Shopping Cart
Remove All
Your shopping cart is currently empty
Anti-Mib1 Antibody (6F547) is a Rabbit antibody targeting Mib1. Anti-Mib1 Antibody (6F547) can be used in ICC,IHC,WB.
| Pack Size | Price | USA Warehouse | Global Warehouse | Quantity |
|---|---|---|---|---|
| 50 μL | $297 | 7-10 days | 7-10 days | |
| 100 μL | $496 | 7-10 days | 7-10 days |
| Description | Anti-Mib1 Antibody (6F547) is a Rabbit antibody targeting Mib1. Anti-Mib1 Antibody (6F547) can be used in ICC,IHC,WB. |
| Synonyms | ZZZ6, ZZANK2, Zinc finger ZZ type with ankyrin repeat domain protein 2, Ubiquitin ligase mind bomb, Mindbomb E3 ubiquitin protein ligase 1, Mind bomb homolog 1, MIB1_HUMAN, mib 1, MIB, LVNC7, KIAA1323, E3 ubiquitin-protein ligase mib1, E3 ubiquitin protein ligase MIB1, E3 ubiquitin protein ligase MIB 1, DIP-1, Dip1, Dip 1, DAPK-interacting protein 1 |
| Ig Type | IgG |
| Clone | 6F547 |
| Reactivity | Human,Mouse |
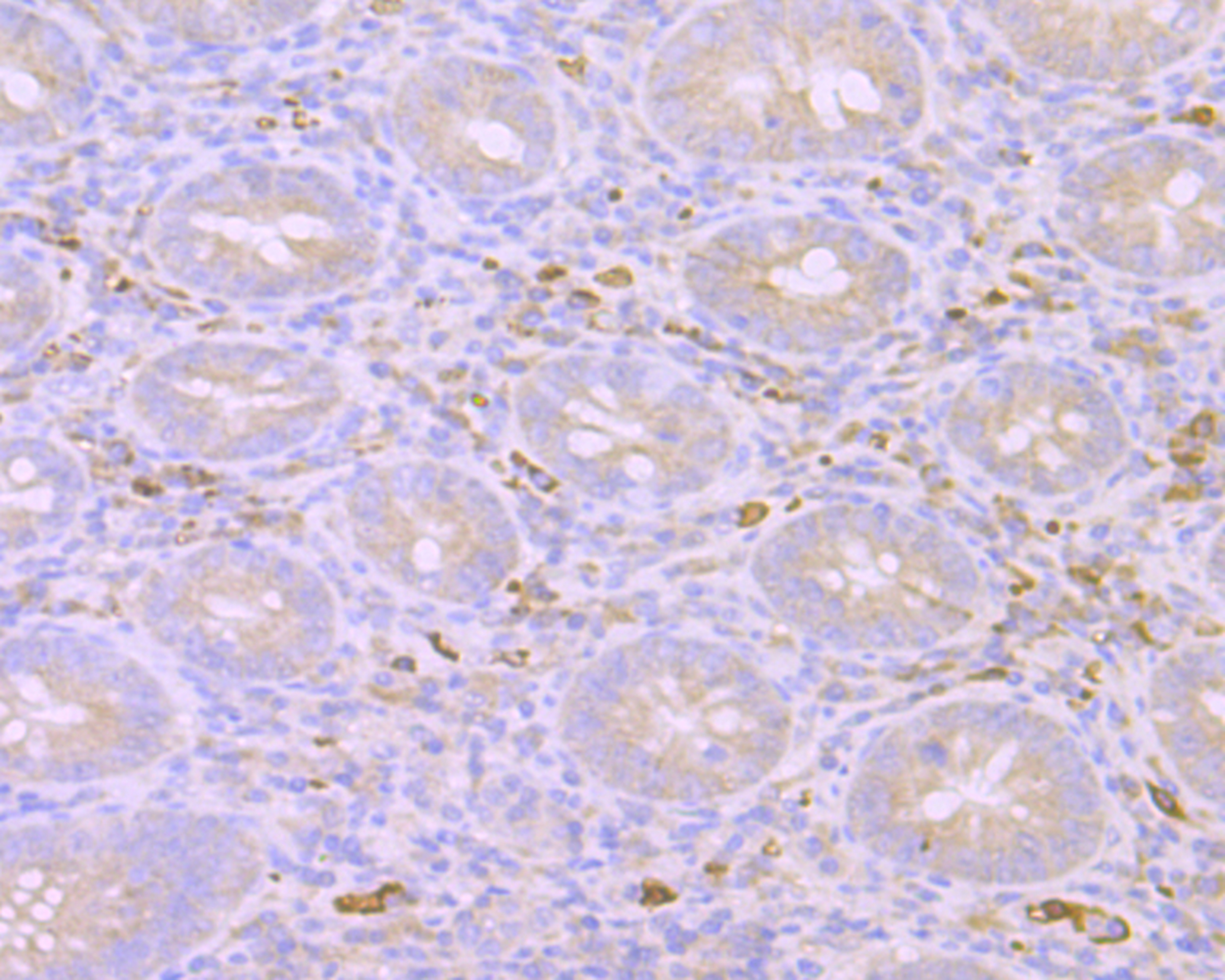
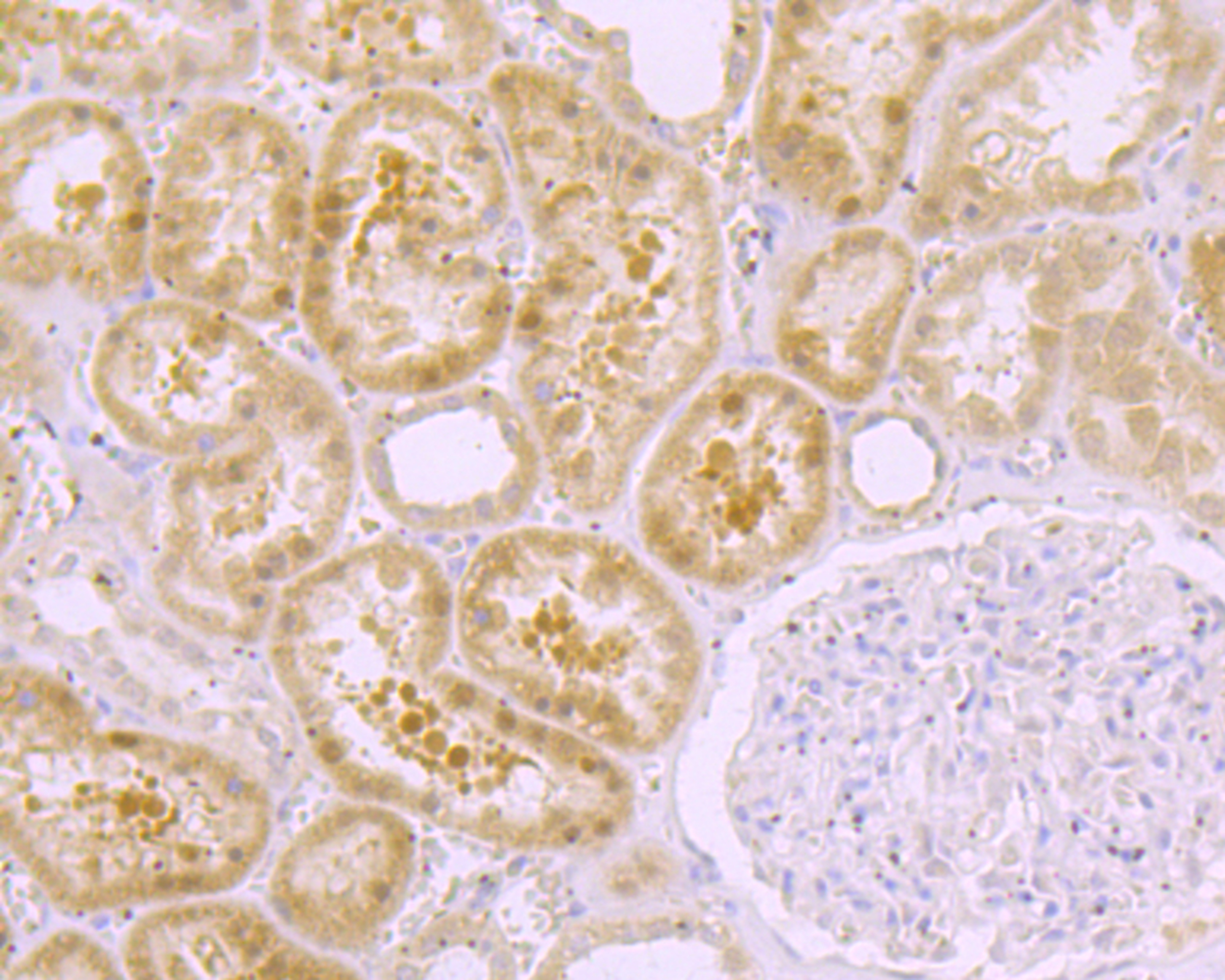
