Shopping Cart
Remove All
Your shopping cart is currently empty
Anti-KRT9 Antibody (1T211) is a Rabbit antibody targeting KRT9. Anti-KRT9 Antibody (1T211) can be used in IHC,IP,WB.
| Pack Size | Price | USA Warehouse | Global Warehouse | Quantity |
|---|---|---|---|---|
| 50 μL | $296 | 7-10 days | 7-10 days | |
| 100 μL | $497 | 7-10 days | 7-10 days |
| Description | Anti-KRT9 Antibody (1T211) is a Rabbit antibody targeting KRT9. Anti-KRT9 Antibody (1T211) can be used in IHC,IP,WB. |
| Synonyms | type I cytoskeletal 9, Spermatid Perinuclear Ring Manchette Protein K9, Krt9, KRT 9, Keratin-9, Keratin9, Keratin type I cytoskeletal 9, Keratin 9, Keratin, K9, K1C9_HUMAN, EPPK, Cytokeratin-9, Cytokeratin9, Cytokeratin 9, CK-9, CK 9 |
| Ig Type | IgG |
| Clone | 1T211 |
| Reactivity | Human,Mouse,Rat |
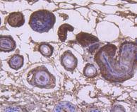
| Verified Activity | 1. Immunohistochemical analysis of paraffin-embedded mouse skin tissue using anti-Cytokeratin 9 antibody. Counter stained with hematoxylin. ![]() |
| Application | |
| Recommended Dose | WB: 1:500-1000; IHC: 1:50-200 |
| Antibody Type | Monoclonal |
| Host Species | Rabbit |
| Construction | Recombinant Antibody |
| Purification | ProA affinity purified |
| Appearance | Liquid |
| Formulation | 1*TBS (pH7.4), 1%BSA, 40%Glycerol. Preservative: 0.05% Sodium Azide. |
| Research Background | Cytokeratins comprise a diverse group of intermediate filament proteins that are expressed as pairs in both keratinized and non-keratinized epithelial tissue. Cytokeratins play a critical role in differentiation and tissue specialization and function to maintain the overall structural integrity of epithelial cells. Cytokeratin 9 is an unusually large, type I acidic cytokeratin that differentiates human plantar and palmar epidermal cells. Cytokeratin 9 localizes to the suprabasal layers as well as the upper epidermal layers such as the glandular ridges and interridges. The domains of cytokeratin 9 include a head, an α-helical coiled-coil-forming rod, and a tail; cytokeratin 9 shares significant homology with cytokeratin 10. Mutations in the cytokeratin 9 gene correlate with the development of epidermolytic palmoplantar keratoderma (EPPK), an autosomal dominant inherited skin disorder that is characterized by hyperkeratosis of the skin over the palms and soles. |
| Conjucates | Unconjugated |
| Immunogen | Recombinant Protein |
| Uniprot ID |
| Molecular Weight | Theoretical: 62 kDa. |
| Stability & Storage | Store at -20°C or -80°C for 12 months. Avoid repeated freeze-thaw cycles. |
| Transport | Shipping with blue ice. |
| Size | Quantity | Unit Price | Amount | Operation |
|---|

Copyright © 2015-2026 TargetMol Chemicals Inc. All Rights Reserved.