Shopping Cart
Remove All
Your shopping cart is currently empty
Synonyms: Type-II keratin Kb1, type II cytoskeletal 1, KRTA, KRT1, Keratin-1 (K1), Keratin, type II cytoskeletal 1, Hair alpha protein, Cytokeratin-1 (CK-1), 67 kDa cytokeratin
| Pack Size | Price | USA Stock | Global Stock | Quantity |
|---|---|---|---|---|
| 50 μL | $296 | 7-10 days | 7-10 days | |
| 100 μL | $498 | 7-10 days | 7-10 days |
| Description | Anti-KRT1 Antibody (8C677) is a Rabbit antibody targeting KRT1. Anti-KRT1 Antibody (8C677) can be used in IHC,WB. |
| Synonyms | Type-II keratin Kb1, type II cytoskeletal 1, KRTA, KRT1, Keratin-1 (K1), Keratin, type II cytoskeletal 1, Hair alpha protein, Cytokeratin-1 (CK-1), 67 kDa cytokeratin |
| Ig Type | IgG |
| Clone | 8C677 |
| Reactivity | Human,Mouse,Rat |
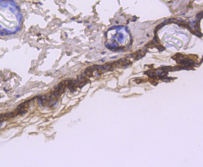
| Verified Activity | 1. Western blot analysis of Cytokeratin 1 on different lysates using anti-Cytokeratin 1 antibody at 1/1,000 dilution. Positive control: Lane 1: 293T, Lane 2: Hela. 2. Immunohistochemical analysis of paraffin-embedded mouse skin tissue using anti-Cytokeratin 1 antibody. Counter stained with hematoxylin. |
| Application | |
| Recommended Dose | WB: 1:1000; IHC: 1:100-500 |
| Antibody Type | Monoclonal |
| Host Species | Rabbit |
| Construction | Recombinant Antibody |
| Purification | ProA affinity purified |
| Appearance | Liquid |
| Formulation | 1*TBS (pH7.4), 1%BSA, 40%Glycerol. Preservative: 0.05% Sodium Azide. |
| Research Background | Cytokeratins comprise a diverse group of intermediate filament proteins (IFPs) that are expressed as pairs in both keratinized and non-keratinized epithelial tissue. Cytokeratins constitute up to 85% of a mature keratinocytes in the vertebrate epidermis. Cytokeratins play a critical role in differentiation and tissue specialization, and they function to maintain the overall structural integrity of epithelial cells. The alpha-helical coiled-coil dimers associate laterally end-to-end to form 10-nm diameter filaments. Cytokeratins are useful markers of tissue differentiation, and they aid in the characterization of malignant tumors. Cytokeratin 1 is highly expressed in several malignancies including epithelioid hemangioendohtheliomas, angiosarcomas, schwannomas, epithelioid sarcomas and synodal sarcomas. The gene encoding human Cytokeratin 1 maps to chromosome 12q13.13. Mutations in the gene encoding human Cytokeratin 1 lead to abnormal filament associations and epidermolytic hyperkeratosis. |
| Conjucates | Unconjugated |
| Immunogen | Recombinant Protein |
| Uniprot ID |
| Molecular Weight | Theoretical: 72 kDa. |
| Stability & Storage | Store at -20°C or -80°C for 12 months. Avoid repeated freeze-thaw cycles. |
| Transport | Shipping with blue ice. |
| Size | Quantity | Unit Price | Amount | Operation |
|---|

Copyright © 2015-2026 TargetMol Chemicals Inc. All Rights Reserved.