Shopping Cart
Remove All
Your shopping cart is currently empty
Anti-Lysozyme C Antibody (1Z83) is a Rabbit antibody targeting Lysozyme C. Anti-Lysozyme C Antibody (1Z83) can be used in ICC/IF,IHC,IP,WB.
| Pack Size | Price | USA Warehouse | Global Warehouse | Quantity |
|---|---|---|---|---|
| 50 μL | $297 | 7-10 days | 7-10 days | |
| 100 μL | $498 | 7-10 days | 7-10 days |
| Description | Anti-Lysozyme C Antibody (1Z83) is a Rabbit antibody targeting Lysozyme C. Anti-Lysozyme C Antibody (1Z83) can be used in ICC/IF,IHC,IP,WB. |
| Synonyms | Lysozyme C, 1,4-beta-N-acetylmuramidase C |
| Ig Type | IgG |
| Clone | 1Z83 |
| Reactivity | Human,Mouse |
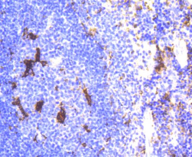
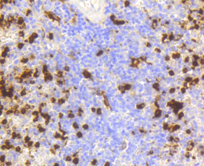
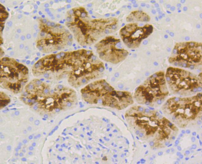
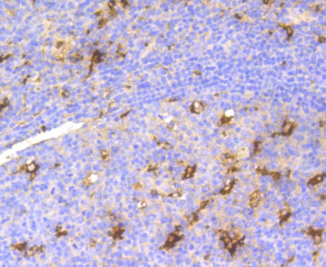
| Verified Activity | 1. Western blot analysis of Lysozyme on different lysates using anti-Lysozyme antibody at 1/1,000 dilution. Positive control: Lane 1: Mouse kidney, Lane 2: HL-60. 2. Immunohistochemical analysis of paraffin-embedded human tonsil tissue using anti-Lysozyme antibody. Counter stained with hematoxylin. 3. Immunohistochemical analysis of paraffin-embedded human spleen tissue using anti-Lysozyme antibody. Counter stained with hematoxylin. The nuclear counter stain is DAPI (blue). 4. Immunohistochemical analysis of paraffin-embedded human kidney tissue using anti-Lysozyme antibody. Counter stained with hematoxylin. 5. Immunohistochemical analysis of paraffin-embedded mouse spleen tissue using anti-Lysozyme antibody. Counter stained with hematoxylin. 6. Immunohistochemical analysis of paraffin-embedded mouse kidney tissue using anti-Lysozyme antibody. Counter stained with hematoxylin. 7. ICC staining Lysozyme in CRC cells (green). The nuclear counter stain is DAPI (blue). Cells were fixed in paraformaldehyde, permeabilised with 0.25% Triton X100/PBS. ![]() ![]() ![]() ![]() ![]() ![]() ![]() |
| Application | |
| Recommended Dose | WB: 1:1000-2000; IHC: 1:200-500; ICC/IF: 1:50-200 |
| Antibody Type | Monoclonal |
| Host Species | Rabbit |
| Construction | Recombinant Antibody |
| Purification | ProA affinity purified |
| Appearance | Liquid |
| Formulation | 1*TBS (pH7.4), 1%BSA, 40%Glycerol. Preservative: 0.05% Sodium Azide. |
| Research Background | The origins of the lysozyme proteins date back an estimated 400 to 600 million years. Generally, lysozyme genes are relatively small, roughly 10 kilobases in length, and composed of four exons and three introns. Originally a bacteriolytic defensive agent, the function of this family of proteins adapted to serve a digestive function in its present forms. Lysozymes in tissues and body fluids are associated with the monocyte-macrophage system and enhance the activity of immunoagents. Lysozyme C belongs to the glycosyl hydrolase 22 family, and newly identified relatives of Lysozyme C appear to possess HIV activity, as well as preserved bacteriolytic function against Micrococcus lysodeikticus. Lysozyme C is capable of both hydrolysis and transglycosylation and also a slight esterase activity. It acts rapidly on both peptide-substituted and unsubstituted peptidoglycan, and slowly on chitin oligosaccharides. Lysozyme C defects are a cause of amyloidosis VIII, also called familial visceral or Ostertag-type amyloidosis. |
| Conjucates | Unconjugated |
| Immunogen | Recombinant Protein |
| Uniprot ID |
| Molecular Weight | Theoretical: 17 kDa. |
| Stability & Storage | Store at -20°C or -80°C for 12 months. Avoid repeated freeze-thaw cycles. |
| Transport | Shipping with blue ice. |
| Size | Quantity | Unit Price | Amount | Operation |
|---|

Copyright © 2015-2026 TargetMol Chemicals Inc. All Rights Reserved.