Shopping Cart
- Remove All
 Your shopping cart is currently empty Your shopping cart is currently empty
Anti-LHCGR Polyclonal Antibody is a Rabbit antibody targeting LHCGR. Anti-LHCGR Polyclonal Antibody can be used in IF,IHC-Fr,IHC-P.
| Pack Size | Price | Availability | Quantity | 
|---|---|---|---|
| 50 μL | $221 | 7-10 days | |
| 100 μL | $372 | 7-10 days | |
| 200 μL | $529 | 7-10 days | 
| Description | Anti-LHCGR Polyclonal Antibody is a Rabbit antibody targeting LHCGR. Anti-LHCGR Polyclonal Antibody can be used in IF,IHC-Fr,IHC-P. | 
| Synonyms | Lutropin-choriogonadotropic hormone receptor, Luteinizing hormone receptor (LHR;LSH-R), LHRHR, LHCGR, LH/CG-R, LGR2, LCGR | 
| Ig Type | IgG | 
| Reactivity | Human,Rat (predicted:Mouse,Pig,Cow,Horse,Rabbit,Sheep) | 
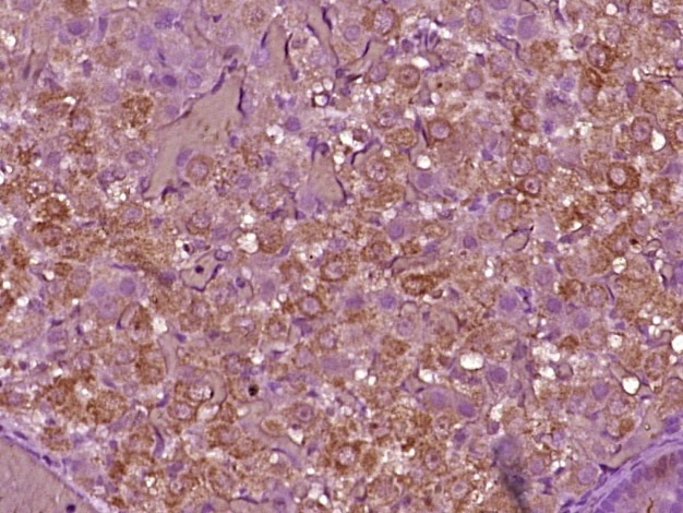
| Verified Activity | Paraformaldehyde-fixed, paraffin embedded (rat ovary tissue); Antigen retrieval by boiling in sodium citrate buffer (pH6.0) for 15 min; Block endogenous peroxidase by 3% hydrogen peroxide for 20 min; Blocking buffer (normal goat serum) at 37°C for 30 min; Antibody incubation with (LHR) Polyclonal Antibody, Unconjugated (TMAB-01066) at 1:400 overnight at 4°C, followed by operating according to SP Kit (Rabbit) instructionsand DAB staining.  | 
| Application | |
| Recommended Dose | IHC-P: 1:100-500; IHC-Fr: 1:100-500; IF: 1:100-500 | 
| Antibody Type | Polyclonal | 
| Host Species | Rabbit | 
| Subcellular Localization | Cell membrane; Multi-pass membrane protein. | 
| Tissue Specificity | Gonadal and thyroid cells. | 
| Construction | Polyclonal Antibody | 
| Purification | Protein A purified | 
| Appearance | Liquid | 
| Formulation | 0.01M TBS (pH7.4) with 1% BSA, 0.02% Proclin300 and 50% Glycerol. | 
| Concentration | 1 mg/mL | 
| Research Background | This gene encodes the receptor for both luteinizing hormone and choriogonadotropin. This receptor belongs to the G-protein coupled receptor 1 family, and its activity is mediated by G proteins which activate adenylate cyclase. Mutations in this gene result in disorders of male secondary sexual character development, including familial male precocious puberty, also known as testotoxicosis, hypogonadotropic hypogonadism, Leydig cell adenoma with precocious puberty, and male pseudohermaphtoditism with Leydig cell hypoplasia. [provided by RefSeq] | 
| Immunogen | KLH conjugated synthetic peptide: human LHR/CGR | 
| Antigen Species | Human | 
| Gene Name | LHCGR | 
| Gene ID | |
| Protein Name | Lutropin-choriogonadotropic hormone receptor | 
| Uniprot ID | |
| Biology Area | Gonadotrophic axis,More GPCR,GPCR | 
| Function | Receptor for lutropin-choriogonadotropic hormone. The activity of this receptor is mediated by G proteins which activate adenylate cyclase. Subcellular Location : Cell membrane; Multi-pass membrane protein. | 
| Molecular Weight | Theoretical: 74 kDa. | 
| Stability & Storage | Store at -20°C or -80°C for 12 months. Avoid repeated freeze-thaw cycles. | 
| Transport | Shipping with blue ice. | 

Copyright © 2015-2025 TargetMol Chemicals Inc. All Rights Reserved.