Shopping Cart
Remove All
Your shopping cart is currently empty
Anti-mGluR1 Antibody (4L730) is a Rabbit antibody targeting mGluR1. Anti-mGluR1 Antibody (4L730) can be used in IHC,WB.
| Pack Size | Price | USA Warehouse | Global Warehouse | Quantity |
|---|---|---|---|---|
| 50 μL | $297 | 7-10 days | 7-10 days | |
| 100 μL | $496 | 7-10 days | 7-10 days |
| Description | Anti-mGluR1 Antibody (4L730) is a Rabbit antibody targeting mGluR1. Anti-mGluR1 Antibody (4L730) can be used in IHC,WB. |
| Synonyms | SCAR13, MGLUR1-Alpha, MGLUR1A, mGluR 1, mGlu1, Metabotropic glutamate receptor 1, GRM1-Alpha, GRM1A, GRM1_HUMAN, GRM1, GPRC1A, glutamate receptor, metabotropic 1, Glutamate receptor metabotropic 1 |
| Ig Type | IgG |
| Clone | 4L730 |
| Reactivity | Human,Mouse,Rat |
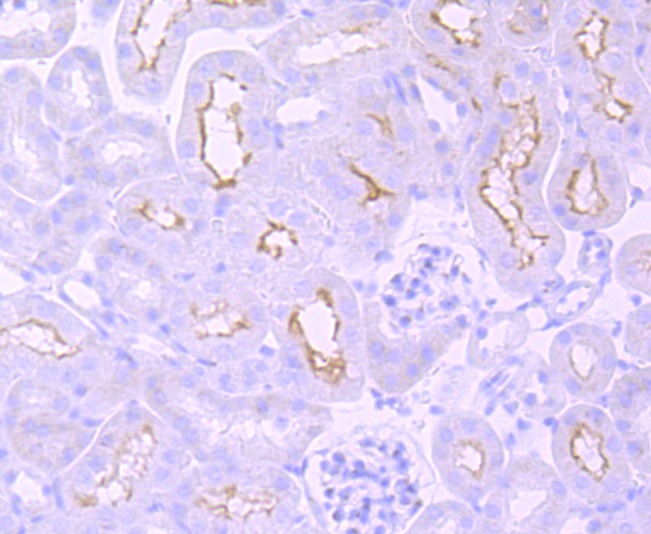
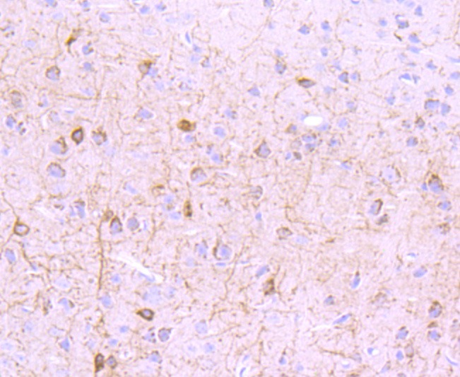
| Verified Activity | 1. Western blot analysis of mGluR1 on rat brain cells lysates using anti-mGluR1 antibody at 1/500 dilution. 2. Immunohistochemical analysis of paraffin-embedded mouse brain tissue using anti-mGluR1 antibody. Counter stained with hematoxylin. 3. Immunohistochemical analysis of paraffin-embedded mouse kidney tissue using anti-mGluR1 antibody. Counter stained with hematoxylin. ![]() ![]() ![]() |
| Application | |
| Recommended Dose | WB: 1:500-1000; IHC: 1:50-200 |
| Antibody Type | Monoclonal |
| Host Species | Rabbit |
| Construction | Recombinant Antibody |
| Purification | ProA affinity purified |
| Appearance | Liquid |
| Formulation | 1*TBS (pH7.4), 1%BSA, 40%Glycerol. Preservative: 0.05% Sodium Azide. |
| Research Background | G-protein coupled receptor for glutamate. Ligand binding causes a conformation change that triggers signaling via guanine nucleotide-binding proteins (G proteins) and modulates the activity of down-stream effectors. Signaling activates a phosphatidylinositol-calcium second messenger system. May participate in the central action of glutamate in the CNS, such as long-term potentiation in the hippocampus and long-term depression in the cerebellum. |
| Conjucates | Unconjugated |
| Immunogen | Recombinant Protein |
| Uniprot ID |
| Molecular Weight | Theoretical: 200 kDa. |
| Stability & Storage | Store at -20°C or -80°C for 12 months. Avoid repeated freeze-thaw cycles. |
| Transport | Shipping with blue ice. |
| Size | Quantity | Unit Price | Amount | Operation |
|---|

Copyright © 2015-2026 TargetMol Chemicals Inc. All Rights Reserved.