Shopping Cart
Remove All
Your shopping cart is currently empty
Anti-MBP Polyclonal Antibody is a Rabbit antibody targeting MBP. Anti-MBP Polyclonal Antibody can be used in IF,IHC-Fr,IHC-P,WB.
| Pack Size | Price | USA Stock | Global Stock | Quantity |
|---|---|---|---|---|
| 50 μL | $220 | 7-10 days | 7-10 days | |
| 100 μL | $372 | 7-10 days | 7-10 days | |
| 200 μL | $528 | 7-10 days | 7-10 days |
| Description | Anti-MBP Polyclonal Antibody is a Rabbit antibody targeting MBP. Anti-MBP Polyclonal Antibody can be used in IF,IHC-Fr,IHC-P,WB. |
| Synonyms | Shi, Myelin basic protein, Myelin A1 protein, MBP |
| Ig Type | IgG |
| Reactivity | Human,Mouse,Rat (predicted:Dog,Pig,Cow,Horse,Rabbit,Sheep) |
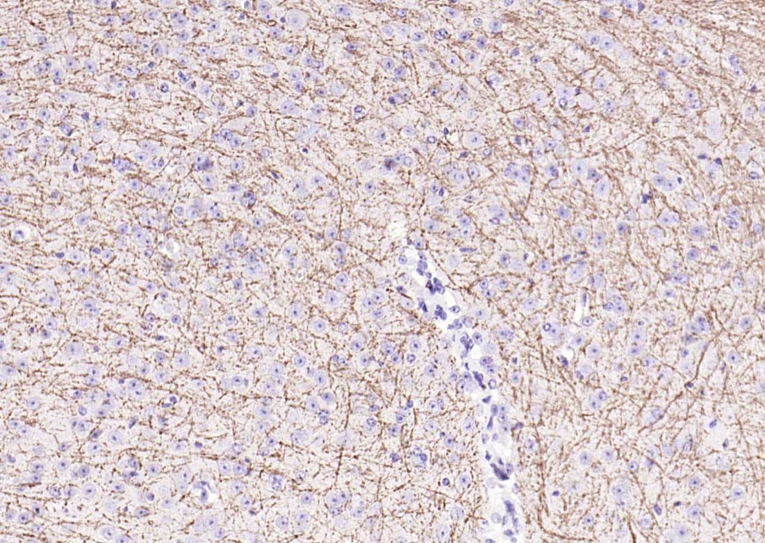
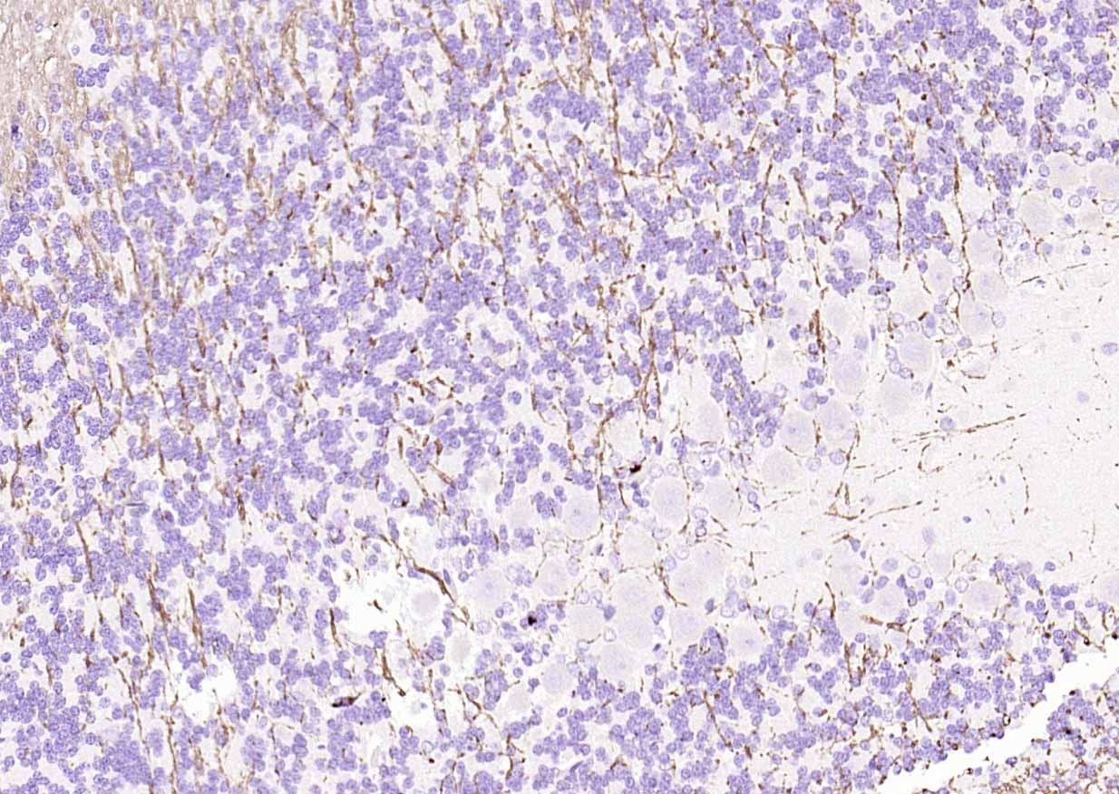
| Verified Activity | 1. 25 μg total protein per Lane of various lysates probed with MBP polyclonal antibody, unconjugated (TMAB-01109) at 1:1000 dilution and 4°C overnight incubation. Followed by conjugated secondary antibody incubation at RT for 60 min. 2. Paraformaldehyde-fixed, paraffin embedded Mouse Cerebrum; Antigen retrieval by boiling in sodium citrate buffer (pH6.0) for 15 min; Antibody incubation with MBP Polyclonal Antibody, Unconjugated (TMAB-01109) at 1:200 overnight at 4°C, followed by conjugation to the SP Kit (Rabbit) and DAB staining. 3. Paraformaldehyde-fixed, paraffin embedded Mouse Cerebellum; Antigen retrieval by boiling in sodium citrate buffer (pH6.0) for 15 min; Antibody incubation with MBP Polyclonal Antibody, Unconjugated (TMAB-01109) at 1:200 overnight at 4°C, followed by conjugation to the SP Kit (Rabbit) and DAB staining. 4. Paraformaldehyde-fixed, paraffin embedded Rat Cerebellum; Antigen retrieval by boiling in sodium citrate buffer (pH6.0) for 15 min; Antibody incubation with MBP Polyclonal Antibody, Unconjugated (TMAB-01109) at 1:200 overnight at 4°C, followed by conjugation to the SP Kit (Rabbit) and DAB staining. 5. Paraformaldehyde-fixed, paraffin embedded Rat Cerebrum; Antigen retrieval by boiling in sodium citrate buffer (pH6.0) for 15 min; Antibody incubation with MBP Polyclonal Antibody, Unconjugated (TMAB-01109) at 1:200 overnight at 4°C, followed by conjugation to the SP Kit (Rabbit) and DAB staining. 6. Paraformaldehyde-fixed, paraffin embedded Human Cerebrum; Antigen retrieval by boiling in sodium citrate buffer (pH6.0) for 15 min; Antibody incubation with MBP Polyclonal Antibody, Unconjugated (TMAB-01109) at 1:200 overnight at 4°C, followed by conjugation to the SP Kit (Rabbit) and DAB staining. 