Shopping Cart
Remove All
Your shopping cart is currently empty
Anti-MAP2K1 Antibody (3D339) is a Rabbit antibody targeting MAP2K1. Anti-MAP2K1 Antibody (3D339) can be used in FCM,ICC/IF,IHC,IP,WB.
| Pack Size | Price | USA Warehouse | Global Warehouse | Quantity |
|---|---|---|---|---|
| 50 μL | $296 | 7-10 days | 7-10 days | |
| 100 μL | $497 | 7-10 days | 7-10 days |
| Description | Anti-MAP2K1 Antibody (3D339) is a Rabbit antibody targeting MAP2K1. Anti-MAP2K1 Antibody (3D339) can be used in FCM,ICC/IF,IHC,IP,WB. |
| Synonyms | PRKMK1, MKK1, MEK 1, MAPKK 1, MAPK/ERK kinase 1, MAP kinase kinase 1, ERK activator kinase 1, EC 2.7.12.2, Dual specificity mitogen-activated protein kinase kinase 1 |
| Ig Type | IgG |
| Clone | 3D339 |
| Reactivity | Human,Mouse,Rat,Cow,Dog |
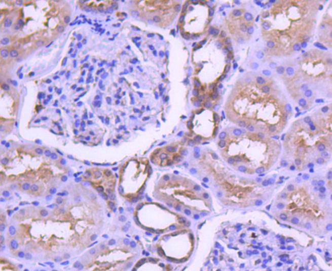
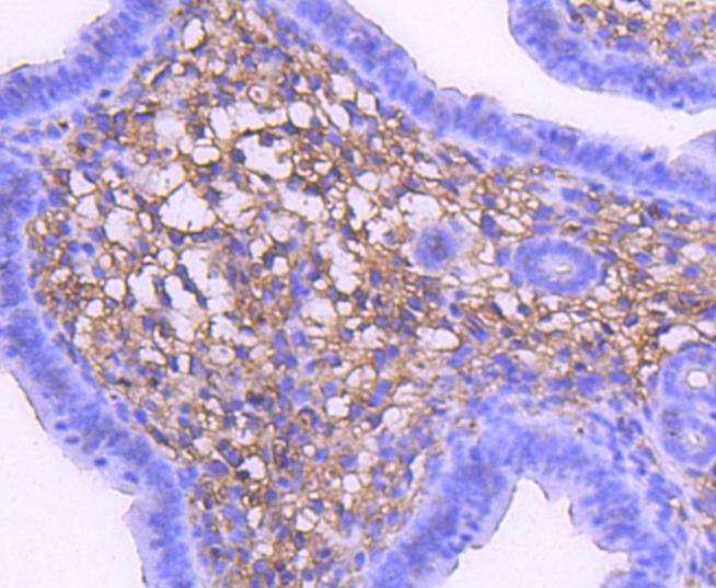
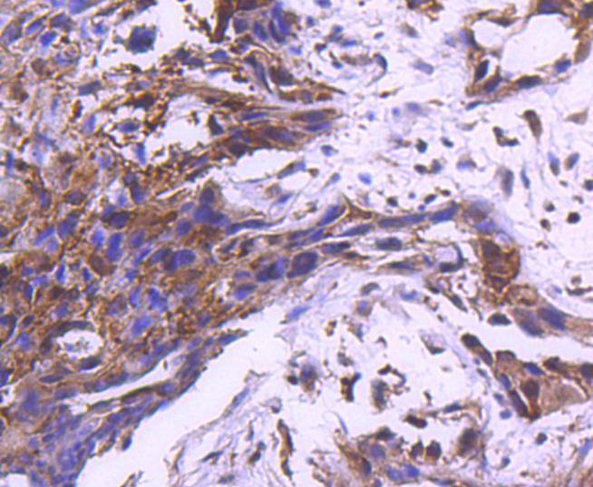
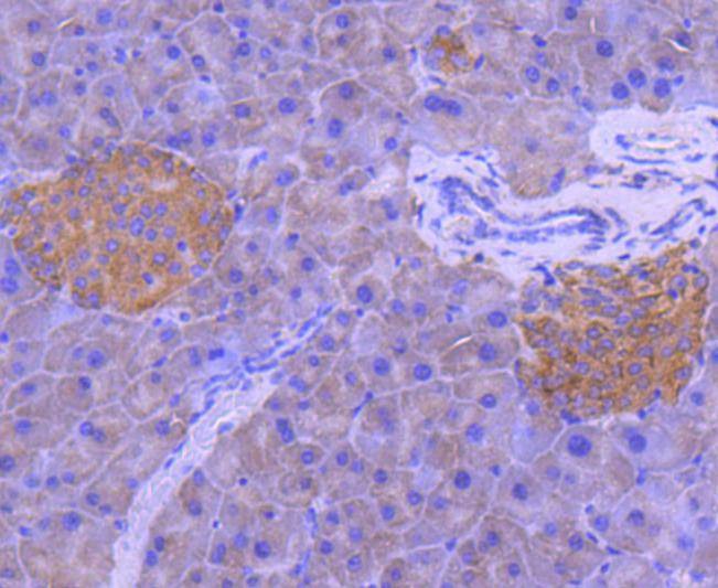
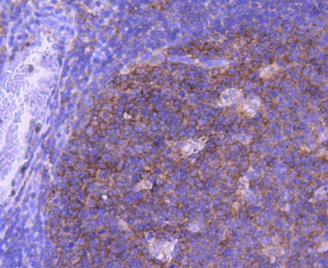
| Verified Activity | 1. Western blot analysis of MEK1 on different lysates using anti-MEK1 antibody at 1/1,000 dilution. Positive control: Lane 1: A431, Lane 2: HepG2, Lane 3: Hela. 2. Immunohistochemical analysis of paraffin-embedded human breast carcinoma tissue using anti-MEK1 antibody. Counter stained with hematoxylin. 3. Immunohistochemical analysis of paraffin-embedded human kidney tissue using anti-MEK1 antibody. Counter stained with hematoxylin. 4. Immunohistochemical analysis of paraffin-embedded mouse pancreas tissue using anti-MEK1 antibody. Counter stained with hematoxylin. 5. Immunohistochemical analysis of paraffin-embedded human tonsil tissue using anti-MEK1 antibody. Counter stained with hematoxylin. 6. Immunohistochemical analysis of paraffin-embedded mouse uterus tissue using anti-MEK1 antibody. Counter stained with hematoxylin. 