| Verified Activity | 1. Immunohistochemical analysis of paraffin-embedded human appendix tissue using anti-Mib1 antibody. Counter stained with hematoxylin. 2. Immunohistochemical analysis of paraffin-embedded human kidney tissue using anti-Mib1 antibody. Counter stained with hematoxylin. 3. ICC staining Mib1 in HUVEC cells (green). The nuclear counter stain is DAPI (blue). Cells were fixed in paraformaldehyde, permeabilised with 0.25% Triton X100/PBS. 4. ICC staining Mib1 in SH-SY-5Y cells (green). The nuclear counter stain is DAPI (blue). Cells were fixed in paraformaldehyde, permeabilised with 0.25% Triton X100/PBS. 5. ICC staining Mib1 in SiHa cells (green). The nuclear counter stain is DAPI (blue). Cells were fixed in paraformaldehyde, permeabilised with 0.25% Triton X100/PBS. ![]() ![]() ![]() ![]() ![]() |
| Application | |
| Recommended Dose | IHC: 1:50-200; ICC: 1:50-200 |
| Antibody Type | Monoclonal |
| Host Species | Rabbit |
| Construction | Recombinant Antibody |
| Purification | ProA affinity purified |
| Appearance | Liquid |
| Formulation | 1*TBS (pH7.4), 1%BSA, 40%Glycerol. Preservative: 0.05% Sodium Azide. |
| Research Background | E3 ubiquitin-protein ligase that mediates ubiquitination of Delta receptors, which act as ligands of Notch proteins. Positively regulates the Delta-mediated Notch signaling by ubiquitinating the intracellular domain of Delta, leading to endocytosis of Delta receptors. Probably mediates ubiquitination and subsequent proteasomal degradation of DAPK1, thereby antagonizing apoptotic effects of DAPK1 to promote TNF-induced apoptosis (By similarity). Involved in ubiquitination of centriolar satellite CEP131, CEP290 and PCM1 proteins and hence inhibits primary cilium formation in proliferating cells. Mediates 'Lys-63'-linked polyubiquitination of TBK1, which probably participates in kinase activation. |
| Conjucates | Unconjugated |
| Immunogen | Recombinant Protein: within N-terminal human Mib1 |
| Antigen Species | human |
| Uniprot ID |
| Molecular Weight | Theoretical: 110 kDa. |
| Stability & Storage | Store at -20°C or -80°C for 12 months. Avoid repeated freeze-thaw cycles. |
| Transport | Shipping with blue ice. |
| Size | Quantity | Unit Price | Amount | Operation |
|---|

Copyright © 2015-2026 TargetMol Chemicals Inc. All Rights Reserved.