7. Paraformaldehyde-fixed, paraffin embedded Rat Cerebrum; Antigen retrieval by boiling in sodium citrate buffer (pH6.0) for 15 min; Antibody incubation with MBP Polyclonal Antibody, Unconjugated (TMAB-01109) at 1:200 overnight at 4°C. Followed by conjugated Goat Anti-Rabbit IgG antibody (green), DAPI (blue) was used to stain the cell nucleus. 8. Paraformaldehyde-fixed, paraffin embedded Human Cerebrum; Antigen retrieval by boiling in sodium citrate buffer (pH6.0) for 15 min; Antibody incubation with MBP Polyclonal Antibody, Unconjugated (TMAB-01109) at 1:200 overnight at 4°C. Followed by conjugated Goat Anti-Rabbit IgG antibody (green), DAPI (blue) was used to stain the cell nucleus. 9. Paraformaldehyde-fixed, paraffin embedded Mouse Cerebrum; Antigen retrieval by boiling in sodium citrate buffer (pH6.0) for 15 min; Antibody incubation with MBP Polyclonal Antibody, Unconjugated (TMAB-01109) at 1:200 overnight at 4°C. Followed by conjugated Goat Anti-Rabbit IgG antibody (Rose red), DAPI (blue) was used to stain the cell nucleus. 10. Paraformaldehyde-fixed, paraffin embedded Mouse Cerebellum; Antigen retrieval by boiling in sodium citrate buffer (pH6.0) for 15 min; Antibody incubation with MBP Polyclonal Antibody, Unconjugated (TMAB-01109) at 1:200 overnight at 4°C. Followed by conjugated Goat Anti-Rabbit IgG antibody (Rose red), DAPI (blue) was used to stain the cell nucleus. 11. Paraformaldehyde-fixed, paraffin embedded Rat Cerebellum; Antigen retrieval by boiling in sodium citrate buffer (pH6.0) for 15 min; Antibody incubation with MBP Polyclonal Antibody, Unconjugated (TMAB-01109) at 1:200 overnight at 4°C. Followed by conjugated Goat Anti-Rabbit IgG antibody (Rose red), DAPI (blue) was used to stain the cell nucleus. 12. Paraformaldehyde-fixed, paraffin embedded Human Cerebellum; Antigen retrieval by boiling in sodium citrate buffer (pH6.0) for 15 min; Antibody incubation with MBP Polyclonal Antibody, Unconjugated (TMAB-01109) at 1:200 overnight at 4°C. Followed by conjugated Goat Anti-Rabbit IgG antibody (Rose red), DAPI (blue) was used to stain the cell nucleus. 13. Paraformaldehyde-fixed, paraffin embedded Human Left Parietal Lobe; Antigen retrieval by boiling in sodium citrate buffer (pH6.0) for 15 min; Antibody incubation with MBP Polyclonal Antibody, Unconjugated (TMAB-01109) at 1:200 overnight at 4°C. Followed by conjugated Goat Anti-Rabbit IgG antibody (Rose red), DAPI (blue) was used to stain the cell nucleus. ![]() ![]() ![]() ![]() ![]() ![]() ![]() ![]() ![]() ![]() ![]() ![]() ![]() |
| Application | |
| Recommended Dose | WB: 1:1000-5000; IHC-P: 1:500-2000; IHC-Fr: 1:500-2000; IF: 1:500-2000 |
| Antibody Type | Polyclonal |
| Host Species | Rabbit |
| Subcellular Localization | Myelin membrane; Peripheral membrane protein; Cytoplasmic side. Note=Cytoplasmic side of myelin. |
