Shopping Cart
Remove All
Your shopping cart is currently empty
Anti-METTL14 Polyclonal Antibody is a Rabbit antibody targeting METTL14. Anti-METTL14 Polyclonal Antibody can be used in IF, IHC-Fr, IHC-P, WB.
| Pack Size | Price | USA Warehouse | Global Warehouse | Quantity |
|---|---|---|---|---|
| 50 μL | $222 | 7-10 days | 7-10 days | |
| 100 μL | $373 | 7-10 days | 7-10 days | |
| 200 μL | $528 | 7-10 days | 7-10 days |
| Description | Anti-METTL14 Polyclonal Antibody is a Rabbit antibody targeting METTL14. Anti-METTL14 Polyclonal Antibody can be used in IF, IHC-Fr, IHC-P, WB. |
| Synonyms | OTTHUMP00000219837, METTL14, Methyltransferase-like protein 14, MET14, KIAA1627 |
| Ig Type | IgG |
| Reactivity | Human,Mouse (predicted:Rat,Pig,Cow,Horse,Rabbit) |
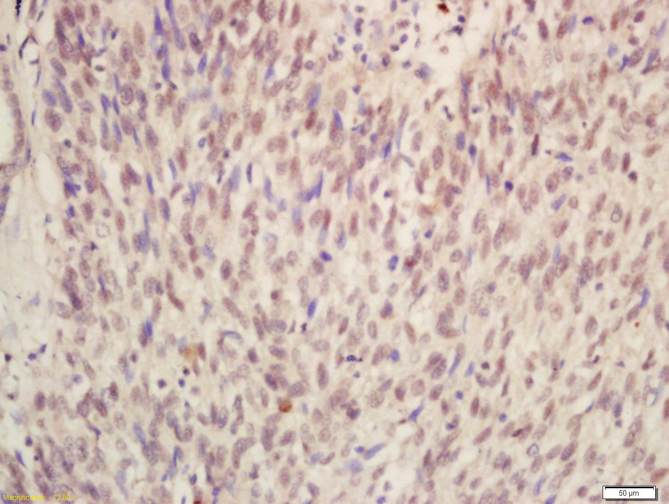
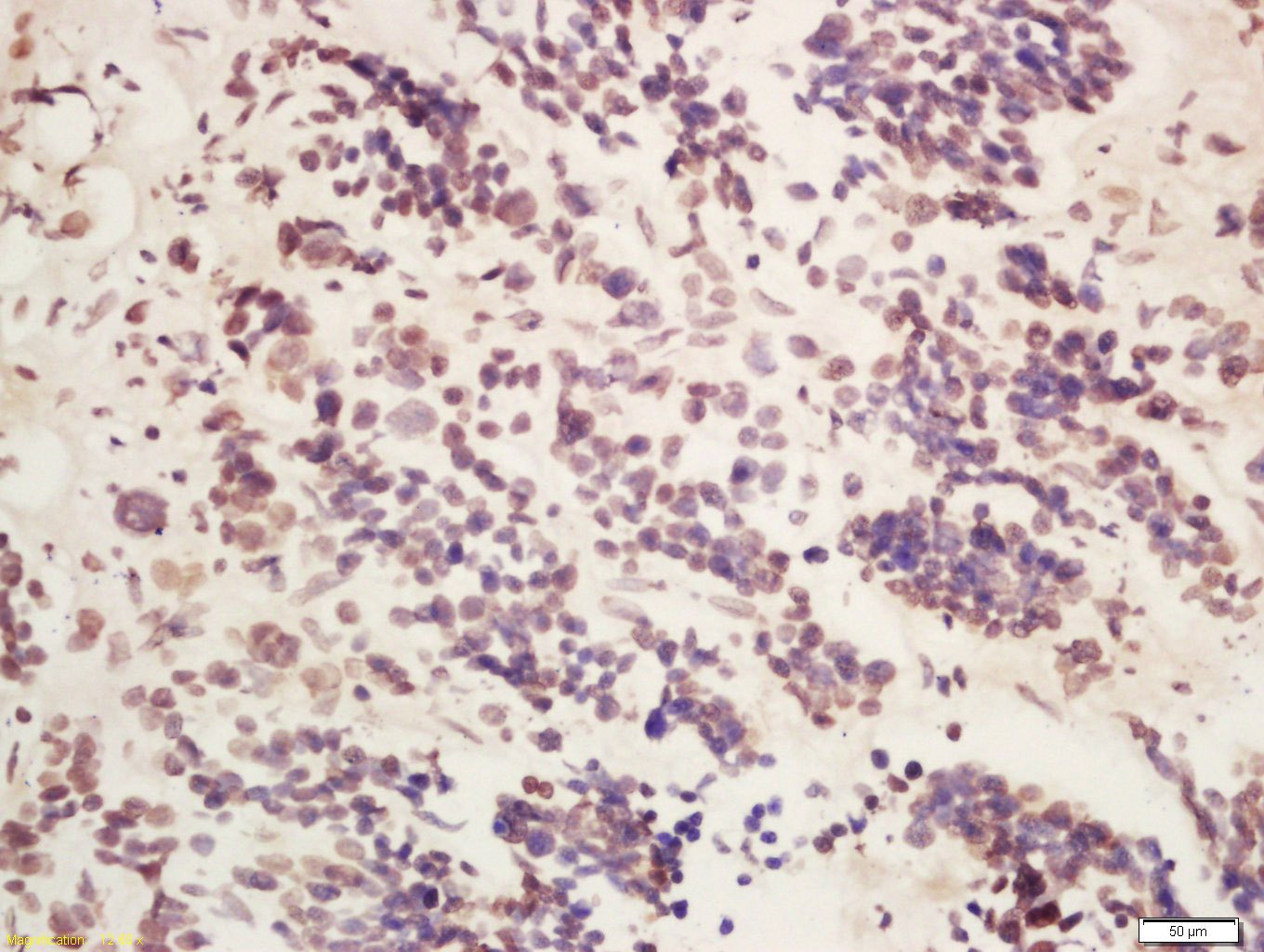
| Verified Activity | 1. Tissue/cell: human laryngocarcinoma; 4% Paraformaldehyde-fixed and paraffin-embedded; Antigen retrieval: citrate buffer (0.01M, pH6.0), Boiling bathing for 15 min; Block endogenous peroxidase by 3% Hydrogen peroxide for 30 min; Blocking buffer (normal goat serum) at 37°C for 20 min; Incubation: Anti-METTL14 Polyclonal Antibody, Unconjugated (TMAB-01126) 1:200, overnight at 4°C, followed by conjugation to the secondary antibody and DAb staining. 