Shopping Cart
Remove All
Your shopping cart is currently empty
Anti-MGEA5 Antibody (9D447) is a Rabbit antibody targeting MGEA5. Anti-MGEA5 Antibody (9D447) can be used in WB,IHC,IP.
| Pack Size | Price | USA Warehouse | Global Warehouse | Quantity |
|---|---|---|---|---|
| 50 μL | $297 | 7-10 days | 7-10 days | |
| 100 μL | $498 | 7-10 days | 7-10 days |
| Description | Anti-MGEA5 Antibody (9D447) is a Rabbit antibody targeting MGEA5. Anti-MGEA5 Antibody (9D447) can be used in WB,IHC,IP. |
| Synonyms | Protein O-GlcNAcase, OGA, Nuclear cytoplasmic O-GlcNAcase and acetyltransferase, NCOAT, N-acetyl-beta-glucosaminidase, N-acetyl-beta-D-glucosaminidase, MGEA 5, Meningioma-expressed antigen 5, MEA5, KIAA0679, HEXC, EC 3.2.1.169, Beta-N-acetylhexosaminidase, Beta-N-acetylglucosaminidase, Beta-hexosaminidase |
| Ig Type | IgG |
| Clone | 9D447 |
| Reactivity | Human |
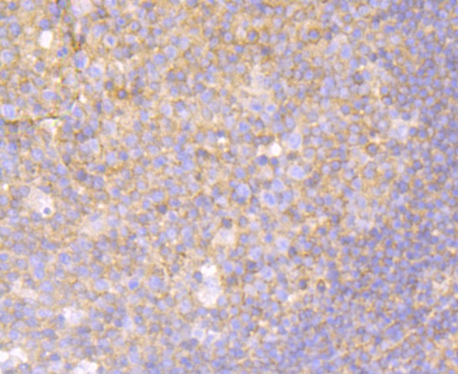
| Verified Activity | 1. Immunohistochemical analysis of paraffin-embedded human tonsil tissue using anti-MGEA5 antibody. Counter stained with hematoxylin.
2. Immunohistochemical analysis of paraffin-embedded human pancreas tissue using anti-MGEA5 antibody. Counter stained with hematoxylin. 3. All lanes use the Antibody at 1:500 dilution for 1 hour at room temperature. 4. Western blot analysis of MGEA5 expression in JAR cell lysate. ![]() ![]() ![]() ![]() |
| Application | |
| Recommended Dose | WB: 1:500-2000; IHC: 1:100-200; IP: 1:20-50 |
| Antibody Type | Monoclonal |
| Host Species | Rabbit |
| Construction | Recombinant Antibody |
| Purification | Affinity-chromatography |
| Appearance | Liquid |
| Formulation | 10mM phosphate buffered saline , pH 7.4, 150mM sodium chloride, 0.05% BSA, 0.02% sodium azide and 50% glycerol |
| Research Background | Isoform 1: Cleaves GlcNAc but not GalNAc from O-glycosylated proteins. Isoform 3: Cleaves GlcNAc but not GalNAc from O-glycosylated proteins.Isoform 3 Cleaves GlcNAc but not GalNAc from O-glycosylated proteins. |
| Conjucates | Unconjugated |
| Immunogen | A synthesized peptide: human MGEA5 |
| Antigen Species | human |
| Uniprot ID |
| Molecular Weight | Theoretical: 103 (Observed: 130) kDa. |
| Stability & Storage | Store at 2°C-8°C for 1 month. Store at -20°C or -80°C for 12 months. Avoid repeated freeze-thaw cycles. |
| Transport | Shipping with blue ice. |
| Size | Quantity | Unit Price | Amount | Operation |
|---|

Copyright © 2015-2026 TargetMol Chemicals Inc. All Rights Reserved.