Shopping Cart
Remove All
Your shopping cart is currently empty
Anti-KRT19 Antibody (2S884) is a Mouse antibody targeting KRT19. Anti-KRT19 Antibody (2S884) can be used in IHC.
| Pack Size | Price | USA Warehouse | Global Warehouse | Quantity |
|---|---|---|---|---|
| 50 μL | $217 | 7-10 days | 7-10 days | |
| 100 μL | $317 | 7-10 days | 7-10 days |
| Description | Anti-KRT19 Antibody (2S884) is a Mouse antibody targeting KRT19. Anti-KRT19 Antibody (2S884) can be used in IHC. |
| Synonyms | type I cytoskeletal 19, KRT19, Keratin-19 (K19), Keratin, type I cytoskeletal 19, Cytokeratin-19 (CK-19) |
| Clone | 2S884 |
| Reactivity | Human,Mouse,Rat |
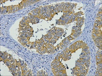
| Verified Activity | 1. IHC staining of paraffin-embedded Human colon cancer tissue with CK19 mouse mAb diluted at 1:200. ![]() |
| Application | |
| Recommended Dose | IHC: 1:200 |
| Antibody Type | Monoclonal |
| Host Species | Mouse |
| Construction | Hybridoma Monoclonal Antibody |
| Purification | Affinity purification using immunogen. |
| Appearance | Liquid |
| Formulation | Mouse IgG1 in phosphate buffered saline (without Mg2+ and Ca2+), pH 7.4, 150mM NaCl, 0.02% sodium azide and 50% glycerol. |
| Research Background | Ck19 protein is a member of the keratin family. The type I cytokeratins consist of acidic proteins which are arranged in pairs of heterotypic keratin chains. Unlike its related family members, this smallest known acidic cytokeratin is not paired with a basic cytokeratin in epithelial cells. It is specifically expressed in the periderm, the transiently superficial layer that envelopes the developing epidermis. Keratin 19 is not expressed in hepatocytes, therefore, antibody to keratin 19 is useful in the identification of liver metastasis. The degree of keratin 19 positivity in breast cancer distinguishes malignant from benign tumours. Keratin 19 is often co-expressed with keratin 7. |
| Conjucates | Unconjugated |
| Uniprot ID |
| Molecular Weight | Actual: 44 kDa. |
| Stability & Storage | Store at -20°C or -80°C for 12 months. Avoid repeated freeze-thaw cycles. |
| Transport | Shipping with blue ice. |
| Size | Quantity | Unit Price | Amount | Operation |
|---|

Copyright © 2015-2026 TargetMol Chemicals Inc. All Rights Reserved.