Shopping Cart
Remove All
Your shopping cart is currently empty
Anti-LC3B Polyclonal Antibody is a Rabbit antibody targeting LC3B. Anti-LC3B Polyclonal Antibody can be used in IF,IHC-Fr,IHC-P,WB.
| Pack Size | Price | USA Warehouse | Global Warehouse | Quantity |
|---|---|---|---|---|
| 50 μL | $221 | 7-10 days | 7-10 days | |
| 100 μL | $374 | 7-10 days | 7-10 days | |
| 200 μL | $527 | 7-10 days | 7-10 days |
| Description | Anti-LC3B Polyclonal Antibody is a Rabbit antibody targeting LC3B. Anti-LC3B Polyclonal Antibody can be used in IF,IHC-Fr,IHC-P,WB. |
| Synonyms | microtubule-associated protein 1 light chain 3 β, microtubule-associated protein 1 light chain 3 beta, MAP1LC3B-a, MAP1A/1BLC3, LC3B, ATG8F |
| Ig Type | IgG |
| Reactivity | Human,Mouse,Rat,Rabbit (predicted:Chicken,Dog,Pig,Cow,Horse,Zebrafish) |
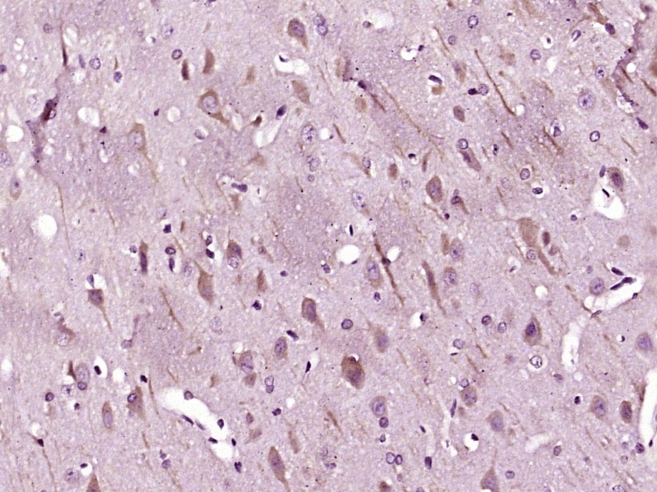
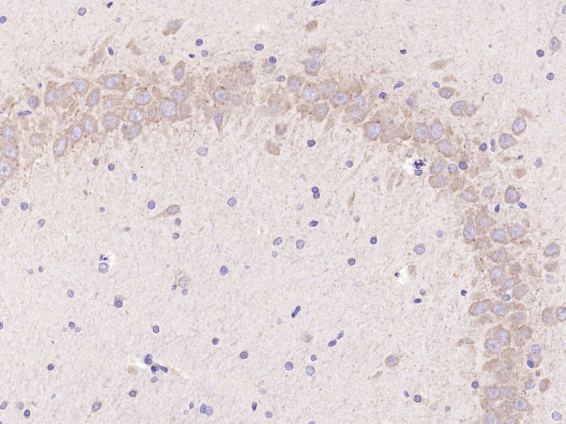
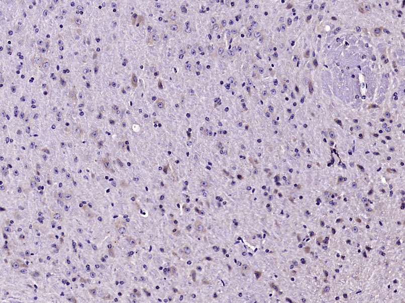
| Verified Activity | 1. Paraformaldehyde-fixed, paraffin embedded (Rat brain); Antigen retrieval by microwave in sodium citrate buffer (pH6.0); Block endogenous peroxidase by 3% hydrogen peroxide for 30 minutes; Blocking buffer (3% BSA) at RT for 30 min; Antibody incubation with (LC3B) Polyclonal Antibody, Unconjugated (TMAB-01052) at 1:400 overnight at 4°C, followed by conjugation to the secondary antibody (labeled with HRP) and DAB staining. 2. Paraformaldehyde-fixed, paraffin embedded (Rabbit brain); Antigen retrieval by boiling in sodium citrate buffer (pH6.0) for 15 min; Block endogenous peroxidase by 3% hydrogen peroxide for 20 min; Blocking buffer (normal goat serum) at 37°C for 30 min; Antibody incubation with (LC3B) Polyclonal Antibody, Unconjugated (TMAB-01052) at 1:400 overnight at 4°C, followed by operating according to SP Kit (Rabbit) instructionsand DAB staining. 3. Paraformaldehyde-fixed, paraffin embedded (Mouse brain); Antigen retrieval by microwave in sodium citrate buffer (pH6.0); Block endogenous peroxidase by 3% hydrogen peroxide for 30 minutes; Blocking buffer (3% BSA) at RT for 30 min; Antibody incubation with (LC3B) Polyclonal Antibody, Unconjugated (TMAB-01052) at 1:400 overnight at 4°C, followed by conjugation to the secondary antibody (labeled with HRP) and DAB staining. 4. Sample: Lane 1: Recombinant human LC3B protein, N-His at 1/1000 dilution Secondary: IRDye800CW Goat Anti-Rabbit IgG at 1/20000 dilution Predicted band size: 13 kDa Observed band size: 15 kDa ![]() ![]() ![]() ![]() |
