Shopping Cart
Remove All
Your shopping cart is currently empty
Anti-KRT16 Antibody (5M214) is a Mouse antibody targeting KRT16. Anti-KRT16 Antibody (5M214) can be used in IHC.
| Pack Size | Price | USA Warehouse | Global Warehouse | Quantity |
|---|---|---|---|---|
| 50 μL | $216 | 7-10 days | 7-10 days | |
| 100 μL | $317 | 7-10 days | 7-10 days |
| Description | Anti-KRT16 Antibody (5M214) is a Mouse antibody targeting KRT16. Anti-KRT16 Antibody (5M214) can be used in IHC. |
| Synonyms | type I cytoskeletal 16, KRT16A, KRT16, Keratin-16 (K16), Keratin, type I cytoskeletal 16, Cytokeratin-16 (CK-16) |
| Clone | 5M214 |
| Reactivity | Human,Mouse,Rat |
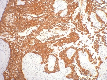
| Verified Activity | 1. IHC staining of human gullet cancer tissue with CK16 mouse mAb diluted at 1:200. ![]() |
| Application | |
| Recommended Dose | IHC: 1:200 |
| Antibody Type | Monoclonal |
| Host Species | Mouse |
| Construction | Hybridoma Monoclonal Antibody |
| Purification | Affinity purification using immunogen. |
| Appearance | Liquid |
| Formulation | Mouse IgG1 in phosphate buffered saline (without Mg2+ and Ca2+), pH 7.4, 150mM NaCl, 0.02% sodium azide and 50% glycerol. |
| Research Background | Keratin 16 is expressed in keratinocytes, which are undergoing rapid turnover in the suprabasal region (also known as hyperproliferation-related keratins). Keratin 16 is absent in normal breast tissue and in noninvasive breast carcinomas. Only 10% of the invasive breast carcinomas show diffuse or focal positivity. Reportedly, a relatively high concordance was found between the carcinomas immunostaining with the basal cell and the hyperproliferation-related keratins, but not between these markers and the proliferation marker Ki-67. This supports the conclusion that basal cells in breast cancer may show extensive proliferation, and that absence of Ki-67 staining does not mean that (tumor) cells are not proliferating. |
| Conjucates | Unconjugated |
| Uniprot ID |
| Molecular Weight | Actual: 51 kDa. |
| Stability & Storage | Store at -20°C or -80°C for 12 months. Avoid repeated freeze-thaw cycles. |
| Transport | Shipping with blue ice. |
| Size | Quantity | Unit Price | Amount | Operation |
|---|

Copyright © 2015-2026 TargetMol Chemicals Inc. All Rights Reserved.