Shopping Cart
Remove All
Your shopping cart is currently empty
Anti-KRT5 Antibody (8E980) is a Mouse antibody targeting KRT5. Anti-KRT5 Antibody (8E980) can be used in FCM,ICC,IHC,WB.
| Pack Size | Price | USA Warehouse | Global Warehouse | Quantity |
|---|---|---|---|---|
| 50 μL | $298 | 7-10 days | 7-10 days | |
| 100 μL | $427 | 7-10 days | 7-10 days |
| Description | Anti-KRT5 Antibody (8E980) is a Mouse antibody targeting KRT5. Anti-KRT5 Antibody (8E980) can be used in FCM,ICC,IHC,WB. |
| Synonyms | Type-II keratin Kb5, type II cytoskeletal 5, KRT5A, KRT5, KRT 5A, KRT 5, Keratin-5, Keratin5, Keratin, type II cytoskeletal 5, Keratin Type II Cytoskeletal 5, Keratin 5, Keratin, K5, K2C5, epidermolysis bullosa simplex 2 Dowling-Meara/Kobner/Weber-Cockayne types, EBS2, EBS 2, DDD, Cytokeratin-5, Cytokeratin5, Cytokeratin 5, CK-5, CK5, 58 kDa cytokeratin |
| Clone | 8E980 |
| Reactivity | Human,Mouse,Monkey |
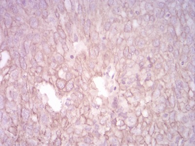
| Verified Activity | 1. Western blot analysis of CK5 on different cells lysates using anti-CK5 antibody at 1/1,000 dilution. Positive control: Line1: A431, Line2: 3T3-L1, Line3: COS7, Line4: MCF-7, Line5: SK-Br-3, Line6: Hela, Line7: Lncap, Line8: HepG2. 2. Western blot analysis of CK5 on human CK5 recombinant protein using anti-CK5 antibody at 1/1,000 dilution. 3. Western blot analysis of CK5 on HEK293 (1) and CK5-hIgGFc transfected HEK293 (2) cell lysate using anti-CK5 antibody at 1/1,000 dilution. 4. Immunohistochemical analysis of paraffin-embedded human ovarian cancer tissue using anti- CK5 antibody. Counter stained with hematoxylin. 5. ICC staining CK5 (green) and Actin filaments (red) in MCF-7 cells. The nuclear counter stain is DAPI (blue). Cells were fixed in paraformaldehyde, permeabilised with 0.25% Triton X100/PBS. 6. Flow cytometric analysis of Hela cells with CK5 antibody at 1/100 dilution (green) compared with an unlabelled control (cells without incubation with primary antibody; red). ![]() ![]() ![]() ![]() ![]() ![]() |
| Application | |
| Recommended Dose | WB: 1:1000-2000; IHC: 1:50-200; ICC: 1:50-200; FCM: 1:50-100 |
| Antibody Type | Monoclonal |
| Host Species | Mouse |
| Construction | Hybridoma Monoclonal Antibody |
| Purification | ProA affinity purified |
| Appearance | Liquid |
| Formulation | 1*TBS (pH7.4), 1%BSA, 40%Glycerol. Preservative: 0.05% Sodium Azide. |
| Research Background | Cytokeratins comprise a diverse group of intermediate filament proteins (IFPs) that are expressed as pairs in both keratinized and non-keratinized epithelial tissue. Cytokeratins play a critical role in differentiation and tissue specialization and function to maintain the overall structural integrity of epithelial cells. Cytokeratins have been found to be useful markers of tissue differentiation which is directly applicable to the characterization of malignant tumors. Cytokeratin 5 is expressed in normal basal cells. Mutations of the cytokeratin 5 gene (KRT5) have been shown to result in the autosomal dominant disorder epidermolysis bullosa (EB). |
| Conjucates | Unconjugated |
| Immunogen | Recombinant Protein |
| Uniprot ID |
| Molecular Weight | Theoretical: 62 kDa. |
| Stability & Storage | Store at -20°C or -80°C for 12 months. Avoid repeated freeze-thaw cycles. |
| Transport | Shipping with blue ice. |
| Size | Quantity | Unit Price | Amount | Operation |
|---|

Copyright © 2015-2026 TargetMol Chemicals Inc. All Rights Reserved.