Shopping Cart
- Remove All
 Your shopping cart is currently empty Your shopping cart is currently empty
Anti-MDM2 Polyclonal Antibody is a Rabbit antibody targeting MDM2. Anti-MDM2 Polyclonal Antibody can be used in IF,IHC-Fr,IHC-P.
| Pack Size | Price | Availability | Quantity | 
|---|---|---|---|
| 50 μL | $222 | 7-10 days | |
| 100 μL | $372 | 7-10 days | |
| 200 μL | $529 | 7-10 days | 
| Description | Anti-MDM2 Polyclonal Antibody is a Rabbit antibody targeting MDM2. Anti-MDM2 Polyclonal Antibody can be used in IF,IHC-Fr,IHC-P. | 
| Synonyms | RING-type E3 ubiquitin transferase Mdm2, p53-binding protein Mdm2, Oncoprotein Mdm2, Mdm2, E3 ubiquitin-protein ligase Mdm2, Double minute 2 protein | 
| Ig Type | IgG | 
| Reactivity | Human,Mouse (predicted:Rat,Dog,Pig) | 
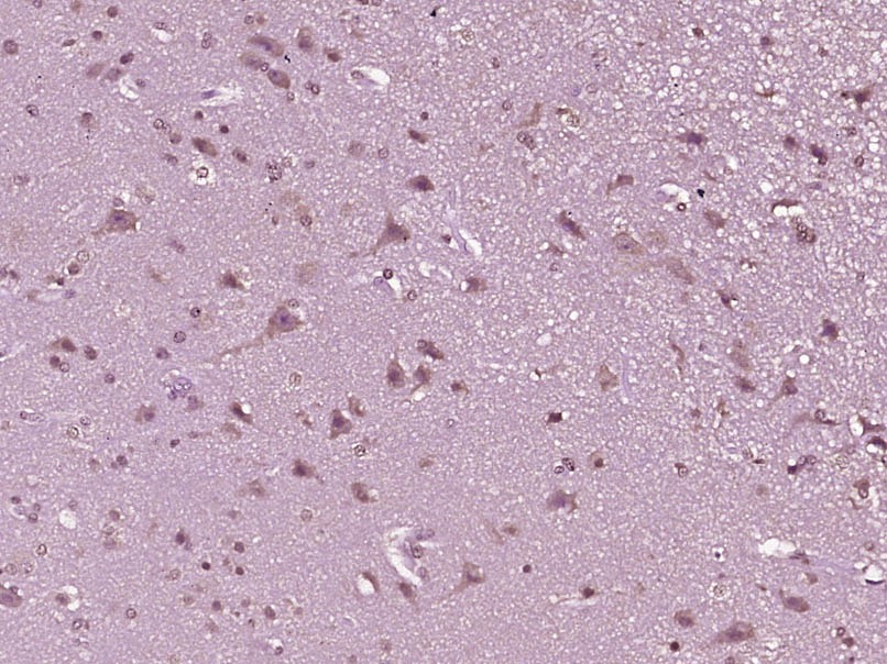
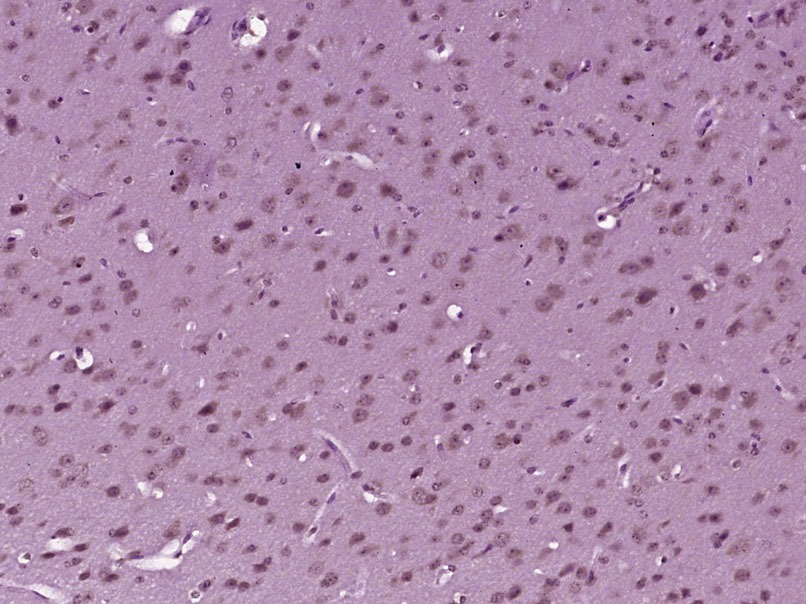
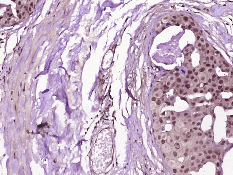
| Verified Activity | 1. Paraformaldehyde-fixed, paraffin embedded (Human brain glioma); Antigen retrieval by boiling in sodium citrate buffer (pH6.0) for 15 min; Block endogenous peroxidase by 3% hydrogen peroxide for 20 min; Blocking buffer (normal goat serum) at 37°C for 30 min; Antibody incubation with (MDM2) Polyclonal Antibody, Unconjugated (TMAB-01124) at 1:400 overnight at 4°C, followed by operating according to SP Kit (Rabbit) instructionsand DAB staining. 2. Paraformaldehyde-fixed, paraffin embedded (Mouse brain); Antigen retrieval by boiling in sodium citrate buffer (pH6.0) for 15 min; Block endogenous peroxidase by 3% hydrogen peroxide for 20 min; Blocking buffer (normal goat serum) at 37°C for 30 min; Antibody incubation with (MDM2) Polyclonal Antibody, Unconjugated (TMAB-01124) at 1:400 overnight at 4°C, followed by operating according to SP Kit (Rabbit) instructionsand DAB staining. 3. Paraformaldehyde-fixed, paraffin embedded (Human breast carcinoma); Antigen retrieval by boiling in sodium citrate buffer (pH6.0) for 15 min; Block endogenous peroxidase by 3% hydrogen peroxide for 20 min; Blocking buffer (normal goat serum) at 37°C for 30 min; Antibody incubation with (MDM2) Polyclonal Antibody, Unconjugated (TMAB-01124) at 1:400 overnight at 4°C, followed by operating according to SP Kit (Rabbit) instructionsand DAB staining. 4. Paraformaldehyde-fixed, paraffin embedded (mouse brain tissue); Antigen retrieval by boiling in sodium citrate buffer (pH6.0) for 15 min; Block endogenous peroxidase by 3% hydrogen peroxide for 20 min; Blocking buffer (normal goat serum) at 37°C for 30 min; Antibody incubation with (MDM2) Polyclonal Antibody, Unconjugated (TMAB-01124) at 1:400 overnight at 4°C, followed by operating according to SP Kit (Rabbit) instructionsand DAB staining.     | 
| Application | |
| Recommended Dose | IHC-P: 1:100-500; IHC-Fr: 1:100-500; IF: 1:100-500 | 
| Antibody Type | Polyclonal | 
| Host Species | Rabbit | 
