at -20°C or -80°C for 12 months. Avoid repeated freeze-thaw cycles. |
| Transport | Shipping with blue ice. |
| Size | Quantity | Unit Price | Amount | Operation |
|---|

Copyright © 2015-2026 TargetMol Chemicals Inc. All Rights Reserved.