Shopping Cart
Remove All
Your shopping cart is currently empty
Anti-MGMT Antibody (6G140) is a Rabbit antibody targeting MGMT. Anti-MGMT Antibody (6G140) can be used in IHC,WB.
| Pack Size | Price | USA Warehouse | Global Warehouse | Quantity |
|---|---|---|---|---|
| 50 μL | $297 | 7-10 days | 7-10 days | |
| 100 μL | $497 | 7-10 days | 7-10 days |
| Description | Anti-MGMT Antibody (6G140) is a Rabbit antibody targeting MGMT. Anti-MGMT Antibody (6G140) can be used in IHC,WB. |
| Synonyms | O-6-methylguanine-DNA-alkyltransferase, MGMT, Methylated-DNA--protein-cysteine methyltransferase, 6-O-methylguanine-DNAmethyltransferase |
| Ig Type | IgG |
| Clone | 6G140 |
| Reactivity | Human |
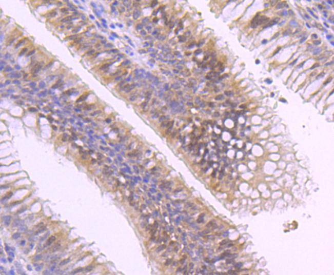
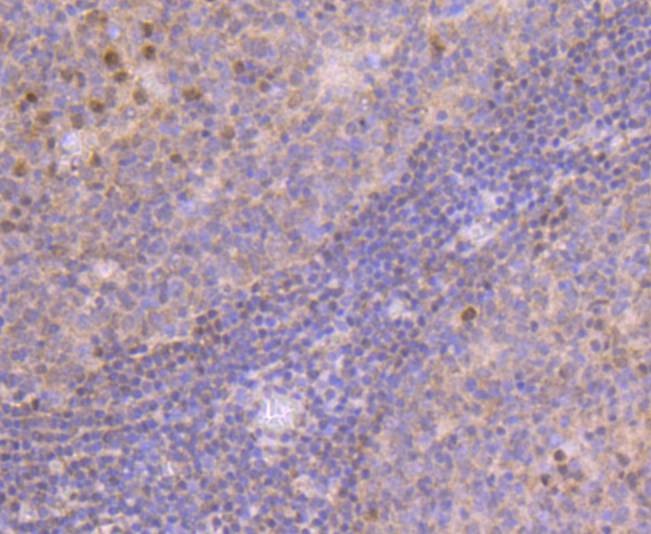
| Verified Activity | 1. Western blot analysis of MGMT on different lysates using anti-MGMT antibody at 1/1,000 dilution. Positive control: Lane 1: MCF-7, Lane 2: Hela. 2. Immunohistochemical analysis of paraffin-embedded human tonsil tissue using anti-MGMT antibody. Counter stained with hematoxylin. 3. Immunohistochemical analysis of paraffin-embedded human lung cancer tissue using anti-MGMT antibody. Counter stained with hematoxylin. ![]() ![]() ![]() |
| Application | |
| Recommended Dose | WB: 1:1000-2000; IHC: 1:50-200 |
| Antibody Type | Monoclonal |
| Host Species | Rabbit |
| Construction | Recombinant Antibody |
| Purification | ProA affinity purified |
| Appearance | Liquid |
| Formulation | 1*TBS (pH7.4), 1%BSA, 40%Glycerol. Preservative: 0.05% Sodium Azide. |
| Research Background | MGMT (O6-methylguanine-DNA methyltransferase) is transcriptionally activated in response to DNA damage and functions to repair mutagenic and cytotoxic O6-alkylguanine lesions caused by carcinogens or cytostatic drugs. MGMT induction by ionising radiation does not occur in p53-deficient mice, suggesting that MGMT induction may require p53. Similarly, MGMT mRNA and protein were shown to be inducible by ionising radiation, only in cell lines that express functional p53, and not in cell lines that do not express wild type p53. In contrast, high MGMT activity was associated with the presence of mutant p53, in a study of oral cancer cell lines. Similarly, MGMT activity was significantly lower in ovarian tumors with wildtype p53 than in tumors with mutant p53, supporting the view that wildtype p53 down-regulates the basal MGMT promoter. |
| Conjucates | Unconjugated |
| Immunogen | Recombinant Protein |
| Uniprot ID |
| Molecular Weight | Theoretical: 22 kDa. |
| Stability & Storage | Store at -20°C or -80°C for 12 months. Avoid repeated freeze-thaw cycles. |
| Transport | Shipping with blue ice. |
| Size | Quantity | Unit Price | Amount | Operation |
|---|

Copyright © 2015-2026 TargetMol Chemicals Inc. All Rights Reserved.