Shopping Cart
Remove All
Your shopping cart is currently empty
Anti-MAPT Antibody (7J208) is a Rabbit antibody targeting MAPT. Anti-MAPT Antibody (7J208) can be used in IHC,IP,WB.
| Pack Size | Price | USA Warehouse | Global Warehouse | Quantity |
|---|---|---|---|---|
| 50 μL | $298 | 7-10 days | 7-10 days | |
| 100 μL | $496 | 7-10 days | 7-10 days |
| Description | Anti-MAPT Antibody (7J208) is a Rabbit antibody targeting MAPT. Anti-MAPT Antibody (7J208) can be used in IHC,IP,WB. |
| Synonyms | TAU and MAPT, Paired helical filament-tau, Neurofibrillary tangle protein, MTBT1, Microtubule-associated protein tau, MAPTL |
| Ig Type | IgG |
| Clone | 7J208 |
| Reactivity | Human,Mouse,Rat |
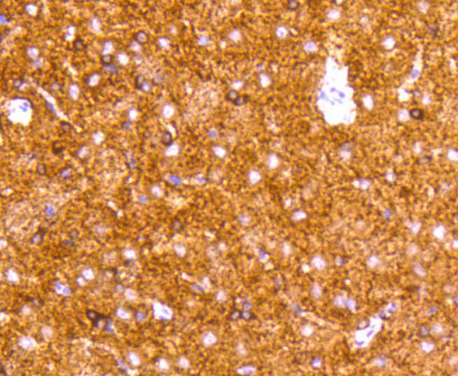
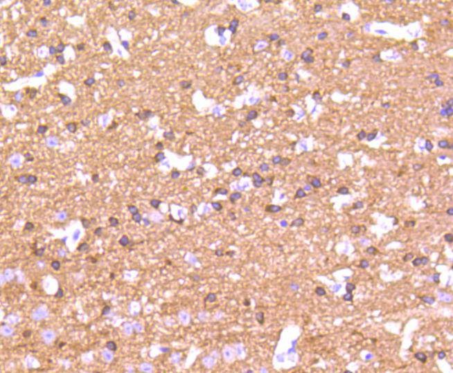
| Verified Activity | 1. Western blot analysis of Tau on mouse brain lysates using anti-Tau antibody at 1/1,000 dilution. 2. Immunohistochemical analysis of paraffin-embedded rat brain tissue using anti-Tau antibody. Counter stained with hematoxylin. 3. Immunohistochemical analysis of paraffin-embedded mouse brain tissue using anti-Tau antibody. Counter stained with hematoxylin. ![]() ![]() ![]() |
| Application | |
| Recommended Dose | WB: 1:1000-5000; IHC: 1:50-200 |
| Antibody Type | Monoclonal |
| Host Species | Rabbit |
| Construction | Recombinant Antibody |
| Purification | ProA affinity purified |
| Appearance | Liquid |
| Formulation | 1*TBS (pH7.4), 1%BSA, 40%Glycerol. Preservative: 0.05% Sodium Azide. |
| Research Background | Tau, also known as MAPT (microtubule-associated protein tau), MAPTL, MTBT1 or TAU, is a 758 amino acid protein that localizes to the cytoplasm, as well as to the cytoskeleton and the cell membrane, and contains four Tau/MAP repeats. Expressed in neuronal tissue and existing as multiple alternatively spliced isoforms, Tau functions to promote microtubule assembly and stability and is thought to be involved in the maintenance of neuronal polarity. Tau may also link microtubules with neural plasma membrane components and, addition to its role in microtubule stability, is also necessary for cytoskeletal plasticity. Tau is highly subject to a variety of post-translational modifications, including phosphorylation on serine and threonine residues, polyubiquitination (and subsequent proteasomal degradation) and glycation of specific Tau isoforms. Defects in the gene encoding Tau are associated with Alzheimers disease, pallido-ponto-nigral degeneration (PPND), corticobasal degeneration (CBD) and progressive supranuclear palsy (PSP). |
| Conjucates | Unconjugated |
| Immunogen | Recombinant Protein |
| Uniprot ID |
| Molecular Weight | Theoretical: 79 kDa. |
| Stability & Storage | Store at -20°C or -80°C for 12 months. Avoid repeated freeze-thaw cycles. |
| Transport | Shipping with blue ice. |
| Size | Quantity | Unit Price | Amount | Operation |
|---|

Copyright © 2015-2026 TargetMol Chemicals Inc. All Rights Reserved.