Shopping Cart
Remove All
Your shopping cart is currently empty
Anti-LTF/Lactoferrin Antibody (6J204) is a Mouse antibody targeting LTF/Lactoferrin. Anti-LTF/Lactoferrin Antibody (6J204) can be used in ELISA,ICC/IF,IHC-P.
| Pack Size | Price | USA Warehouse | Global Warehouse | Quantity |
|---|---|---|---|---|
| 50 μL | $216 | 7-10 days | 7-10 days | |
| 100 μL | $317 | 7-10 days | 7-10 days |
| Description | Anti-LTF/Lactoferrin Antibody (6J204) is a Mouse antibody targeting LTF/Lactoferrin. Anti-LTF/Lactoferrin Antibody (6J204) can be used in ELISA,ICC/IF,IHC-P. |
| Synonyms | Talalactoferrin, LTF, LF, Lactotransferrin, Lactoferroxin-C, Lactoferroxin-B, Lactoferroxin-A, Lactoferrin, Kaliocin-1 |
| Clone | 6J204 |
| Reactivity | Human |
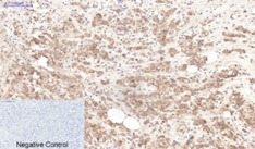
| Verified Activity | 1. Immunohistochemical analysis of paraffin-embedded Human-breast-cancer tissue. 2. Immunofluorescence analysis of human-lung-cancer tissue. ![]() ![]() |
| Application | |
| Recommended Dose | IHC-P 1:50-300; ICC/IF: 1:50-200 ELISA: 1:5000-10000 |
| Antibody Type | Monoclonal |
| Host Species | Mouse |
| Construction | Hybridoma Monoclonal Antibody |
| Appearance | Liquid |
| Formulation | PBS, pH 7.4, containing 0.5%BSA, 0.02% sodium azide as Preservative and 50% Glycerol. |
| Conjucates | Unconjugated |
| Immunogen | A synthesized peptide: Lactoferrin |
| Molecular Weight | Theoretical: 77 kDa. |
| Stability & Storage | Store at -20°C or -80°C for 12 months. Avoid repeated freeze-thaw cycles. |
| Transport | Shipping with blue ice. |
| Size | Quantity | Unit Price | Amount | Operation |
|---|

Copyright © 2015-2026 TargetMol Chemicals Inc. All Rights Reserved.