Shopping Cart
Remove All
Your shopping cart is currently empty
Synonyms: Stress-activated protein kinase 2a, SAPK2a, P38 MAPK, MXI2, Mitogen-activated protein kinase p38 alpha, Mitogen-activated protein kinase 14, MAX-interacting protein 2, MAPK 14, MAP kinase p38 alpha, MAP kinase MXI2, MAP kinase 14, EC 2.7.11.24, Cytokine suppressive anti-inflammatory drug-binding protein, CSBP2, CSBP1, CSBP, CSAID-binding protein

| Pack Size | Price | USA Stock | Global Stock | Quantity |
|---|---|---|---|---|
| 50 μL | $216 | 7-10 days | 7-10 days | |
| 100 μL | $318 | 7-10 days | 7-10 days |
| Description | Anti-MAPK14 Antibody (6J738) is a Mouse antibody targeting MAPK14. Anti-MAPK14 Antibody (6J738) can be used in IHC. |
| Synonyms | Stress-activated protein kinase 2a, SAPK2a, P38 MAPK, MXI2, Mitogen-activated protein kinase p38 alpha, Mitogen-activated protein kinase 14, MAX-interacting protein 2, MAPK 14, MAP kinase p38 alpha, MAP kinase MXI2, MAP kinase 14, EC 2.7.11.24, Cytokine suppressive anti-inflammatory drug-binding protein, CSBP2, CSBP1, CSBP, CSAID-binding protein |
| Ig Type | IgG1 |
| Clone | 6J738 |
| Reactivity | Human,Mouse,Rat |
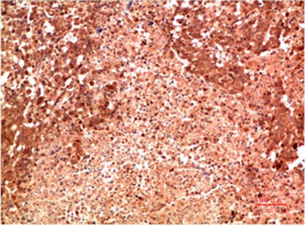
| Verified Activity | 1. Immunohistochemical analysis of paraffin-embedded Human Lung Carcinoma Tissue using P38 Mouse mAb diluted at 1:200. |
| Application | |
| Recommended Dose | IHC: 1:50-200 |
| Antibody Type | Monoclonal |
| Host Species | Mouse |
| Construction | Hybridoma Monoclonal Antibody |
| Appearance | Liquid |
| Formulation | Liquid in PBS containing 50% glycerol, 0.5% BSA and 0.02% sodium azide. |
| Conjucates | Unconjugated |
| Immunogen | A synthesized peptide: P38 |
| Uniprot ID |
| Molecular Weight | Theoretical: 42 kDa. |
| Stability & Storage | Store at -20°C or -80°C for 12 months. Avoid repeated freeze-thaw cycles. |
| Transport | Shipping with blue ice. |
| Size | Quantity | Unit Price | Amount | Operation |
|---|

Copyright © 2015-2026 TargetMol Chemicals Inc. All Rights Reserved.