Shopping Cart
Remove All
Your shopping cart is currently empty
Anti-M-CSF/CSF1 Antibody (2H817) is a Rabbit antibody targeting M-CSF/CSF1. Anti-M-CSF/CSF1 Antibody (2H817) can be used in ICC,IHC,IP,WB.
| Pack Size | Price | USA Warehouse | Global Warehouse | Quantity |
|---|---|---|---|---|
| 50 μL | $297 | 7-10 days | 7-10 days | |
| 100 μL | $498 | 7-10 days | 7-10 days |
| Description | Anti-M-CSF/CSF1 Antibody (2H817) is a Rabbit antibody targeting M-CSF/CSF1. Anti-M-CSF/CSF1 Antibody (2H817) can be used in ICC,IHC,IP,WB. |
| Ig Type | IgG |
| Clone | 2H817 |
| Reactivity | Human |
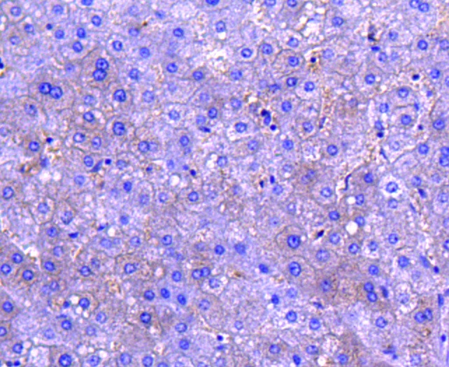
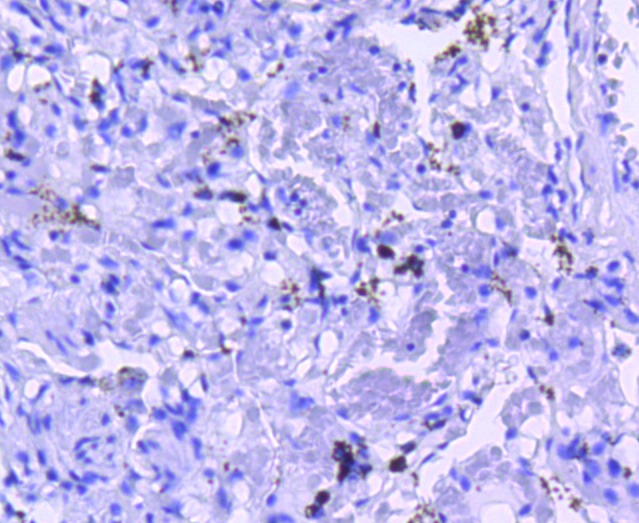
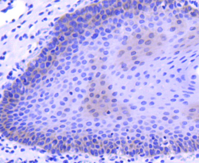
| Verified Activity | 1. Immunohistochemical analysis of paraffin-embedded human tonsil tissue using anti-MCSF antibody. Counter stained with hematoxylin. 2. Immunohistochemical analysis of paraffin-embedded human lung tissue using anti-MCSF antibody. Counter stained with hematoxylin. 3. Immunohistochemical analysis of paraffin-embedded human liver tissue using anti-MCSF antibody. Counter stained with hematoxylin. 4. ICC staining MCSF in A431 cells (green). The nuclear counter stain is DAPI (blue). Cells were fixed in paraformaldehyde, permeabilised with 0.25% Triton X100/PBS. 5. ICC staining MCSF in HepG2 cells (green). The nuclear counter stain is DAPI (blue). Cells were fixed in paraformaldehyde, permeabilised with 0.25% Triton X100/PBS. 6. ICC staining MCSF in Hela cells (green). The nuclear counter stain is DAPI (blue). Cells were fixed in paraformaldehyde, permeabilised with 0.25% Triton X100/PBS. ![]() ![]() ![]() ![]() ![]() ![]() |
| Application | |
| Recommended Dose | WB: 1:500-1000; IHC: 1:50-100; ICC: 1:50-200 |
| Antibody Type | Monoclonal |
| Host Species | Rabbit |
| Construction | Recombinant Antibody |
| Purification | ProA affinity purified |
| Appearance | Liquid |
| Formulation | 1*TBS (pH7.4), 1%BSA, 40%Glycerol. Preservative: 0.05% Sodium Azide. |
| Research Background | The macrophage colony-stimulating factor (M-CSF), also designated CSF-1, was originally discovered in serum, urine and other biological fluids as a factor that can stimulate the formation of macrophage colonies from bone marrow hematopoietic progenitor cells. M-CSF is a homodimeric cytokine that is produced by fibroblasts, epithelial cells, bone marrow stromal cells, osteoblasts, keratinocytes, macrophages, T cells and B cells. M-CSF is a glycoprotein required for the proliferation and differentiation of mononuclear phagocytes, including osteoclasts. M-CSF has also been identified as an important mediator of the inflammatory response and can regulate the release of proinflammatory cytokines from macrophages. M-CSF exerts its pleiotropic effects by binding to a single type of high affinity cell surface receptor that is encoded by the c-Fms proto-oncogene. |
| Conjucates | Unconjugated |
| Immunogen | Recombinant Protein |
| Uniprot ID |
| Molecular Weight | Theoretical: 60 kDa. |
| Stability & Storage | Store at -20°C or -80°C for 12 months. Avoid repeated freeze-thaw cycles. |
| Transport | Shipping with blue ice. |
| Size | Quantity | Unit Price | Amount | Operation |
|---|

Copyright © 2015-2026 TargetMol Chemicals Inc. All Rights Reserved.