Shopping Cart
Remove All
Your shopping cart is currently empty
Anti-LAMP1 Antibody (8L40) is a Rabbit antibody targeting LAMP1. Anti-LAMP1 Antibody (8L40) can be used in IHC,WB.
| Pack Size | Price | USA Warehouse | Global Warehouse | Quantity |
|---|---|---|---|---|
| 50 μL | $298 | 7-10 days | 7-10 days | |
| 100 μL | $497 | 7-10 days | 7-10 days |
| Description | Anti-LAMP1 Antibody (8L40) is a Rabbit antibody targeting LAMP1. Anti-LAMP1 Antibody (8L40) can be used in IHC,WB. |
| Synonyms | lysosomal-associated membrane protein 1 |
| Ig Type | IgG |
| Clone | 8L40 |
| Reactivity | Human |
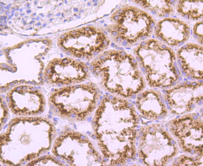
| Verified Activity | 1. Western blot analysis of LAMP1 on different lysates using anti-LAMP1 antibody at 1/1,000 dilution. Positive control: Lane 1: Hela, Lane 2: Jurkat. 2. Immunohistochemical analysis of paraffin-embedded human kidney tissue using anti-LAMP1 antibody. Counter stained with hematoxylin. ![]() ![]() |
| Application | |
| Recommended Dose | WB: 1:1000-2000; IHC: 1:50-200 |
| Antibody Type | Monoclonal |
| Host Species | Rabbit |
| Construction | Recombinant Antibody |
| Purification | ProA affinity purified |
| Appearance | Liquid |
| Formulation | 1*TBS (pH7.4), 1%BSA, 40%Glycerol. Preservative: 0.05% Sodium Azide. |
| Research Background | Lysosome-associated membrane proteins (LAMP) are glycosylated type I membrane proteins that play a role in the biogenesis of the pigment melanin. LAMP-1 (also designated CD107a) and LAMP-2 (also designated CD107b) are involved in a variety of functions, including cellular adhesion, and are thought to participate in the process of tumor invasion and metastasis. Newly synthesized LAMP-1 and LAMP-2 proteins are sorted at the trans-Golgi network and are transported intracellularly via a pathway that is distinct from the Clathrin-coated vesicles used for the mannose-6 phosphate receptor. LAMP-1 is expressed on the surface of Thrombin-activated but not resting platelets, and it is thought to be involved in the adhesive, prothrombic properties of these cells. Both LAMP-1 and LAMP-2 are involved in maintaining lysosome acidity and protecting the lysosomal membranes from autodigestion, and their expression is increased in patients with lysosomal storage disorders. |
| Conjucates | Unconjugated |
| Immunogen | Recombinant Protein |
| Uniprot ID |
| Molecular Weight | Theoretical: 120 kDa. |
| Stability & Storage | Store at -20°C or -80°C for 12 months. Avoid repeated freeze-thaw cycles. |
| Transport | Shipping with blue ice. |
| Size | Quantity | Unit Price | Amount | Operation |
|---|

Copyright © 2015-2026 TargetMol Chemicals Inc. All Rights Reserved.