Shopping Cart
Remove All
Your shopping cart is currently empty
Synonyms: Serine/threonine-protein kinase MARK2, Serine/threonine protein kinase MARK2, Serine/threonine protein kinase EMK, Ser/Thr protein kinase PAR 1B, Par1b, PAR1 homolog, Par 1b, PAR 1, MGC99619, MARK2_HUMAN, Mark 2, MAP/microtubule affinity-regulating kinase 2, MAP/microtubule affinity regulating kinase 2, EMK-1, EMK1, ELKL motif kinase 1, ELKL motif kinase
| Pack Size | Price | USA Stock | Global Stock | Quantity |
|---|---|---|---|---|
| 50 μL | $296 | 7-10 days | 7-10 days | |
| 100 μL | $498 | 7-10 days | 7-10 days |
| Description | Anti-MARK2 Antibody (5N875) is a Rabbit antibody targeting MARK2. Anti-MARK2 Antibody (5N875) can be used in FCM,IHC,WB. |
| Synonyms | Serine/threonine-protein kinase MARK2, Serine/threonine protein kinase MARK2, Serine/threonine protein kinase EMK, Ser/Thr protein kinase PAR 1B, Par1b, PAR1 homolog, Par 1b, PAR 1, MGC99619, MARK2_HUMAN, Mark 2, MAP/microtubule affinity-regulating kinase 2, MAP/microtubule affinity regulating kinase 2, EMK-1, EMK1, ELKL motif kinase 1, ELKL motif kinase |
| Ig Type | IgG |
| Clone | 5N875 |
| Reactivity | Human,Mouse,Rat |
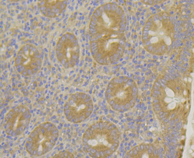
| Verified Activity | 1. Western blot analysis of MARK2 on MCF-7 (1) and SK-Br-3 (2) cell lysate using anti-MARK2 antibody at 1/2,000 dilution. 2. Immunohistochemical analysis of paraffin-embedded human appendix tissue using anti-MARK2 antibody. Counter stained with hematoxylin. 3. Flow cytometric analysis of MCF-7 cells with MARK2 antibody at 1/100 dilution (purple) compared with an unlabelled control (cells without incubation with primary antibody; yellow). Alexa Fluor 488-conjugated goat anti-rabbit IgG was used as the secondary antibody. |
| Application | |
| Recommended Dose | WB: 1:500-2000; IHC: 1:50-200; FCM: 1:50-100 |
| Antibody Type | Monoclonal |
| Host Species | Rabbit |
| Construction | Recombinant Antibody |
| Purification | ProA affinity purified |
| Appearance | Liquid |
| Formulation | 1*TBS (pH7.4), 1%BSA, 40%Glycerol. Preservative: 0.05% Sodium Azide. |
| Research Background | Microtubule affinity-regulating kinase 2 (MARK2), also known as EMK1 (ELKL motif kinase 1) or Par1b, is a 788 amino acid protein that is a member of the protein kinase superfamily, MARK subfamily. Highly expressed in heart, brain, skeletal muscle and pancreas, MARK2 is essential for the asymmetric development of membrane domains around polarized epithelial cells. Activation of MARK2 by phosphorylation on Thr 208 allows the protein to modulate the building of a columnar versus a hepatic epithelial cell. MARK2 contains one KA1 (kinase-associated) domain, one protein kinase domain and one UBA domain. MARK2 is expressed as 14 isoforms produced by alternative splicing events. Some of these isoforms may function in graft rejection. |
| Conjucates | Unconjugated |
| Immunogen | Recombinant Protein: near the C-terminus of human MARK2 |
| Antigen Species | human |
| Uniprot ID |
| Molecular Weight | Theoretical: 77/88 kDa. |
| Stability & Storage | Store at -20°C or -80°C for 12 months. Avoid repeated freeze-thaw cycles. |
| Transport | Shipping with blue ice. |
| Size | Quantity | Unit Price | Amount | Operation |
|---|

Copyright © 2015-2026 TargetMol Chemicals Inc. All Rights Reserved.