Shopping Cart
Remove All
Your shopping cart is currently empty
Anti-LAMP2 Polyclonal Antibody is a Rabbit antibody targeting LAMP2. Anti-LAMP2 Polyclonal Antibody can be used in FCM, IF, IHC-Fr, IHC-P, IP, WB.
| Pack Size | Price | USA Warehouse | Global Warehouse | Quantity |
|---|---|---|---|---|
| 50 μL | $221 | 7-10 days | 7-10 days | |
| 100 μL | $374 | 7-10 days | 7-10 days | |
| 200 μL | $529 | 7-10 days | 7-10 days |
| Description | Anti-LAMP2 Polyclonal Antibody is a Rabbit antibody targeting LAMP2. Anti-LAMP2 Polyclonal Antibody can be used in FCM, IF, IHC-Fr, IHC-P, IP, WB. |
| Synonyms | lysosomal-associated membrane protein 2, LGP110, LAMPB, LAMP-2, CD107b |
| Ig Type | IgG |
| Reactivity | Human,Mouse,Rat |
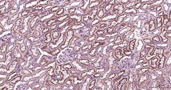
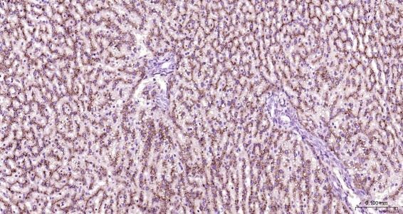
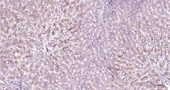
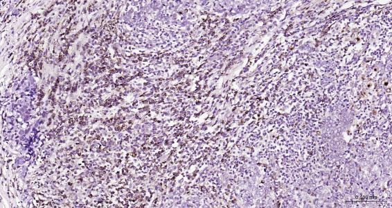
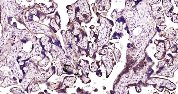
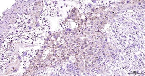
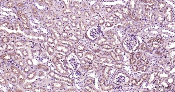
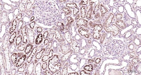
| Verified Activity | 1. 25 μg total protein per Lane of various lysates probed with LAMP2 polyclonal antibody, unconjugated (TMAB-01047) at 1:1000 dilution and 4°C overnight incubation. Followed by conjugated secondary antibody incubation at RT for 60 min. 2. Paraformaldehyde-fixed, paraffin embedded Rat Liver; Antigen retrieval by boiling in sodium citrate buffer (pH6.0) for 15 min; Antibody incubation with LAMP2 Polyclonal Antibody, Unconjugated (TMAB-01047) at 1:200 overnight at 4°C, followed by conjugation to the secondary antibody and DAB staining. 3. Paraformaldehyde-fixed, paraffin embedded Mouse Liver; Antigen retrieval by boiling in sodium citrate buffer (pH6.0) for 15 min; Antibody incubation with LAMP2 Polyclonal Antibody, Unconjugated (TMAB-01047) at 1:200 overnight at 4°C, followed by conjugation to the secondary antibody and DAB staining. 4. Paraformaldehyde-fixed, paraffin embedded Human Liver; Antigen retrieval by boiling in sodium citrate buffer (pH6.0) for 15 min; Antibody incubation with LAMP2 Polyclonal Antibody, Unconjugated (TMAB-01047) at 1:200 overnight at 4°C, followed by conjugation to the secondary antibody and DAB staining. 5. Paraformaldehyde-fixed, paraffin embedded Rat Kidney; Antigen retrieval by boiling in sodium citrate buffer (pH6.0) for 15 min; Antibody incubation with LAMP2 Polyclonal Antibody, Unconjugated (TMAB-01047) at 1:200 overnight at 4°C, followed by conjugation to the secondary antibody and DAB staining. 6. Paraformaldehyde-fixed, paraffin embedded Mouse Kidney; Antigen retrieval by boiling in sodium citrate buffer (pH6.0) for 15 min; Antibody incubation with LAMP2 Polyclonal Antibody, Unconjugated (TMAB-01047) at 1:200 overnight at 4°C, followed by conjugation to the secondary antibody and DAB staining. 7. Paraformaldehyde-fixed, paraffin embedded Human Kidney; Antigen retrieval by boiling in sodium citrate buffer (pH6.0) for 15 min; Antibody incubation with LAMP2 Polyclonal Antibody, Unconjugated (TMAB-01047) at 1:200 overnight at 4°C, followed by conjugation to the secondary antibody and DAB staining. 8. Paraformaldehyde-fixed, paraffin embedded Rat Placenta; Antigen retrieval by boiling in sodium citrate buffer (pH6.0) for 15 min; Antibody incubation with LAMP2 Polyclonal Antibody, Unconjugated (TMAB-01047) at 1:200 overnight at 4°C, followed by conjugation to the secondary antibody and DAB staining. 