Shopping Cart
Remove All
Your shopping cart is currently empty
Anti-Matrin 3 Antibody (7P173) is a Rabbit antibody targeting Matrin 3. Anti-Matrin 3 Antibody (7P173) can be used in FCM,ICC,IF,IHC,WB.
| Pack Size | Price | USA Warehouse | Global Warehouse | Quantity |
|---|---|---|---|---|
| 50 μL | $296 | 7-10 days | 7-10 days | |
| 100 μL | $497 | 7-10 days | 7-10 days |
| Description | Anti-Matrin 3 Antibody (7P173) is a Rabbit antibody targeting Matrin 3. Anti-Matrin 3 Antibody (7P173) can be used in FCM,ICC,IF,IHC,WB. |
| Synonyms | Vocal cord and pharyngeal weakness with distal myopathy, VCPDM, MPD2, Matrin-3, Matrin3, MATR3_HUMAN, Matr3, KIAA0723, ALS21 |
| Ig Type | IgG |
| Clone | 7P173 |
| Reactivity | Human,Mouse,Rat |
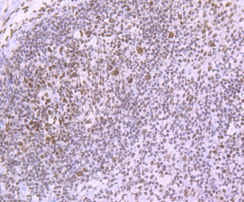
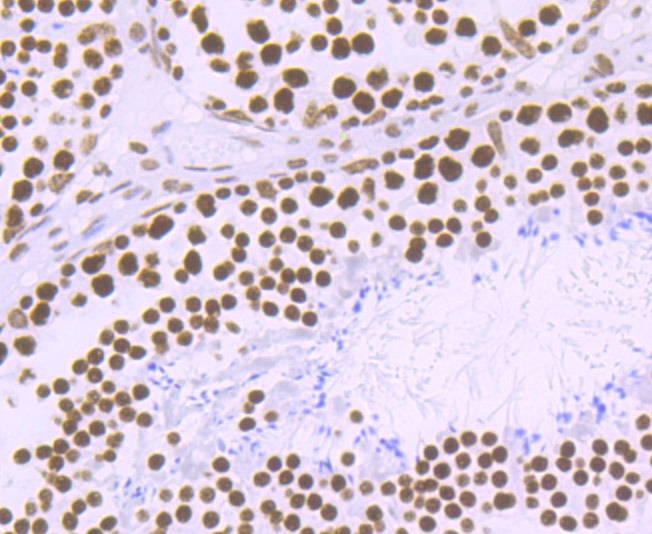
| Verified Activity | 1. Western blot analysis of Matrin 3 on different lysates using anti-Matrin 3 antibody at 1/1,000 dilution. Positive control: Lane 1: Daudi, Lane 2: Mouse brain tissue. 2. Immunohistochemical analysis of paraffin-embedded rat brain tissue using anti-Matrin 3 antibody. Counter stained with hematoxylin. 3. Immunohistochemical analysis of paraffin-embedded human tonsil tissue using anti-Matrin 3 antibody. Counter stained with hematoxylin. 4. Immunohistochemical analysis of paraffin-embedded human lung cancer tissue using anti-Matrin 3 antibody. Counter stained with hematoxylin. 5. Immunohistochemical analysis of paraffin-embedded human liver tissue using anti-Matrin 3 antibody. Counter stained with hematoxylin. 6. Immunohistochemical analysis of paraffin-embedded mouse testis tissue using anti-Matrin 3 antibody. Counter stained with hematoxylin. 7. ICC staining Matrin 3 in Hela cells (green). The nuclear counter stain is DAPI (blue). Cells were fixed in paraformaldehyde, permeabilised with 0.25% Triton X100/PBS. 8. ICC staining Matrin 3 in LOVO cells (green). The nuclear counter stain is DAPI (blue). Cells were fixed in paraformaldehyde, permeabilised with 0.25% Triton X100/PBS. 9. ICC staining Matrin 3 in SH-SY-5Y cells (green). The nuclear counter stain is DAPI (blue). Cells were fixed in paraformaldehyde, permeabilised with 0.25% Triton X100/PBS. 10. Flow cytometric analysis of LOVO cells with Matrin 3 antibody at 1/100 dilution (red) compared with an unlabelled control (cells without incubation with primary antibody; black). Alexa Fluor 488-conjugated goat anti-rabbit IgG was used as the secondary antibody. ![]() ![]() ![]() ![]() ![]() ![]() ![]() ![]() ![]() ![]() |
| Application | |
| Recommended Dose | WB: 1:1000-2000; IHC: 1:50-200; ICC: 1:50-200; FCM: 1:50-100 |
| Antibody Type | Monoclonal |
| Host Species | Rabbit |
| Construction | Recombinant Antibody |
| Purification | ProA affinity purified |
| Appearance | Liquid |
| Formulation | 1*TBS (pH7.4), 1%BSA, 40%Glycerol. Preservative: 0.05% Sodium Azide. |
| Research Background | Matrin-3 is a nuclear matrix protein containing one matrin-type zinc finger and two RRM (RNA recognition motif) domains. Matrin-3 plays a role in transcription and may interact with other nuclear matrix proteins to form the internal fibrogranular network. In association with the PSF-p54/NRB heteromer, Matrin-3 may play a role in the nuclear retention of defective RNAs. As the main substrate for PKA-mediated phosphorylation, Matrin-3 may serve as a rapid way of transferring information from synapses containing NMDA receptors to neuronal nuclei under physiological conditions. Also, the phosphorylation of Matrin-3 may contribute to neuronal death under pathological conditions. It is likely that Matrin-3 activity is regulated by calcium dependent interaction with CaM I and also by caspase induced cleavage. |
| Conjucates | Unconjugated |
| Immunogen | Recombinant Protein |
| Uniprot ID |
| Molecular Weight | Theoretical: 95 kDa. |
| Stability & Storage | Store at -20°C or -80°C for 12 months. Avoid repeated freeze-thaw cycles. |
| Transport | Shipping with blue ice. |
| Size | Quantity | Unit Price | Amount | Operation |
|---|

Copyright © 2015-2026 TargetMol Chemicals Inc. All Rights Reserved.