Shopping Cart
Remove All
Your shopping cart is currently empty
Anti-Leptin Polyclonal Antibody is a Rabbit antibody targeting Leptin. Anti-Leptin Polyclonal Antibody can be used in IF,IHC-Fr,IHC-P.
| Pack Size | Price | USA Warehouse | Global Warehouse | Quantity |
|---|---|---|---|---|
| 50 μL | $221 | 7-10 days | 7-10 days | |
| 100 μL | $373 | 7-10 days | 7-10 days | |
| 200 μL | $527 | 7-10 days | 7-10 days |
| Description | Anti-Leptin Polyclonal Antibody is a Rabbit antibody targeting Leptin. Anti-Leptin Polyclonal Antibody can be used in IF,IHC-Fr,IHC-P. |
| Synonyms | obese, ob, leptin |
| Ig Type | IgG |
| Reactivity | Human,Mouse,Rat (predicted:Pig,Sheep) |
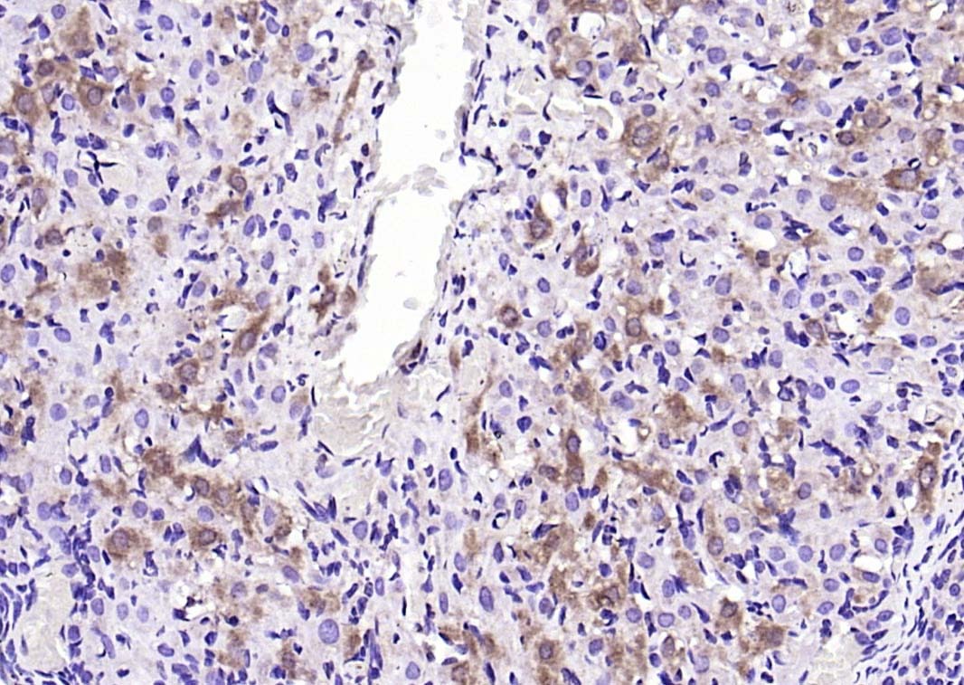
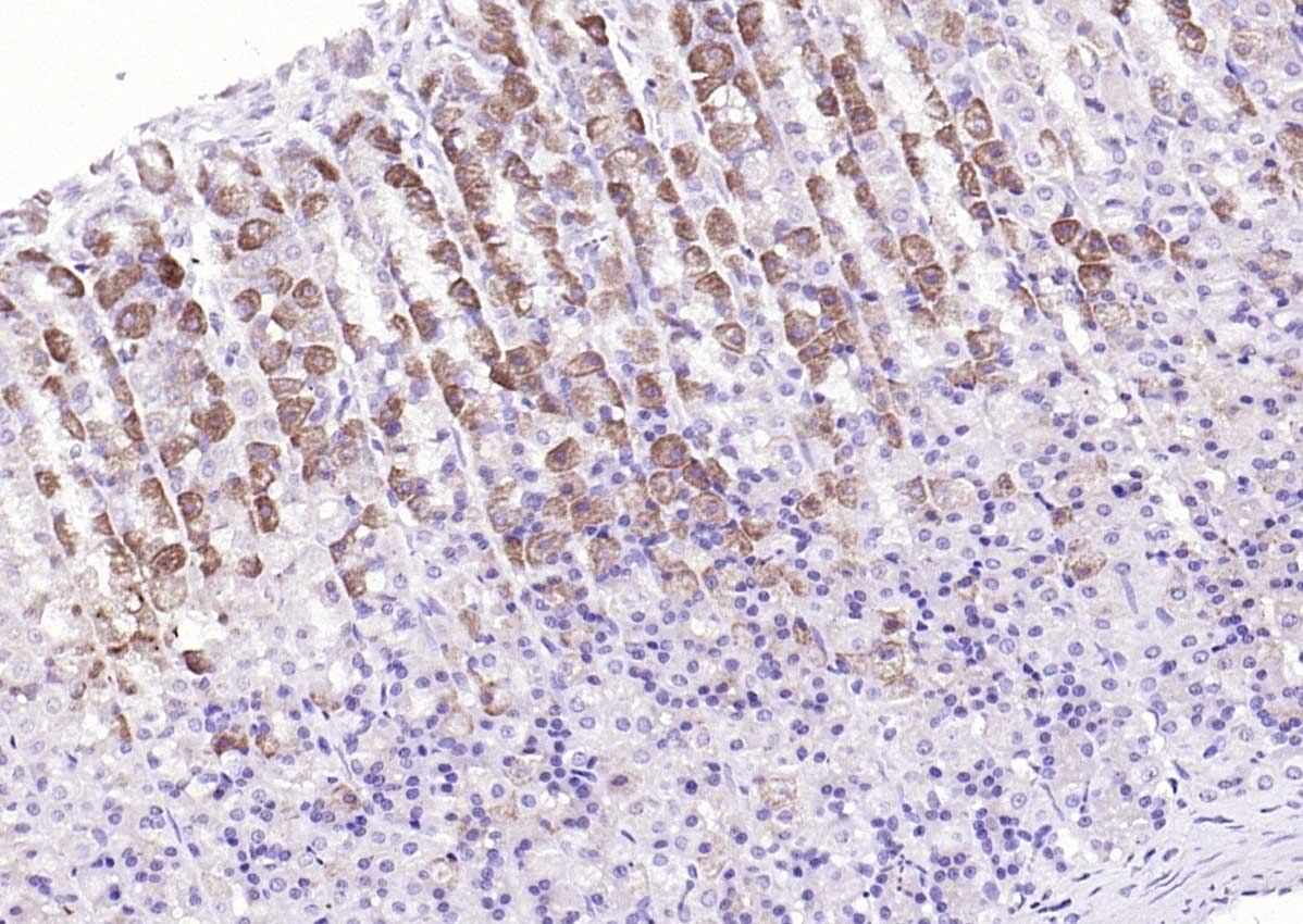
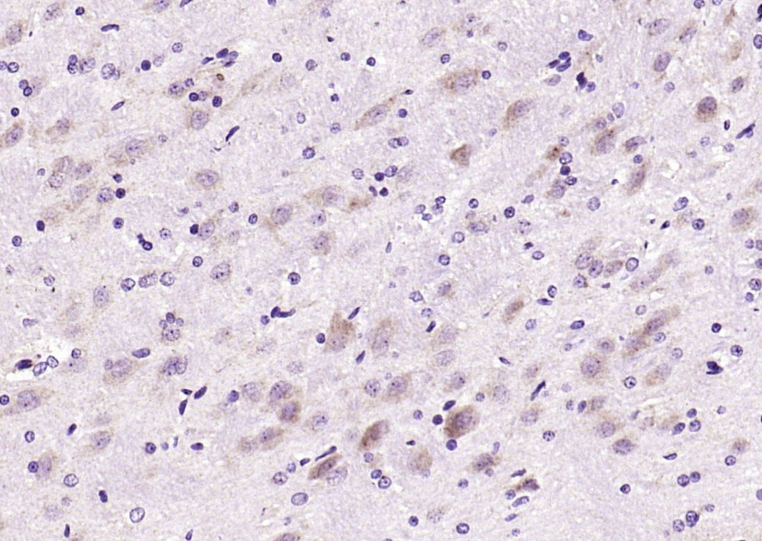
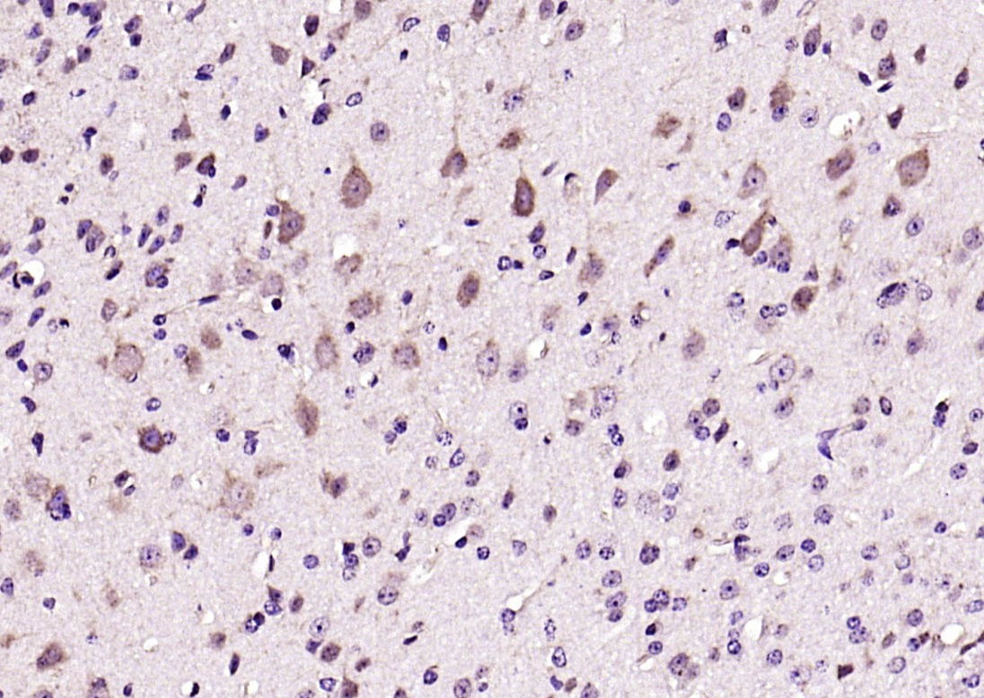
| Verified Activity | 1. Paraformaldehyde-fixed, paraffin embedded (Rat brain); Antigen retrieval by boiling in sodium citrate buffer (pH6.0) for 15 min; Block endogenous peroxidase by 3% hydrogen peroxide for 20 min; Blocking buffer (normal goat serum) at 37°C for 30 min; Antibody incubation with (Leptin) Polyclonal Antibody, Unconjugated (TMAB-01059) at 1:400 overnight at 4°C, followed by operating according to SP Kit (Rabbit) instructions and DAB staining. 2. Paraformaldehyde-fixed, paraffin embedded (mouse brain); Antigen retrieval by boiling in sodium citrate buffer (pH6.0) for 15 min; Block endogenous peroxidase by 3% hydrogen peroxide for 20 min; Blocking buffer (normal goat serum) at 37°C for 30 min; Antibody incubation with (Leptin) Polyclonal Antibody, Unconjugated (TMAB-01059) at 1:200 overnight at 4°C, followed by operating according to SP Kit (Rabbit) instructionsand DAB staining. 