| Tissue Specificity | MBP isoforms are found in both the central and the peripheral nervous system, whereas Golli-MBP isoforms are expressed in fetal thymus, spleen and spinal cord, as well as in cell lines derived from the immune system. |
| Construction | Polyclonal Antibody |
| Purification | Protein A purified |
| Appearance | Liquid |
| Formulation | 0.01M TBS (pH7.4) with 1% BSA, 0.02% Proclin300 and 50% Glycerol. |
| Concentration | 1 mg/mL |
| Research Background | Oligodendrocyte Marker The classic group of Myelin basic protein (MBP) isoforms (isoforms 4 to 14) are with PLP the most abundant protein components of the myelin membrane in the CNS. They have a role in both its formation and stabilization. The smaller isoforms might have an important role in remyelination of denuded axons in multiple sclerosis. The non classic group of MBP isoforms (isoforms 1 to 3/Golli MBPs) may preferentially have a role in the early developing brain long before myelination, maybe as components of transcriptional complexes, and may also be involved in signaling pathways in T cells and neural cells. Differential splicing events combined to optional posttranslational modifications give a wide spectrum of isomers, each of them having maybe a specialized function. |
| Immunogen | KLH conjugated synthetic peptide: Gpig MBP |
| Antigen Species | Pig |
| Gene Name | MBP |
| Gene ID | |
| Protein Name | Myelin basic protein |
| Uniprot ID | |
| Biology Area | Membrane Proteins,Oligodendrocyte marker,Glial |
| Function | The classic group of MBP isoforms (isoform 4-isoform 14) are with PLP the most abundant protein components of the myelin membrane in the CNS. They have a role in both its formation and stabilization. The smaller isoforms might have an important role in remyelination of denuded axons in multiple sclerosis. The non-classic group of MBP isoforms (isoform 1-isoform 3/Golli-MBPs) may preferentially have a role in the early developing brain long before myelination, maybe as components of transcriptional complexes, and may also be involved in signaling pathways in T-cells and neural cells. Differential splicing events combined with optional post-translational modifications give a wide spectrum of isomers, with each of them potentially having a specialized function. Induces T-cell proliferation. |
| Molecular Weight | Theoretical: 33 kDa. Actual: 15-22 kDa. |
| Stability & Storage | Store at -20°C or -80°C for 12 months. Avoid repeated freeze-thaw cycles. |
| Transport | Shipping with blue ice. |
| Size | Quantity | Unit Price | Amount | Operation |
|---|

Copyright © 2015-2026 TargetMol Chemicals Inc. All Rights Reserved.