7. ICC staining MEK1 in Hela cells (green). The nuclear counter stain is DAPI (blue). Cells were fixed in paraformaldehyde, permeabilised with 0.25% Triton X100/PBS. 8. ICC staining MEK1 in MCF-7 cells (green). The nuclear counter stain is DAPI (blue). Cells were fixed in paraformaldehyde, permeabilised with 0.25% Triton X100/PBS. 9. ICC staining MEK1 in NIH/3T3 cells (green). The nuclear counter stain is DAPI (blue). Cells were fixed in paraformaldehyde, permeabilised with 0.25% Triton X100/PBS. 10. Flow cytometric analysis of Hela cells with MEK1 antibody at 1/50 dilution (red) compared with an unlabelled control (cells without incubation with primary antibody; black). Alexa Fluor 488-conjugated goat anti rabbit IgG was used as the secondary antibody. ![]() ![]() ![]() ![]() ![]() ![]() ![]() ![]() ![]() ![]() |
| Application | |
| Recommended Dose | WB: 1:1000-2000; IHC: 1:50-200; ICC/IF: 1:50-200; FCM: 1:50-100 |
| Antibody Type | Monoclonal |
| Host Species | Rabbit |
| Construction | Recombinant Antibody |
| Purification | ProA affinity purified |
| Appearance | Liquid |
| Formulation | 1*TBS (pH7.4), 1%BSA, 40%Glycerol. Preservative: 0.05% Sodium Azide. |
| Research Background | A family of protein kinases located upstream of the MAP kinases and responsible for their activation has been identified. The prototype member of this family, designated MAP kinase kinase, or MEK-1, specifically phosphorylates the MAP kinase regulatory threonine and tyrosine residues present in the Thr-Glu-Tyr motif of ERK. A second MEK family member, MEK-2, resembles MEK-1 in its substrate specificity. MEK-3 (or MKK-3) functions to activate p38 MAP kinase, and MEK-4 (also called SEK1 or MKK-4) activates both p38 and JNK MAP kinases. MEK-5 appears to specifically phosphorylate ERK5, whereas MEK-6 phosphorylates p38 and p38b. MEK-7 (or MKK-7) phosphorylates and activates the JNK signal transduction pathway. |
| Conjucates | Unconjugated |
| Immunogen | Recombinant Protein |
| Uniprot ID |
| Molecular Weight | Theoretical: 43 kDa. |
| Stability & Storage | Store at -20°C or -80°C for 12 months. Avoid repeated freeze-thaw cycles. |
| Transport | Shipping with blue ice. |
| Size | Quantity | Unit Price | Amount | Operation |
|---|

Copyright © 2015-2026 TargetMol Chemicals Inc. All Rights Reserved.