3. Paraformaldehyde-fixed, paraffin embedded (rat ovary); Antigen retrieval by boiling in sodium citrate buffer (pH6.0) for 15 min; Block endogenous peroxidase by 3% hydrogen peroxide for 20 min; Blocking buffer (normal goat serum) at 37°C for 30 min; Antibody incubation with (Leptin) Polyclonal Antibody, Unconjugated (TMAB-01059) at 1:200 overnight at 4°C, followed by operating according to SP Kit (Rabbit) instructionsand DAB staining. 4. Paraformaldehyde-fixed, paraffin embedded (rat brain); Antigen retrieval by boiling in sodium citrate buffer (pH6.0) for 15 min; Block endogenous peroxidase by 3% hydrogen peroxide for 20 min; Blocking buffer (normal goat serum) at 37°C for 30 min; Antibody incubation with (Leptin) Polyclonal Antibody, Unconjugated (TMAB-01059) at 1:200 overnight at 4°C, followed by operating according to SP Kit (Rabbit) instructionsand DAB staining. 5. Paraformaldehyde-fixed, paraffin embedded (rat stomach); Antigen retrieval by boiling in sodium citrate buffer (pH6.0) for 15 min; Block endogenous peroxidase by 3% hydrogen peroxide for 20 min; Blocking buffer (normal goat serum) at 37°C for 30 min; Antibody incubation with (Leptin) Polyclonal Antibody, Unconjugated (TMAB-01059) at 1:2000 overnight at 4°C, followed by operating according to SP Kit (Rabbit) instructionsand DAB staining. ![]() ![]() ![]() ![]() ![]() |
| Application | |
| Recommended Dose | IHC-P: 1:100-500; IHC-Fr: 1:100-500; IF: 1:100-500 |
| Antibody Type | Polyclonal |
| Host Species | Rabbit |
