Shopping Cart
Remove All
Your shopping cart is currently empty
Anti-MAL2 Polyclonal Antibody is a Rabbit antibody targeting MAL2. Anti-MAL2 Polyclonal Antibody can be used in IF,IHC-Fr,IHC-P.
| Pack Size | Price | USA Warehouse | Global Warehouse | Quantity |
|---|---|---|---|---|
| 50 μL | $220 | 7-10 days | 7-10 days | |
| 100 μL | $374 | 7-10 days | 7-10 days | |
| 200 μL | $527 | 7-10 days | 7-10 days |
| Description | Anti-MAL2 Polyclonal Antibody is a Rabbit antibody targeting MAL2. Anti-MAL2 Polyclonal Antibody can be used in IF,IHC-Fr,IHC-P. |
| Synonyms | Mal, T cell differentiation protein 2, MAL proteolipid protein 2, MAL 2 |
| Ig Type | IgG |
| Reactivity | Human (predicted:Mouse,Rat,Pig,Cow) |
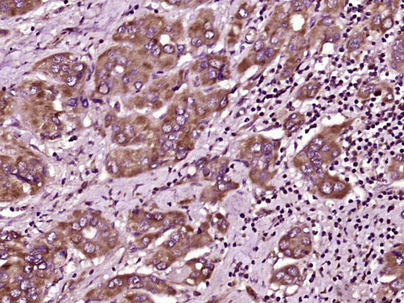
| Verified Activity | Paraformaldehyde-fixed, paraffin embedded (human liver carcinoma); Antigen retrieval by boiling in sodium citrate buffer (pH6.0) for 15 min; Block endogenous peroxidase by 3% hydrogen peroxide for 20 min; Blocking buffer (normal goat serum) at 37°C for 30 min; Antibody incubation with (MAL2) Polyclonal Antibody, Unconjugated (TMAB-01096) at 1:400 overnight at 4°C, followed by operating according to SP Kit (Rabbit) instructionsand DAB staining. ![]() |
| Application | |
| Recommended Dose | IHC-P: 1:100-500; IHC-Fr: 1:100-500; IF: 1:100-500 |
| Antibody Type | Polyclonal |
| Host Species | Rabbit |
| Subcellular Localization | Cell membrane. Apical cell membrane. Endomembrane system. Cytoplasm > perinuclear region. Associated with lipid rafts. In polarized epithelial cells, restricted to the apical surface. In hepatocytes, as well as in polarized hepatoma HepG2 cells, found in the canalicular membrane, equivalent to the apical surface, beneath the canalicular actin cytoskeleton. In non-polarized HepG2 cells, distributed to the perinuclear region. |
| Tissue Specificity | Predominantly expressed in kidney, lung, and liver. Also found in thyroid gland, stomach and, at lower levels in testis and small intestine. |
| Construction | Polyclonal Antibody |
| Purification | Protein A purified |
| Appearance | Liquid |
| Formulation | 0.01M TBS (pH7.4) with 1% BSA, 0.02% Proclin300 and 50% Glycerol. |
| Concentration | 1 mg/mL |
| Research Background | The MARVEL domain is a 130 amino acid motif that contains four transmembrane helices, both of which have cytoplasmic N- and C-terminal regions. MARVEL domain-containing proteins are thought to participate in tight junction regulation, the biogenesis of vesicular transport carriers and in cholesterol-rich membrane apposition events. MAL2 (mal, T-cell differentiation protein 2) is a 176 amino acid multi-pass membrane protein that is associated with lipid rafts and contains one MARVEL domain. Expressed predominately in liver, kidney and lung, MAL2 functions as a member of the polarized machinery transport system and is required for transcytosis, a transporter pathway used to deliver membrane-bound cargo from perinuclear endosomes to the apical surface in a raft-dependent manner. Differential expression of MAL2 is associated with several cancers, including renal cell carcinoma and childhood leukemia, suggesting a role for MAL2 in tumorigensis. |
| Immunogen | KLH conjugated synthetic peptide: human MAL2 |
| Antigen Species | Human |
| Gene Name | MAL2 |
| Gene ID | |
| Protein Name | Protein MAL2 |
| Uniprot ID | |
| Biology Area | Lipid metabolism,Regulation |
| Function | Member of the machinery of polarized transport. Required for the indirect transcytotic route at the step of the egress of the transcytosing cargo from perinuclear endosomes in order for it to travel to the apical surface via a raft-dependent pathway. |
| Molecular Weight | Theoretical: 19 kDa. |
| Stability & Storage | Store at -20°C or -80°C for 12 months. Avoid repeated freeze-thaw cycles. |
| Transport | Shipping with blue ice. |
| Size | Quantity | Unit Price | Amount | Operation |
|---|

Copyright © 2015-2026 TargetMol Chemicals Inc. All Rights Reserved.