2. Tissue/cell: human colon cancer; 4% Paraformaldehyde-fixed and paraffin-embedded; Antigen retrieval: citrate buffer (0.01M, pH6.0), Boiling bathing for 15 min; Block endogenous peroxidase by 3% Hydrogen peroxide for 30 min; Blocking buffer (normal goat serum) at 37°C for 20 min; Incubation: Anti-METTL14 Polyclonal Antibody, Unconjugated (TMAB-01126) 1:200, overnight at 4°C, followed by conjugation to the secondary antibody and DAb staining. 3. Sample: Lane 1: Mouse Testis tissue lysates Lane 2: Rat Testis tissue lysates Primary: Anti-METTL14 (TMAB-01126) at 1/200 dilution Secondary: IRDye800CW Goat Anti-Rabbit IgG at 1/20000 dilution Predicted band size: 52 kDa Observed band size: 65 kDa ![]() ![]() ![]() |
| Application | |
| Recommended Dose | WB: 1:500-2000; IHC-P: 1:100-500; IHC-Fr: 1:100-500; IF: 1:100-500 |
| Antibody Type | Polyclonal |
| Host Species | Rabbit |
| Subcellular Localization | Nucleus. |
| Construction | Polyclonal Antibody |
| Purification | Protein A purified |
| Appearance | Liquid |
| Formulation | 0.01M TBS (pH7.4) with 1% BSA, 0.02% Proclin300 and 50% Glycerol. |
| Concentration | 1 mg/mL |
| Immunogen | KLH conjugated synthetic peptide: human METTL14 |
| Antigen Species | Human |
| Gene Name | METTL14 |
| Gene ID | |
| Protein Name | N6-adenosine-methyltransferase non-catalytic subunit |
| Uniprot ID | |
| Biology Area | Other Antibodies |
| Function | Probable methyltransferase. |
| Molecular Weight | Theoretical: 52 kDa. |
| Stability & Storage | Store at -20°C or -80°C for 12 months. Avoid repeated freeze-thaw cycles. |
| Transport | Shipping with blue ice. |
| Size | Quantity | Unit Price | Amount | Operation |
|---|

Copyright © 2015-2026 TargetMol Chemicals Inc. All Rights Reserved.