Shopping Cart
Remove All
Your shopping cart is currently empty
Anti-MAP3K14 Polyclonal Antibody is a Rabbit antibody targeting MAP3K14. Anti-MAP3K14 Polyclonal Antibody can be used in FCM,IF,IHC-Fr,IHC-P,WB.
| Pack Size | Price | USA Stock | Global Stock | Quantity |
|---|---|---|---|---|
| 50 μL | $221 | 7-10 days | 7-10 days | |
| 100 μL | $372 | 7-10 days | 7-10 days | |
| 200 μL | $528 | 7-10 days | 7-10 days |
| Description | Anti-MAP3K14 Polyclonal Antibody is a Rabbit antibody targeting MAP3K14. Anti-MAP3K14 Polyclonal Antibody can be used in FCM,IF,IHC-Fr,IHC-P,WB. |
| Synonyms | Serine/threonine-protein kinase NIK, NIK, NF-kappa-beta-inducing kinase (HsNIK), Mitogen-activated protein kinase kinase kinase 14, MAP3K14 |
| Ig Type | IgG |
| Reactivity | Human,Mouse (predicted:Rat,Dog,Cow,Horse,Rabbit) |
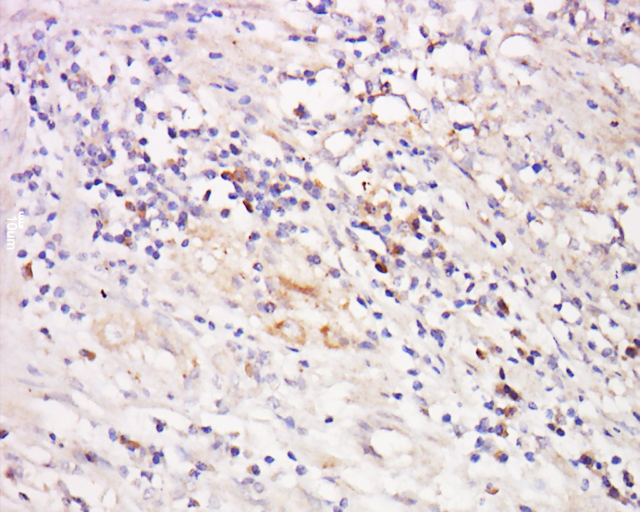
| Verified Activity | 1. Sample: Kidney (Mouse) lysate at 30 μg; Brain (Mouse) lysate at 30 μg Primary: Anti-NFkB Inducing Kinase NIK (TMAB-01101) at 1:300 dilution; Secondary: HRP conjugated Goat-Anti-Rabbit Igg (secondary antibody) at 1: 5000 dilution; Predicted band size: 104 kDa Observed band size: 104 kDa 2. Tissue/cell: human colon carcinoma; 4% Paraformaldehyde-fixed and paraffin-embedded; Antigen retrieval: citrate buffer (0.01M, pH6.0), Boiling bathing for 15 min; Block endogenous peroxidase by 3% Hydrogen peroxide for 30 min; Blocking buffer (normal goat serum) at 37°C for 20 min; Incubation: Anti-HSNIK Polyclonal Antibody, Unconjugated (TMAB-01101) 1:500, overnight at 4°C, followed by conjugation to the secondary antibody and DAb staining. 3. Blank control: A431. Primary Antibody (green line): Rabbit Anti-NFkB Inducing Kinase NIK antibody (TMAB-01101) Dilution: 1 μg/10^6 cells; Isotype Control Antibody (orange line): Rabbit IgG. Secondary Antibody: Goat anti-rabbit IgG-AF647 Dilution: 1 μg/test. Protocol The cells were fixed with 4% PFA (10 min at room temperature) and then permeabilized with 0.1% PBST for 20 min at room temperature. The cells were then incubated in 5% BSA to block non-specific protein-protein interactions for 30 min at room temperature. Cells stained with Primary Antibody for 30 min at room temperature. The secondary antibody used for 40 min at room temperature. ![]() ![]() ![]() |
| Application | |
| Recommended Dose | WB: 1:500-2000; IHC-P: 1:100-500; IHC-Fr: 1:100-500; IF: 1:100-500; FCM: 3ug/Test |
| Antibody Type | Polyclonal |
| Host Species | Rabbit |
| Subcellular Localization | Cytoplasm. |
| Tissue Specificity | Weakly expressed in testis, small intestine, spleen, thymus, peripheral blood leukocytes, prostate, ovary and colon. |
| Construction | Polyclonal Antibody |
| Purification | Protein A purified |
| Appearance | Liquid |
| Formulation | 0.01M TBS (pH7.4) with 1% BSA, 0.02% Proclin300 and 50% Glycerol. |
| Concentration | 1 mg/mL |
| Research Background | This gene encodes mitogen-activated protein kinase kinase kinase 14, which is a serine/threonine protein-kinase. This kinase binds to TRAF2 and stimulates NF-kappaB activity. It shares sequence similarity with several other MAPKK kinases. It participates in an NF-kappaB-inducing signalling cascade common to receptors of the tumour-necrosis/nerve-growth factor (TNF/NGF) family and to the interleukin-1 type-I receptor. [provided by RefSeq]. |
| Immunogen | KLH conjugated synthetic peptide: human NIK |
| Antigen Species | Human |
| Gene Name | MAP3K14 |
| Gene ID | |
| Protein Name | Mitogen-activated protein kinase kinase kinase 14 |
| Uniprot ID | |
| Biology Area | Kinases,NFkB pathway,Other Kinases,NFkB Pathway |
| Function | Lymphotoxin beta-activated kinase which seems to be exclusively involved in the activation of NF-kappa-B and its transcriptional activity. Promotes proteolytic processing of NFKB2/P100, which leads to activation of NF-kappa-B via the non-canonical pathway. Could act in a receptor-selective manner. |
| Molecular Weight | Theoretical: 104 kDa. Actual: 104 kDa. |
| Stability & Storage | Store at -20°C or -80°C for 12 months. Avoid repeated freeze-thaw cycles. |
| Transport | Shipping with blue ice. |
| Size | Quantity | Unit Price | Amount | Operation |
|---|

Copyright © 2015-2026 TargetMol Chemicals Inc. All Rights Reserved.