Shopping Cart
Remove All
Your shopping cart is currently empty
Anti-KRT19 Polyclonal Antibody is a Rabbit antibody targeting KRT19. Anti-KRT19 Polyclonal Antibody can be used in FCM,IF,IHC-Fr,IHC-P,WB.
| Pack Size | Price | USA Stock | Global Stock | Quantity |
|---|---|---|---|---|
| 50 μL | $220 | 7-10 days | 7-10 days | |
| 100 μL | $373 | 7-10 days | 7-10 days | |
| 200 μL | $529 | 7-10 days | 7-10 days |
| Description | Anti-KRT19 Polyclonal Antibody is a Rabbit antibody targeting KRT19. Anti-KRT19 Polyclonal Antibody can be used in FCM,IF,IHC-Fr,IHC-P,WB. |
| Synonyms | type I cytoskeletal 19, KRT19, Keratin-19 (K19), Keratin, type I cytoskeletal 19, Cytokeratin-19 (CK-19) |
| Ig Type | IgG |
| Reactivity | Human (predicted:Mouse,Rat,Chicken,Dog,Pig,Cow,Horse,Rabbit) |
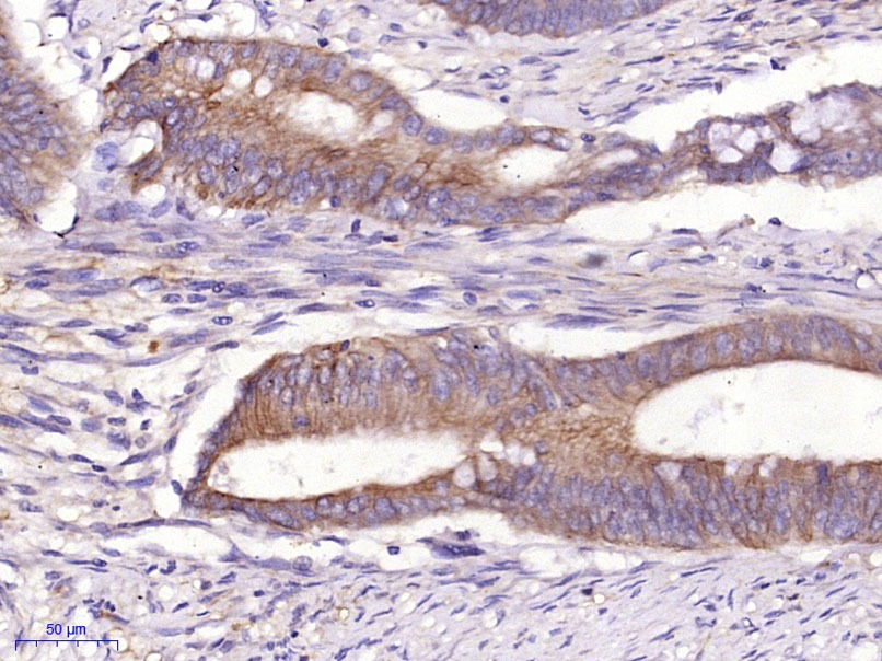
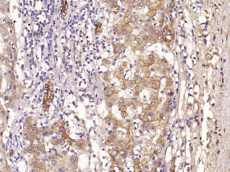
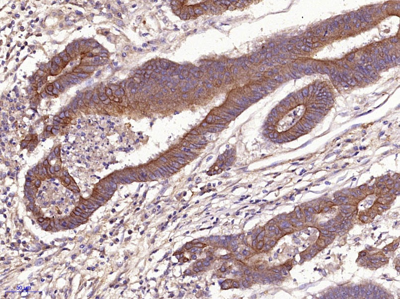
| Verified Activity | 1. Paraformaldehyde-fixed, paraffin embedded (Human liver carcinoma); Antigen retrieval by microwave in sodium citrate buffer (pH6.0); Block endogenous peroxidase by 3% hydrogen peroxide for 30 minutes; Blocking buffer (3% BSA) at RT for 30 min; Antibody incubation with (Cytokeratin 19) Polyclonal Antibody, Unconjugated (TMAB-01039) at 1:400 overnight at 4°C, followed by conjugation to the secondary antibody (labeled with HRP) and DAB staining. 2. Blank control (blue): MCF7 (fixed with 2% paraformaldehyde (10 min) and then permeabilized with ice-cold 90% methanol for 30 min on ice). Primary Antibody: Rabbit Anti-Cytokeratin 19/FITC Conjugated antibody (TMAB-01039/FITC), Dilution: 1 μg in 100 μL 1X PBS containing 0.5% BSA; Isotype Control Antibody: Rabbit IgG/FITC (orange),used under the same conditions. 3. Blank control (blue line): Hela (fixed with 70% methanol (Overnight at 4°C) and then permeabilized with 90% ice-cold methanol for 20 min at-20°C). Primary Antibody (green line): Rabbit Anti-Cytokeratin 19 antibody (TMAB-01039), Dilution: 1 μg/10^6 cells; Isotype Control Antibody (orange line): Rabbit IgG. Secondary Antibody (white blue line): Goat anti-rabbit IgG-PE, Dilution: 1 μg/test. 4. Blank control: A549. Primary Antibody (green line): Rabbit Anti-Cytokeratin 19 antibody (TMAB-01039) Dilution: 2 μg/10^6 cells; Isotype Control Antibody (orange line): Rabbit IgG. Secondary Antibody: Goat anti-rabbit IgG-AF647 Dilution: 1 μg/test. Protocol The cells were fixed with 4% PFA (10 min at room temperature) and then permeabilized with 0.1% PBST for 20 min at room temperature. The cells were then incubated in 5% BSA to block non-specific protein-protein interactions for 30 min at room temperature. Cells stained with Primary Antibody for 30 min at room temperature. The secondary antibody used for 40 min at room temperature. 5. Sample: Lane 1: A549 (Human) Cell Lysate at 30 μg Lane 2: MCF-7 (Human) Cell Lysate at 30 μg Lane 3: HepG2 (Human) Cell Lysate at 30 μg Primary: Anti-Cytokeratin 19 (TMAB-01039) at 1/1000 dilution Secondary: IRDye800CW Goat Anti-Rabbit IgG at 1/20000 dilution Predicted band size: 42 kDa Observed band size: 42 kDa 6. Blank control: MCF-7. Primary Antibody (green line): Rabbit Anti-Cytokeratin 19 antibody (TMAB-01039) Dilution: 1 μg/Test; Secondary Antibody: Goat anti-rabbit IgG-FITC Dilution: 0.5 μg/Test. Protocol The cells were fixed with 4% PFA (10 min at room temperature) and then permeabilized with 90% ice-cold methanol for 20 min at-20°C. The cells were then incubated in 5% BSA to block non-specific protein-protein interactions for 30 min at room temperature. Cells stained with Primary Antibody for 30 min at room temperature. The secondary antibody used for 40 min at room temperature. 