Shopping Cart
Remove All
Your shopping cart is currently empty
Synonyms: Stress-activated protein kinase 2a, SAPK2a, P38 MAPK, MXI2, Mitogen-activated protein kinase p38 alpha, Mitogen-activated protein kinase 14, MAX-interacting protein 2, MAPK 14, MAP kinase p38 alpha, MAP kinase MXI2, MAP kinase 14, EC 2.7.11.24, Cytokine suppressive anti-inflammatory drug-binding protein, CSBP2, CSBP1, CSBP, CSAID-binding protein
| Pack Size | Price | USA Stock | Global Stock | Quantity |
|---|---|---|---|---|
| 50 μL | $297 | 7-10 days | 7-10 days | |
| 100 μL | $498 | 7-10 days | 7-10 days |
| Description | Anti-MAPK14 Antibody (8W839) is a Rabbit antibody targeting MAPK14. Anti-MAPK14 Antibody (8W839) can be used in ICC/IF,IHC,WB. |
| Synonyms | Stress-activated protein kinase 2a, SAPK2a, P38 MAPK, MXI2, Mitogen-activated protein kinase p38 alpha, Mitogen-activated protein kinase 14, MAX-interacting protein 2, MAPK 14, MAP kinase p38 alpha, MAP kinase MXI2, MAP kinase 14, EC 2.7.11.24, Cytokine suppressive anti-inflammatory drug-binding protein, CSBP2, CSBP1, CSBP, CSAID-binding protein |
| Ig Type | IgG |
| Clone | 8W839 |
| Reactivity | Human,Mouse,Rat |
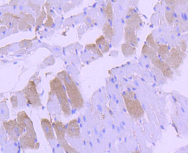
| Verified Activity | 1. Western blot analysis of p38 MAPK on different lysates using anti-p38 MAPK antibody at 1/1,000 dilution. Positive control: Lane 1: NIH/3T3, Lane 2: Human brain, Lane 3: 293. 2. Immunohistochemical analysis of paraffin-embedded mouse heart tissue using anti-p38 MAPK antibody. Counter stained with hematoxylin. 3. ICC staining p38 MAPK in Hela cells (red). The nuclear counter stain is DAPI (blue). Cells were fixed in paraformaldehyde, permeabilised with 0.25% Triton X100/PBS. 4. ICC staining p38 MAPK in NIH/3T3 cells (red). The nuclear counter stain is DAPI (blue). Cells were fixed in paraformaldehyde, permeabilised with 0.25% Triton X100/PBS. 5. ICC staining p38 MAPK in 293T cells (red). The nuclear counter stain is DAPI (blue). Cells were fixed in paraformaldehyde, permeabilised with 0.25% Triton X100/PBS. |
| Application | |
| Recommended Dose | WB: 1:1000-2000; IHC: 1:50-200; ICC/IF: 1:50-200 |
| Antibody Type | Monoclonal |
| Host Species | Rabbit |
| Construction | Recombinant Antibody |
| Purification | ProA affinity purified |
| Appearance | Liquid |
| Formulation | 1*TBS (pH7.4), 1%BSA, 40%Glycerol. Preservative: 0.05% Sodium Azide. |
| Research Background | MAP (mitogen-activated protein) kinases play a significant role in many biological processes, including cell adhesion and spreading, cell differentiation and apoptosis. p38α, p38β and p38γ, also known as MAPK14, MAPK11 and MAPK12, respectively, each contain one protein kinase domain and belong to the MAP kinase family. Expressed in different areas throughout the body with common expression patterns in heart, p38 proteins use magnesium as a cofactor to catalyze the ATP-dependent phosphorylation of target proteins. Via their catalytic activity, p38α, p38β and p38γ are involved in a variety of events throughout the cell, including signal transduction pathways, cytokine production and cell proliferation and differentiation. The p38 proteins are subject to phosphoryation on Thr and Tyr residues, an event which is thought to activate the phosphorylated protein. |
| Conjucates | Unconjugated |
| Immunogen | Recombinant Protein |
| Uniprot ID |
| Molecular Weight | Theoretical: 41 kDa. |
| Stability & Storage | Store at -20°C or -80°C for 12 months. Avoid repeated freeze-thaw cycles. |
| Transport | Shipping with blue ice. |
| Size | Quantity | Unit Price | Amount | Operation |
|---|

Copyright © 2015-2026 TargetMol Chemicals Inc. All Rights Reserved.