Shopping Cart
Remove All
Your shopping cart is currently empty
Anti-L1CAM Antibody (1P875) is a Rabbit antibody targeting L1CAM. Anti-L1CAM Antibody (1P875) can be used in IHC,WB.
| Pack Size | Price | USA Warehouse | Global Warehouse | Quantity |
|---|---|---|---|---|
| 50 μL | $296 | 7-10 days | 7-10 days | |
| 100 μL | $497 | 7-10 days | 7-10 days |
| Description | Anti-L1CAM Antibody (1P875) is a Rabbit antibody targeting L1CAM. Anti-L1CAM Antibody (1P875) can be used in IHC,WB. |
| Synonyms | SPG1, S10, NCAM-L1, N-CAM-L1, N-CAML1, MIC5, MASA, L1 cell adhesion molecule, HSAS1, HSAS, CD171, CAML1 |
| Ig Type | IgG |
| Clone | 1P875 |
| Reactivity | Human |
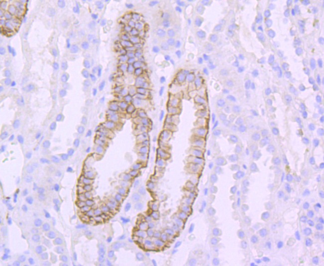
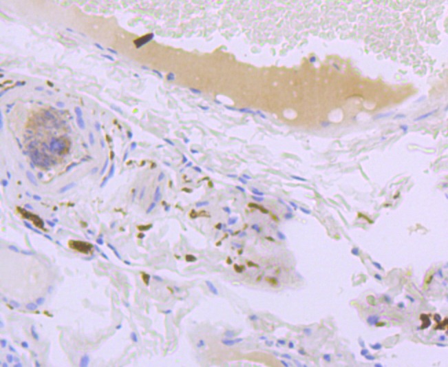
| Verified Activity | 1. Western blot analysis of L1CAM on different cells lysates using anti-L1CAM antibody at 1/500 dilution. Positive control: Line 1: Hela, Line 2: human brain. 2. Immunohistochemical analysis of paraffin-embedded human kidney tissue using anti-L1CAM antibody. Counter stained with hematoxylin. 3. Immunohistochemical analysis of paraffin-embedded human thyroid tissue using anti-L1CAM antibody. Counter stained with hematoxylin. ![]() ![]() ![]() |
| Application | |
| Recommended Dose | WB: 1:1000-5000; IHC: 1:50-200 |
| Antibody Type | Monoclonal |
| Host Species | Rabbit |
| Construction | Recombinant Antibody |
| Purification | ProA affinity purified |
| Appearance | Liquid |
| Formulation | 1*TBS (pH7.4), 1%BSA, 40%Glycerol. Preservative: 0.05% Sodium Azide. |
| Research Background | Cell adhesion molecules are a family of closely related cell surface glycoproteins involved in cell-cell interactions during growth and are thought to play an important role in embryogenesis and development. Neuronal cell adhesion molecule (NCAM) expression is observed in a variety of human tumors, including neuroblastomas, rhabdomyosarcomas, Wilm's tumors, Ewing's sarcomas and some primitive myeloid malignancies. The NCAM-L1 adhesion molecule (CD171) plays an important role in axon guidance and cell migration in the nervous system. The presence of NCAM-L1 might contribute to tumor progression by promoting cell adhesion and migration and is known to be expressed by neurons, neuroblastomas and other malignant tumors. |
| Conjucates | Unconjugated |
| Immunogen | Recombinant Protein |
| Uniprot ID |
| Molecular Weight | Theoretical: 85/250 kDa. |
| Stability & Storage | Store at -20°C or -80°C for 12 months. Avoid repeated freeze-thaw cycles. |
| Transport | Shipping with blue ice. |
| Size | Quantity | Unit Price | Amount | Operation |
|---|

Copyright © 2015-2026 TargetMol Chemicals Inc. All Rights Reserved.