Shopping Cart
Remove All
Your shopping cart is currently empty
Anti-LIG1 Antibody (7P159) is a Rabbit antibody targeting LIG1. Anti-LIG1 Antibody (7P159) can be used in IHC,WB.
| Pack Size | Price | USA Warehouse | Global Warehouse | Quantity |
|---|---|---|---|---|
| 50 μL | $296 | 7-10 days | 7-10 days | |
| 100 μL | $498 | 7-10 days | 7-10 days |
| Description | Anti-LIG1 Antibody (7P159) is a Rabbit antibody targeting LIG1. Anti-LIG1 Antibody (7P159) can be used in IHC,WB. |
| Synonyms | Polydeoxyribonucleotide synthase [ATP] 1, LIG1, EC 6.5.1.1, DNA ligase I, DNA ligase 1 |
| Ig Type | IgG |
| Clone | 7P159 |
| Reactivity | Human,Rat |
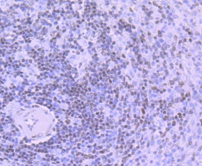
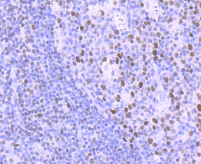
| Verified Activity | 1. Western blot analysis of DNA Ligase I on different cell lysates using anti-DNA Ligase I antibody at 1/500 dilution.Positive control: Lane 1: Daudi, Lane 2: A431, Lane 3: MCF-7. 2. Immunohistochemical analysis of paraffin-embedded human tonsil tissue using anti-DNA Ligase I antibody. Counter stained with hematoxylin. 3. Immunohistochemical analysis of paraffin-embedded human spleen tissue using anti-DNA Ligase I antibody. Counter stained with hematoxylin. 4. Immunohistochemical analysis of paraffin-embedded rat testis tissue using anti-DNA Ligase I antibody. Counter stained with hematoxylin. ![]() ![]() ![]() ![]() |
| Application | |
| Recommended Dose | WB: 1:500; IHC: 1:50-200 |
| Antibody Type | Monoclonal |
| Host Species | Rabbit |
| Construction | Recombinant Antibody |
| Purification | ProA affinity purified |
| Appearance | Liquid |
| Formulation | 1*TBS (pH7.4), 1%BSA, 40%Glycerol. Preservative: 0.05% Sodium Azide. |
| Research Background | This gene encodes a member of the ATP-dependent DNA ligase protein family. The encoded protein functions in DNA replication, recombination, and the base excision repair process. Mutations in this gene that lead to DNA ligase I deficiency result in immunodeficiency and increased sensitivity to DNA-damaging agents. Disruption of this gene may also be associated with a variety of cancers. Alternative splicing results in multiple transcript variants. |
| Conjucates | Unconjugated |
| Uniprot ID |
| Molecular Weight | Theoretical: 102 kDa. |
| Stability & Storage | Store at -20°C or -80°C for 12 months. Avoid repeated freeze-thaw cycles. |
| Transport | Shipping with blue ice. |
| Size | Quantity | Unit Price | Amount | Operation |
|---|

Copyright © 2015-2026 TargetMol Chemicals Inc. All Rights Reserved.