Shopping Cart
Remove All
Your shopping cart is currently empty
Anti-LGALS3 Antibody (1Z486) is a Rabbit antibody targeting LGALS3. Anti-LGALS3 Antibody (1Z486) can be used in FCM,ICC/IF,WB.
| Pack Size | Price | USA Warehouse | Global Warehouse | Quantity |
|---|---|---|---|---|
| 50 μL | $297 | 7-10 days | 7-10 days | |
| 100 μL | $497 | 7-10 days | 7-10 days |
| Description | Anti-LGALS3 Antibody (1Z486) is a Rabbit antibody targeting LGALS3. Anti-LGALS3 Antibody (1Z486) can be used in FCM,ICC/IF,WB. |
| Synonyms | MAC2GAL3, Mac-2, LGALS3, LGALS2, Lectin L-29, L31, L29, GALIG, Galectin3, GALBPCBP35, galactin-3, Gal-3, GAL3, CBP35, AGE-R3 |
| Ig Type | IgG |
| Clone | 1Z486 |
| Reactivity | Human,Rat |
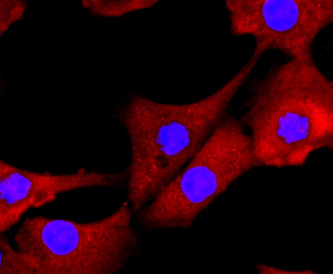
| Verified Activity | 1. Western blot analysis of Galectin 3 on different lysates using anti-Galectin 3 antibody at 1/1,000 dilution. Positive control: Lane 1: Hela, Lane 2: NIH/3T3, Lane 3: THP-1. 2. ICC staining Galectin 3 in Hela cells (red). The nuclear counter stain is DAPI (blue). Cells were fixed in paraformaldehyde, permeabilised with 0.25% Triton X100/PBS. 3. ICC staining Galectin 3 in NIH/3T3 cells (red). The nuclear counter stain is DAPI (blue). Cells were fixed in paraformaldehyde, permeabilised with 0.25% Triton X100/PBS. 4. Flow cytometric analysis of Hela cells with Galectin 3 antibody at 1/50 dilution (red) compared with an unlabelled control (cells without incubation with primary antibody; black). Alexa Fluor 488-conjugated goat anti rabbit IgG was used as the secondary antibody. ![]() ![]() ![]() ![]() |
| Application | |
| Recommended Dose | WB: 1:1000-5000; ICC/IF: 1:50-200; FCM: 1:50-100 |
| Antibody Type | Monoclonal |
| Host Species | Rabbit |
| Construction | Recombinant Antibody |
| Purification | ProA affinity purified |
| Appearance | Liquid |
| Formulation | 1*TBS (pH7.4), 1%BSA, 40%Glycerol. Preservative: 0.05% Sodium Azide. |
| Research Background | Galectins are a family of soluble b-galactoside-binding animal lectins that modulate cell-to-cell adhesion and cell-to-extracellular matrix (ECM) inter- actions and play a role in tumor progression, pre-mRNA splicing and apop-tosis. The galectin-3 protein, also known as Mac-2, hMac-2, GALBP, CBP35 or LGALS3, contains a single carbohydrate binding domain, which binds galactose-containing glycoconjugates. Galectin-3 is expressed in colonic and intestinal epithelium, inflammatory macrophages, papillary and follicular carcinomas, neoplastic astrocytes and some B and T lymphocytes. Upregulated expression of galectin-3 is involved in cancer progression and metastasis. Galectin-3 mediates the endocytosis of β1 Integrins in a lactose-dependent manner and is associated with thyroid malignancy and Crohn's disease. It may also be used as a marker for diagnosing cases involving Hurthle cell adenomas and carcinomas. |
| Conjucates | Unconjugated |
| Immunogen | Recombinant Protein |
| Uniprot ID |
| Molecular Weight | Theoretical: 26 kDa. |
| Stability & Storage | Store at -20°C or -80°C for 12 months. Avoid repeated freeze-thaw cycles. |
| Transport | Shipping with blue ice. |
| Size | Quantity | Unit Price | Amount | Operation |
|---|

Copyright © 2015-2026 TargetMol Chemicals Inc. All Rights Reserved.