Shopping Cart
Remove All
Your shopping cart is currently empty
Anti-LXR-alpha Antibody (5E494) is a Rabbit antibody targeting LXR-alpha. Anti-LXR-alpha Antibody (5E494) can be used in FCM,ICC,IHC,WB.
| Pack Size | Price | USA Warehouse | Global Warehouse | Quantity |
|---|---|---|---|---|
| 50 μL | $297 | 7-10 days | 7-10 days | |
| 100 μL | $498 | 7-10 days | 7-10 days |
| Description | Anti-LXR-alpha Antibody (5E494) is a Rabbit antibody targeting LXR-alpha. Anti-LXR-alpha Antibody (5E494) can be used in FCM,ICC,IHC,WB. |
| Synonyms | Oxysterols receptor LXR-alpha, Nuclear receptor subfamily 1 group H member 3, NR1H3, LXRA, Liver X receptor alpha |
| Ig Type | IgG |
| Clone | 5E494 |
| Reactivity | Human,Mouse,Rat |
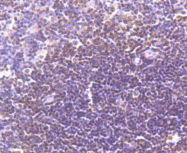
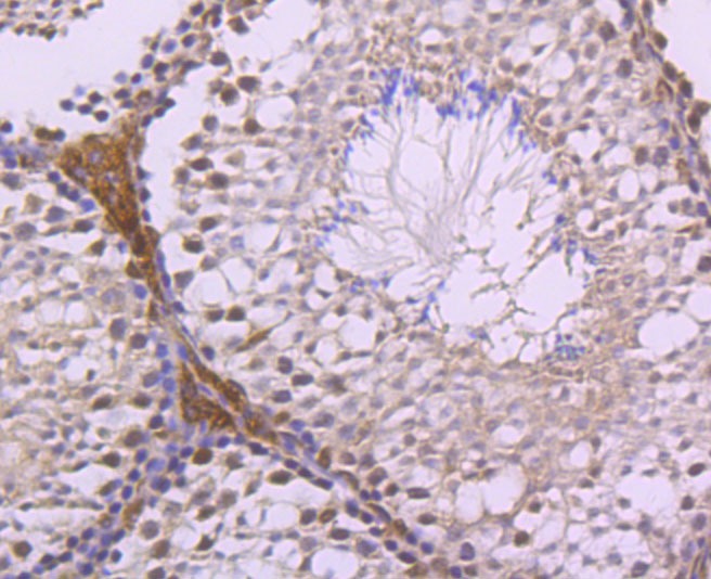
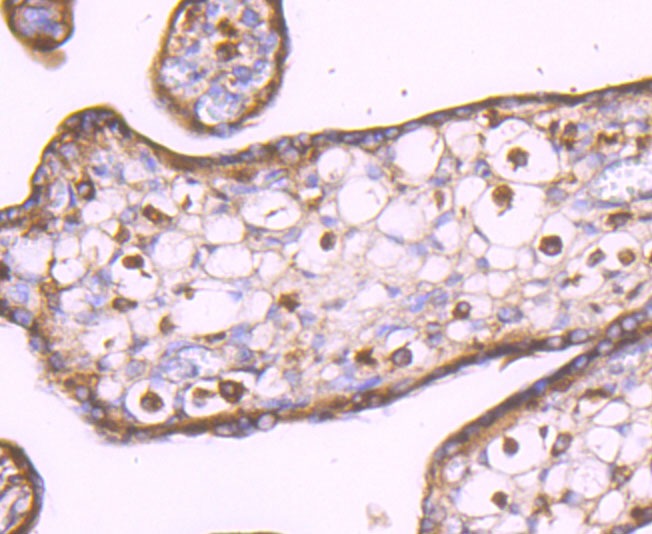
| Verified Activity | 1. Western blot analysis of LXR alpha on mouse colon tissue lysate using anti-LXR alpha antibody at 1/1,000 dilution. 2. Immunohistochemical analysis of paraffin-embedded human placenta tissue using anti-LXR alpha antibody. Counter stained with hematoxylin. 3. Immunohistochemical analysis of paraffin-embedded mouse testes tissue using anti-LXR alpha antibody. Counter stained with hematoxylin. 4. Immunohistochemical analysis of paraffin-embedded human spleen tissue using anti-LXR alpha antibody. Counter stained with hematoxylin. 5. ICC staining LXR alpha in HepG2 cells (green). The nuclear counter stain is DAPI (blue). Cells were fixed in paraformaldehyde, permeabilised with 0.25% Triton X100/PBS. 6. Flow cytometric analysis of HepG2 cells with LXR alpha antibody at 1/100 dilution (red) compared with an unlabelled control (cells without incubation with primary antibody; black). ![]() ![]() ![]() ![]() ![]() ![]() |
| Application | |
| Recommended Dose | WB: 1:500; IHC: 1:50-200; FCM: 1:50-100 |
| Antibody Type | Monoclonal |
| Host Species | Rabbit |
| Construction | Recombinant Antibody |
| Purification | ProA affinity purified |
| Appearance | Liquid |
| Formulation | 1*TBS (pH7.4), 1%BSA, 40%Glycerol. Preservative: 0.05% Sodium Azide. |
| Research Background | Orphan receptor. Interaction with RXR shifts RXR from its role as a silent DNA-binding partner to an active ligand-binding subunit in mediating retinoid responses through target genes defined by LXRES. LXRES are DR4-type response elements characterized by direct repeats of two similar hexanuclotide half-sites spaced by four nucleotides. Plays an important role in the regulation of cholesterol homeostasis, regulating cholesterol uptake through MYLIP-dependent ubiquitination of LDLR, VLDLR and LRP8. |
| Conjucates | Unconjugated |
| Immunogen | Recombinant Protein |
| Uniprot ID |
| Molecular Weight | Theoretical: 50 kDa. |
| Stability & Storage | Store at -20°C or -80°C for 12 months. Avoid repeated freeze-thaw cycles. |
| Transport | Shipping with blue ice. |
| Size | Quantity | Unit Price | Amount | Operation |
|---|

Copyright © 2015-2026 TargetMol Chemicals Inc. All Rights Reserved.