Shopping Cart
Remove All
Your shopping cart is currently empty
Anti-KRT5 Antibody (1O482) is a Rabbit antibody targeting KRT5. Anti-KRT5 Antibody (1O482) can be used in IHC,WB.
| Pack Size | Price | USA Warehouse | Global Warehouse | Quantity |
|---|---|---|---|---|
| 50 μL | $297 | 7-10 days | 7-10 days | |
| 100 μL | $498 | 7-10 days | 7-10 days |
| Description | Anti-KRT5 Antibody (1O482) is a Rabbit antibody targeting KRT5. Anti-KRT5 Antibody (1O482) can be used in IHC,WB. |
| Synonyms | Type-II keratin Kb5, type II cytoskeletal 5, KRT5A, KRT5, KRT 5A, KRT 5, Keratin-5, Keratin5, Keratin, type II cytoskeletal 5, Keratin Type II Cytoskeletal 5, Keratin 5, Keratin, K5, K2C5, epidermolysis bullosa simplex 2 Dowling-Meara/Kobner/Weber-Cockayne types, EBS2, EBS 2, DDD, Cytokeratin-5, Cytokeratin5, Cytokeratin 5, CK-5, CK5, 58 kDa cytokeratin |
| Ig Type | IgG |
| Clone | 1O482 |
| Reactivity | Human,Mouse |
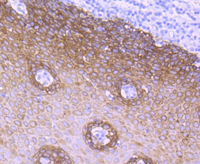
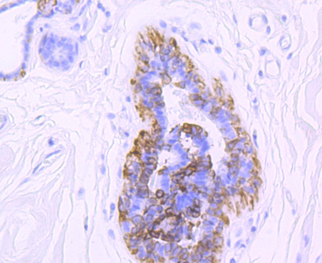
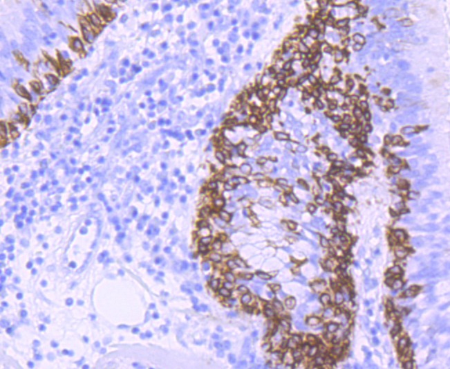
| Verified Activity | 1. Western blot analysis of Cytokeratin 5 on A431 cell lysates using anti-Cytokeratin 5 at 1/500 dilution. 2. Immunohistochemical analysis of paraffin-embedded human tonsil tissue using anti-Cytokeratin 5 antibody. Counter stained with hematoxylin. 3. Immunohistochemical analysis of paraffin-embedded human lung cancer tissue using anti-Cytokeratin 5 antibody. Counter stained with hematoxylin. 4. Immunohistochemical analysis of paraffin-embedded human brest cancer tissue using anti-Cytokeratin 5 antibody. Counter stained with hematoxylin. ![]() ![]() ![]() ![]() |
| Application | |
| Recommended Dose | WB: 1:1000; IHC: 1:50-200 |
| Antibody Type | Monoclonal |
| Host Species | Rabbit |
| Construction | Recombinant Antibody |
| Purification | ProA affinity purified |
| Appearance | Liquid |
| Formulation | 1*TBS (pH7.4), 1%BSA, 40%Glycerol. Preservative: 0.05% Sodium Azide. |
| Research Background | Cytokeratins comprise a diverse group of intermediate filament proteins (IFPs) that are expressed as pairs in both keratinized and non-keratinized epithelial tissue. Cytokeratins play a critical role in differentiation and tissue specialization and function to maintain the overall structural integrity of epithelial cells. Cytokeratins have been found to be useful markers of tissue differentiation which is directly applicable to the characterization of malignant tumors. Cytokeratin 5 is expressed in normal basal cells. Mutations of the cytokeratin 5 gene (KRT5) have been shown to result in the autosomal dominant disorder epidermolysis bullosa (EB). |
| Conjucates | Unconjugated |
| Immunogen | Recombinant Protein |
| Uniprot ID |
| Molecular Weight | Theoretical: 62 kDa. |
| Stability & Storage | Store at -20°C or -80°C for 12 months. Avoid repeated freeze-thaw cycles. |
| Transport | Shipping with blue ice. |
| Size | Quantity | Unit Price | Amount | Operation |
|---|

Copyright © 2015-2026 TargetMol Chemicals Inc. All Rights Reserved.