| Application | |
| Recommended Dose | WB: 1:500-2000; IHC-P: 1:100-500; IHC-Fr: 1:100-500; IF: 1:100-500 |
| Antibody Type | Polyclonal |
| Host Species | Rabbit |
| Subcellular Localization | Cytoplasmic. Endomembrane system; Lipid-anchor. Cytoplasmic vesicle, autophagosome membrane; Lipid-anchor. Note: LC3B binds to the autophagic membranes. |
| Tissue Specificity | Most abundant in heart, brain, liver, skeletal muscle and testis but absent in thymus and peripheral blood leukocytes. |
| Construction | Polyclonal Antibody |
| Purification | Protein A purified |
| Appearance | Liquid |
| Formulation | 0.01M TBS (pH7.4) with 1% BSA, 0.02% Proclin300 and 50% Glycerol. |
| Concentration | 1 mg/mL |
| Research Background | A major contributor to cellular homeostasis is the ability of the cell to strike a balance between the formation and degradation/removal of its cellular components. This process of internal cellular turn-over is called autophagy (self-eating), and is facilitated by a pathway of around 16 interacting proteins in the human. LC3, a ubiquitin-like modifier protein, is the human homolog of yeast Apg8 and is involved in the formation of autophagosomal vacuoles, called autophagosomes. LC3 is expressed as 3 splice variants (LC3A, LC3B and LC3C), which exhibit different tissue distributions and are processed into cytosolic and autophagosomal membrane-bound forms, termed LC3-I and LC3-II, respectively. A disruption to the autophagic process is now associated with the progression of several cancers, neurodegenerative disorders and cardiac pathologies, where LC3 is widely employed as a marker for autophagy. |
| Immunogen | KLH conjugated synthetic peptide: human LC3A/B |
| Antigen Species | Human |
| Gene Name | MAP1LC3B |
| Gene ID | |
| Protein Name | Microtubule-associated proteins 1A/1B light chain 3B |
| Uniprot ID | |
| Biology Area | APG gene products,Signal Transduction,Autophagy,APG gene products,Autophagy and mitophagy,APG gene products,Neurogenesis,MAP |
| Function | Probably involved in formation of autophagosomal vacuoles (autophagosomes). |
| Molecular Weight | Theoretical: 13 kDa. |
| Stability & Storage | Store at -20°C or -80°C for 12 months. Avoid repeated freeze-thaw cycles. |
| Transport | Shipping with blue ice. |
| Size | Quantity | Unit Price | Amount | Operation |
|---|

Copyright © 2015-2025 TargetMol Chemicals Inc. All Rights Reserved.