| Subcellular Localization | Nucleus, nucleoplasm. Cytoplasm. Nucleus, nucleolus. Expressed predominantly in the nucleoplasm. Interaction with ARF(P14) results in the localization of both proteins to the nucleolus. The nucleolar localization signals in both ARF(P14) and MDM2 may be necessary to allow efficient nucleolar localization of both proteins. Colocalizes with RASSF1 isoform A in the nucleus. | 
| Tissue Specificity | Ubiquitous. Isoform Mdm2-A, isoform Mdm2-B, isoform Mdm2-C, isoform Mdm2-D, isoform Mdm2-E, isoform Mdm2-F and isoform Mdm2-G are observed in a range of cancers but absent in normal tissues. | 
| Construction | Polyclonal Antibody | 
| Purification | Protein A purified | 
| Appearance | Liquid | 
| Formulation | 0.01M TBS (pH7.4) with 1% BSA, 0.02% Proclin300 and 50% Glycerol. | 
| Concentration | 1 mg/mL | 
| Research Background | Inhibits TP53/p53- and TP73/p73-mediated cell cyclearrest and apoptosis by binding its transcriptional activation domain. Functions as a ubiquitin ligase E3, in the presence of E1 and E2, toward p53 and itself. Permits the nuclear export of p53 and targets it for proteasome-mediated proteolysis. Binds p53, p73, ARF(P14), ribosomal protein L5 and specifically to RNA. Can interact also with retinoblastoma protein(RB), E1A-associated protein EP300 and the E2F1 transcription factor. Forms a ternary complex with TP53/p53 and WWOX. Interacts with CDKN2AIP, MTBP, TRBG1 and USP7. Isoform Mdm2-F does not interact with TP53/p53. Interacts with PYHIN1. Interacts with, and ubiquitinates HIV-1 Tat. Belongs to the MDM2/MDM4 family. | 
| Immunogen | KLH conjugated synthetic peptide: human MDM2 | 
| Antigen Species | Human | 
| Gene Name | MDM2 | 
| Gene ID | |
| Protein Name | E3 ubiquitin-protein ligase Mdm2 | 
| Uniprot ID | |
| Biology Area | p53 pathway,Cell survival & death,p53,ChIP antibodies,Other factors,E3 Ubiquitin Ligases | 
| Function | E3 ubiquitin-protein ligase that mediates ubiquitination of p53/TP53, leading to its degradation by the proteasome. Inhibits p53/TP53- and p73/TP73-mediated cell cycle arrest and apoptosis by binding its transcriptional activation domain. Also acts as an ubiquitin ligase E3 toward itself and ARRB1. Permits the nuclear export of p53/TP53. Promotes proteasome-dependent ubiquitin-independent degradation of retinoblastoma RB1 protein. Inhibits DAXX-mediated apoptosis by inducing its ubiquitination and degradation. Component of the TRIM28/KAP1-MDM2-p53/TP53 complex involved in stabilizing p53/TP53. Also component of the TRIM28/KAP1-ERBB4-MDM2 complex which links growth factor and DNA damage response pathways. | 
| Molecular Weight | Theoretical: 55 kDa. | 
| Stability & Storage | Store at -20°C or -80°C for 12 months. Avoid repeated freeze-thaw cycles. | 
| Transport | Shipping with blue ice. | 

Copyright © 2015-2025 TargetMol Chemicals Inc. All Rights Reserved.