Shopping Cart
Remove All
Your shopping cart is currently empty
Anti-LSP1 Antibody (1E727) is a Rabbit antibody targeting LSP1. Anti-LSP1 Antibody (1E727) can be used in ICC/IF,IHC,WB.
| Pack Size | Price | USA Warehouse | Global Warehouse | Quantity |
|---|---|---|---|---|
| 50 μL | $298 | 7-10 days | 7-10 days | |
| 100 μL | $498 | 7-10 days | 7-10 days |
| Description | Anti-LSP1 Antibody (1E727) is a Rabbit antibody targeting LSP1. Anti-LSP1 Antibody (1E727) can be used in ICC/IF,IHC,WB. |
| Synonyms | WP34, pp52, lymphocyte-specific protein 1 |
| Ig Type | IgG |
| Clone | 1E727 |
| Reactivity | Human,Mouse,Rat |
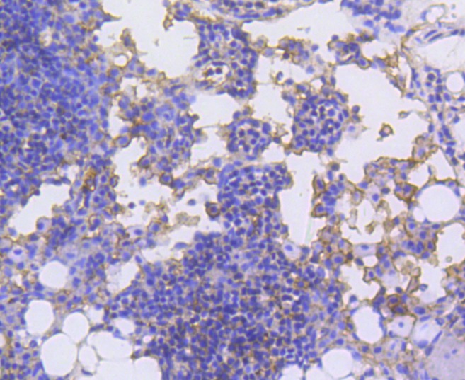
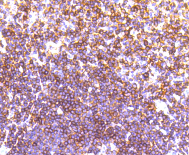
| Verified Activity | 1. Western blot analysis of LSP1 on Daudi cells lysates using anti-LSP1 antibody at 1/1,000 dilution. 2. Immunohistochemical analysis of paraffin-embedded human tonsil tissue using anti-LSP1 antibody. Counter stained with hematoxylin. 3. Immunohistochemical analysis of paraffin-embedded mouse thymus tissue using anti-LSP1 antibody. Counter stained with hematoxylin. ![]() ![]() ![]() |
| Application | |
| Recommended Dose | WB: 1:1000; IHC: 1:50-200; ICC/IF: 1:50-200 |
| Antibody Type | Monoclonal |
| Host Species | Rabbit |
| Construction | Recombinant Antibody |
| Purification | ProA affinity purified |
| Appearance | Liquid |
| Formulation | 1*TBS (pH7.4), 1%BSA, 40%Glycerol. Preservative: 0.05% Sodium Azide. |
| Research Background | pp52 (human) or LSP1 (murine) is a hematopoietic-expressed gene that encodes an F-actin-binding, leukocyte-specific (including B and T lymphocytes, granulocytes and macrophages), phosphoprotein. However, mRNA splice variants that do not encode the lympho-specific protein are expressed from this gene in nonlymphoid cell lines as well (myocytes, stromal cells and fibroblasts), suggesting pp52 has a divergent role in signal transduction. The pp52 (LSP1) locus maps to human chromosome 11p15.5, which is implicated in tumor-related chromosomal translocations found in chronic lymphocytic leukemia. The pp52 promoter contains key elements that control transcriptional activity including an initiator specifying the unique 5' terminus of pp52 mRNA, tandem pairs of Ets and SP1 motifs, and a single C/EBP motif. LSP1 binds the cytoskeleton and has been implicated in affecting cytoskeletal remodeling in a variety of leukocyte functions, including cell motility and chemotaxis. |
| Conjucates | Unconjugated |
| Immunogen | Recombinant Protein |
| Uniprot ID |
| Molecular Weight | Theoretical: 52 kDa. |
| Stability & Storage | Store at -20°C or -80°C for 12 months. Avoid repeated freeze-thaw cycles. |
| Transport | Shipping with blue ice. |
| Size | Quantity | Unit Price | Amount | Operation |
|---|

Copyright © 2015-2026 TargetMol Chemicals Inc. All Rights Reserved.