7. Paraformaldehyde-fixed, paraffin embedded (Human cervical carcinoma); Antigen retrieval by microwave in sodium citrate buffer (pH6.0); Block endogenous peroxidase by 3% hydrogen peroxide for 30 minutes; Blocking buffer (3% BSA) at RT for 30 min; Antibody incubation with (Cytokeratin 19) Polyclonal Antibody, Unconjugated (TMAB-01039) at 1:400 overnight at 4°C, followed by conjugation to the secondary antibody (labeled with HRP) and DAB staining. 8. Paraformaldehyde-fixed, paraffin embedded (Human stomach carcinoma); Antigen retrieval by microwave in sodium citrate buffer (pH6.0); Block endogenous peroxidase by 3% hydrogen peroxide for 30 minutes; Blocking buffer (3% BSA) at RT for 30 min; Antibody incubation with (Cytokeratin 19) Polyclonal Antibody, Unconjugated (TMAB-01039) at 1:400 overnight at 4°C, followed by conjugation to the secondary antibody (labeled with HRP) and DAB staining. ![]() ![]() ![]() ![]() ![]() ![]() ![]() ![]() |
| Application | |
| Recommended Dose | WB: 1:500-2000; IHC-P: 1:100-500; IHC-Fr: 1:100-500; IF: 1:100-500; FCM: 1μg /test |
| Antibody Type | Polyclonal |
| Host Species | Rabbit |
| Tissue Specificity | Expressed in a defined zone of basal keratinocytes in the deep outer root sheath of hair follicles. Also observed in sweat gland and mammary gland ductal and secretory cells, bile ducts, gastrointestinal tract, bladder urothelium, oral epithelia, esophagu |
| Construction | Polyclonal Antibody |
| Purification | Protein A purified |
| Appearance | Liquid |
| Formulation | 0.01M TBS (pH7.4) with 1% BSA, 0.02% Proclin300 and 50% Glycerol. |
| Concentration | 1 mg/mL |
| Research Background | The protein encoded by this gene is a member of the keratin family. The keratins are intermediate filament proteins responsible for the structural integrity of epithelial cells and are subdivided into cytokeratins and hair keratins. The type I cytokeratins consist of acidic proteins which are arranged in pairs of heterotypic keratin chains. Unlike its related family members, this smallest known acidic cytokeratin is not paired with a basic cytokeratin in epithelial cells. It is specifically expressed in the periderm, the transiently superficial layer that envelopes the developing epidermis. The type I cytokeratins are clustered in a region of chromosome 17q12-q21. |
| Immunogen | KLH conjugated synthetic peptide: human Cytokeratin 19. |
| Antigen Species | Human |
| Gene Name | KRT19 |
| Gene ID | |
| Protein Name | Keratin, type I cytoskeletal 19 |
| Uniprot ID | |
| Biology Area | Cytokeratins |
| Function | Involved in the organization of myofibers. Together with KRT8, helps to link the contractile apparatus to dystrophin at the costameres of striated muscle. |
| Molecular Weight | Theoretical: 44 kDa. Actual: 42 kDa. |
| Stability & Storage | Store at -20°C or -80°C for 12 months. Avoid repeated freeze-thaw cycles. |
| Transport | Shipping with blue ice. |
| Size | Quantity | Unit Price | Amount | Operation |
|---|

Copyright © 2015-2026 TargetMol Chemicals Inc. All Rights Reserved.