9. Paraformaldehyde-fixed, paraffin embedded Mouse Placenta; Antigen retrieval by boiling in sodium citrate buffer (pH6.0) for 15 min; Antibody incubation with LAMP2 Polyclonal Antibody, Unconjugated (TMAB-01047) at 1:200 overnight at 4°C, followed by conjugation to the secondary antibody and DAB staining. 10. Paraformaldehyde-fixed, paraffin embedded Human Placenta; Antigen retrieval by boiling in sodium citrate buffer (pH6.0) for 15 min; Antibody incubation with LAMP2 Polyclonal Antibody, Unconjugated (TMAB-01047) at 1:200 overnight at 4°C, followed by conjugation to the secondary antibody and DAB staining. 11. Paraformaldehyde-fixed, paraffin embedded Human Liver Cancer; Antigen retrieval by boiling in sodium citrate buffer (pH6.0) for 15 min; Antibody incubation with LAMP2 Polyclonal Antibody, Unconjugated (TMAB-01047) at 1:200 overnight at 4°C, followed by conjugation to the secondary antibody and DAB staining. 12. Paraformaldehyde-fixed, paraffin embedded Human Thyroid Cancer; Antigen retrieval by boiling in sodium citrate buffer (pH6.0) for 15 min; Antibody incubation with LAMP2 Polyclonal Antibody, Unconjugated (TMAB-01047) at 1:200 overnight at 4°C, followed by conjugation to the secondary antibody and DAB staining. ![]() ![]() ![]() ![]() ![]() ![]() ![]() ![]() ![]() ![]() ![]() ![]() |
| Application | |
| Recommended Dose | FCM=1 μg/Test; IF=1:100-500; IHC-Fr=1:100-500; IHC-P=1:100-500; IP=1:20-50; WB=1:500-2000 |
| Antibody Type | Polyclonal |
| Host Species | Rabbit |
| Subcellular Localization | Cell membrane; Single-pass type I membrane protein. Endosome membrane; Single-pass type I membrane protein. Lysosome membrane; Single-pass type I membrane protein. Note=This protein shuttles between lysosomes, endosomes, and the plasma membrane. |
| Construction | Polyclonal Antibody |
| Purification | Protein A purified |
| Appearance | Liquid |
| Formulation | 0.01M TBS (pH7.4) with 1% BSA, 0.02% Proclin300 and 50% Glycerol. |
| Concentration | 1 mg/mL |
| Research Background | The protein encoded by the LAMP2 gene is a member of a family of membrane glycoproteins. This glycoprotein provides selectins with carbohydrate ligands and is thought to play a role in tumor cell metastasis. It may also function in the protection, maintenance, and adhesion of the lysosome. Alternative splicing of the gene produces two known products, LAMP2a and LAMP2b. Isoform LAMP2a is highly expressed in placenta, lung and liver and has low expression in brain and skeletal muscle. The isoform detected by this antibody, LAMP2b, is highly expressed in skeletal muscle less so in brain, placental, lung, kidney and pancreas and has very low expression in liver. |
| Immunogen | KLH conjugated synthetic peptide: human LAMP2 |
| Antigen Species | Human |
| Gene Name | LAMP2 |
| Gene ID | |
| Protein Name | Lysosome-associated membrane glycoprotein 2 |
| Uniprot ID | |
| Biology Area | Autophagosome,Autophagosome,Other secreted molecules,Energy Metabolism,Autophagosome,Energy Metabolism,Monocytic Lineage,Myeloid Progenitor,Lysosome |
| Function | Implicated in tumor cell metastasis. May function in protection of the lysosomal membrane from autodigestion, maintenance of the acidic environment of the lysosome, adhesion when expressed on the cell surface (plasma membrane), and inter-and intracellular signal transduction. Protects cells from the toxic effects of methylating mutagens. |
| Molecular Weight | Theoretical: 45 kDa. Actual: 120 kDa. |
| Stability & Storage | Store at -20°C or -80°C for 12 months. Avoid repeated freeze-thaw cycles. |
| Transport | Shipping with blue ice. |
| Size | Quantity | Unit Price | Amount | Operation |
|---|

Copyright © 2015-2026 TargetMol Chemicals Inc. All Rights Reserved.