| Subcellular Localization | Secreted. |
| Construction | Polyclonal Antibody |
| Purification | Protein A purified |
| Appearance | Liquid |
| Formulation | 0.01M TBS (pH7.4) with 1% BSA, 0.02% Proclin300 and 50% Glycerol. |
| Concentration | 1 mg/mL |
| Research Background | Leptin, the product of the ob (obese) gene, is a 16kD protein consisting of 146 amino acid residues. Leptin is produced in the adipose tissue, and is considered to play an important role in appetite control, fat metabolism and regulation of body weight. It targets the central nervous system, particularly hypothalamus, affecting food intake. Leptin levels are high in most obese individuals. Studies have shown that it may also influence reproductive function. |
| Immunogen | KLH conjugated synthetic peptide: human Leptin |
| Antigen Species | Human |
| Gene Name | LEP |
| Gene ID | |
| Protein Name | Leptin |
| Uniprot ID | |
| Biology Area | Adipogenesis,Hormones,Metabolism,Obesity,Heart disease,Cancer,Diabetes associated |
| Function | May function as part of a signaling pathway that acts to regulate the size of the body fat depot. An increase in the level of LEP may act directly or indirectly on the CNS to inhibit food intake and/or regulate energy expenditure as part of a homeostatic mechanism to maintain constancy of the adipose mass. |
| Molecular Weight | Theoretical: 16 kDa. |
| Stability & Storage | Store at -20°C or -80°C for 12 months. Avoid repeated freeze-thaw cycles. |
| Transport | Shipping with blue ice. |
| Size | Quantity | Unit Price | Amount | Operation |
|---|

Copyright © 2015-2026 TargetMol Chemicals Inc. All Rights Reserved.