Shopping Cart
Remove All
Your shopping cart is currently empty
Synonyms: LRRN6A, LINGO1, Leucine-rich repeat neuronal protein 6A, Leucine-rich repeat neuronal protein 1, Leucine-rich repeat and immunoglobulin-like domain-containing nogo receptor-interacting protein 1, Leucine-rich repeat and immunoglobulin domain-containing protein 1, LERN1
| Pack Size | Price | USA Stock | Global Stock | Quantity |
|---|---|---|---|---|
| 50 μL | $221 | 7-10 days | 7-10 days | |
| 100 μL | $374 | 7-10 days | 7-10 days | |
| 200 μL | $528 | 7-10 days | 7-10 days |
| Description | Anti-LINGO1 Polyclonal Antibody is a Rabbit antibody targeting LINGO1. Anti-LINGO1 Polyclonal Antibody can be used in IF,IHC-Fr,IHC-P. |
| Synonyms | LRRN6A, LINGO1, Leucine-rich repeat neuronal protein 6A, Leucine-rich repeat neuronal protein 1, Leucine-rich repeat and immunoglobulin-like domain-containing nogo receptor-interacting protein 1, Leucine-rich repeat and immunoglobulin domain-containing protein 1, LERN1 |
| Ig Type | IgG |
| Reactivity | Mouse,Rat (predicted:Human,Chicken,Dog,Pig,Cow,Horse) |
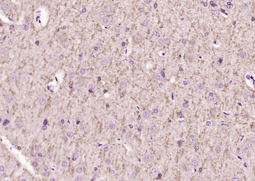
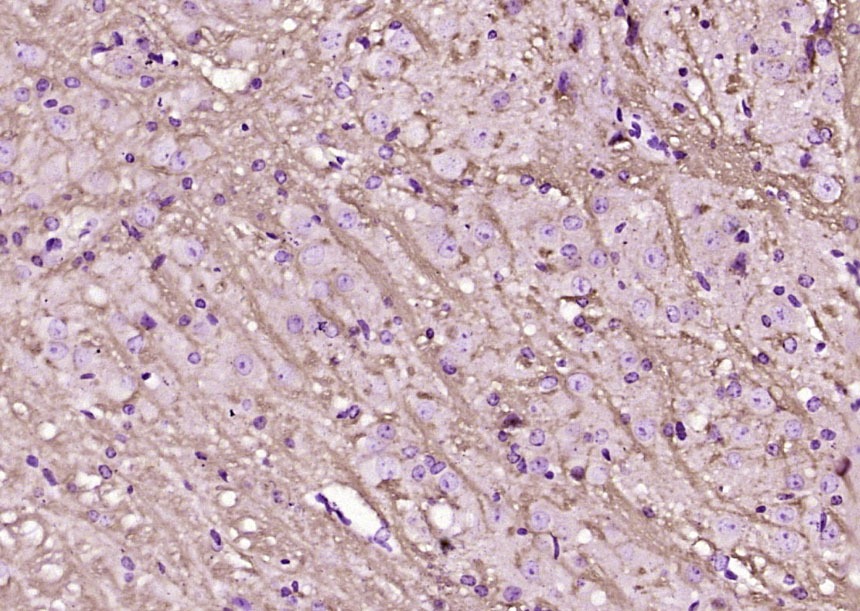
| Verified Activity | 1. Paraformaldehyde-fixed, paraffin embedded (mouse cerebellum tissue); Antigen retrieval by boiling in sodium citrate buffer (pH6.0) for 15 min; Block endogenous peroxidase by 3% hydrogen peroxide for 20 min; Blocking buffer (normal goat serum) at 37°C for 30 min; Antibody incubation with (Lingo-1) Polyclonal Antibody, Unconjugated (TMAB-01071) at 1:200 overnight at 4°C, followed by operating according to SP Kit (Rabbit) instructionsand DAB staining. 2. Paraformaldehyde-fixed, paraffin embedded (rat brain tissue); Antigen retrieval by boiling in sodium citrate buffer (pH6.0) for 15 min; Block endogenous peroxidase by 3% hydrogen peroxide for 20 min; Blocking buffer (normal goat serum) at 37°C for 30 min; Antibody incubation with (Lingo-1) Polyclonal Antibody, Unconjugated (TMAB-01071) at 1:200 overnight at 4°C, followed by operating according to SP Kit (Rabbit) instructionsand DAB staining. |
| Application | |
| Recommended Dose | IHC-P: 1:100-500; IHC-Fr: 1:100-500; IF: 1:100-500 |
| Antibody Type | Polyclonal |
| Host Species | Rabbit |
| Subcellular Localization | Cell membrane; Single-pass type I membrane protein. |
| Tissue Specificity | Expressed exclusively in the central nervous system. Highest level in the in amygdala, hippocampus, thalamus and cerebral cortex. In the rest of the brain a basal expression seems to be always present. Up-regulated in substantia nigra neurons from Parkins |
| Construction | Polyclonal Antibody |
| Purification | Protein A purified |
| Appearance | Liquid |
| Formulation | 0.01M TBS (pH7.4) with 1% BSA, 0.02% Proclin300 and 50% Glycerol. |
| Concentration | 1 mg/mL |
| Research Background | LINGO-1 (LRR and Ig domain-containing Nogo Receptor interating protein) is a nervous system-specific LRR-Ig-containing protein with an important role in CNS biology. LINGO-1 was discovered in a sequence database search for human SLIT homologs that were selectively expressed in the brain. LINGO-1 is a transmembrane protein that is a component of the Nogo-66 receptor complex. It binds NgR1 and p75 and is an additional functional componenet of the NgR1/p75 signaling complex. |
| Immunogen | KLH conjugated synthetic peptide: human LINGO1 |
| Antigen Species | Human |
| Gene Name | LINGO1 |
| Gene ID | |
| Protein Name | Leucine-rich repeat and immunoglobulin-like domain-containing nogo receptor-interacting protein 1 |
| Uniprot ID | |
| Biology Area | Nervous system development,Axonal Guidance Proteins,Neural Signal Transduction,Neurogenesis,Neuroregeneration,More GPCR |
| Function | Functional component of the Nogo receptor signaling complex (RTN4R/NGFR) in RhoA activation responsible for some inhibition of axonal regeneration by myelin-associated factors. Is also an important negative regulator of oligodentrocyte differentiation and axonal myelination. Acts in conjunction with RTN4 and RTN4R in regulating neuronal precursor cell motility during cortical development. |
| Molecular Weight | Theoretical: 70 kDa. Actual: 75-85 kDa. |
| Stability & Storage | Store at -20°C or -80°C for 12 months. Avoid repeated freeze-thaw cycles. |
| Transport | Shipping with blue ice. |
| Size | Quantity | Unit Price | Amount | Operation |
|---|

Copyright © 2015-2026 TargetMol Chemicals Inc. All Rights Reserved.