Shopping Cart
Remove All
Your shopping cart is currently empty
Anti-KLF2 Polyclonal Antibody is a Rabbit antibody targeting KLF2. Anti-KLF2 Polyclonal Antibody can be used in FCM, IF, IHC-Fr, IHC-P, WB.
| Pack Size | Price | USA Stock | Global Stock | Quantity |
|---|---|---|---|---|
| 50 μL | $220 | 7-10 days | 7-10 days | |
| 100 μL | $372 | 7-10 days | 7-10 days | |
| 200 μL | $529 | 7-10 days | 7-10 days |
| Description | Anti-KLF2 Polyclonal Antibody is a Rabbit antibody targeting KLF2. Anti-KLF2 Polyclonal Antibody can be used in FCM, IF, IHC-Fr, IHC-P, WB. |
| Synonyms | Lung Kruppel like zinc finger transcription factor, Lung krueppel like factor, Lklf, Kruppel-like factor 2(lung), Kruppel like factor LKLF, Kruppel like factor 2, Kruppel like factor, Krueppel-like factor 2, KLF 2 |
| Ig Type | IgG |
| Reactivity | Human,Mouse,Rat (predicted:Pig,Cow,Horse,Rabbit,Sheep) |
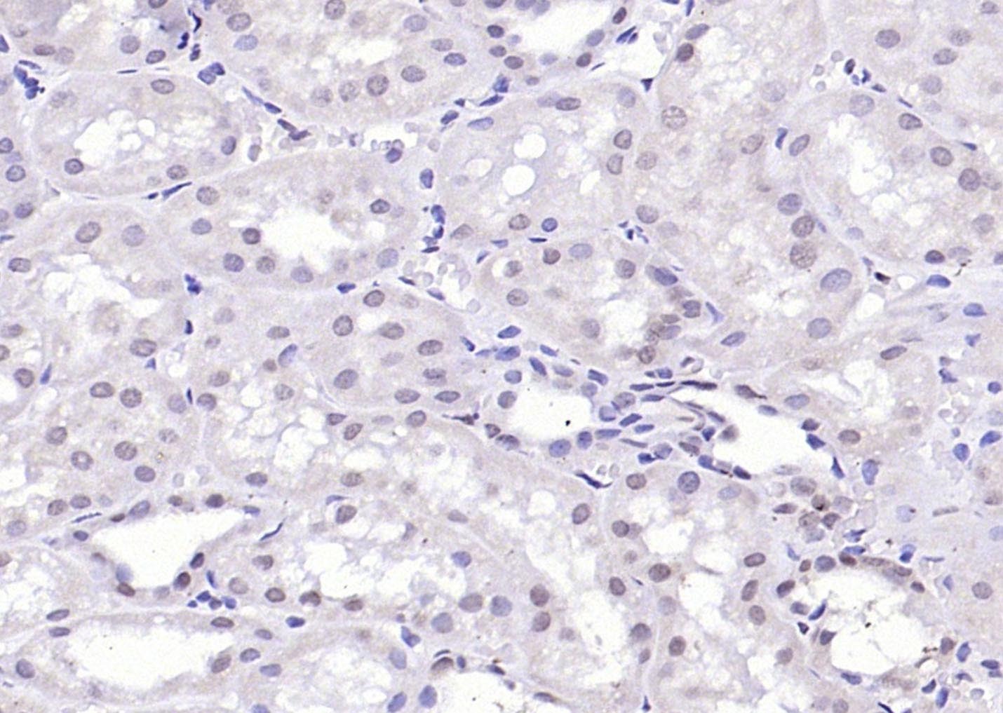
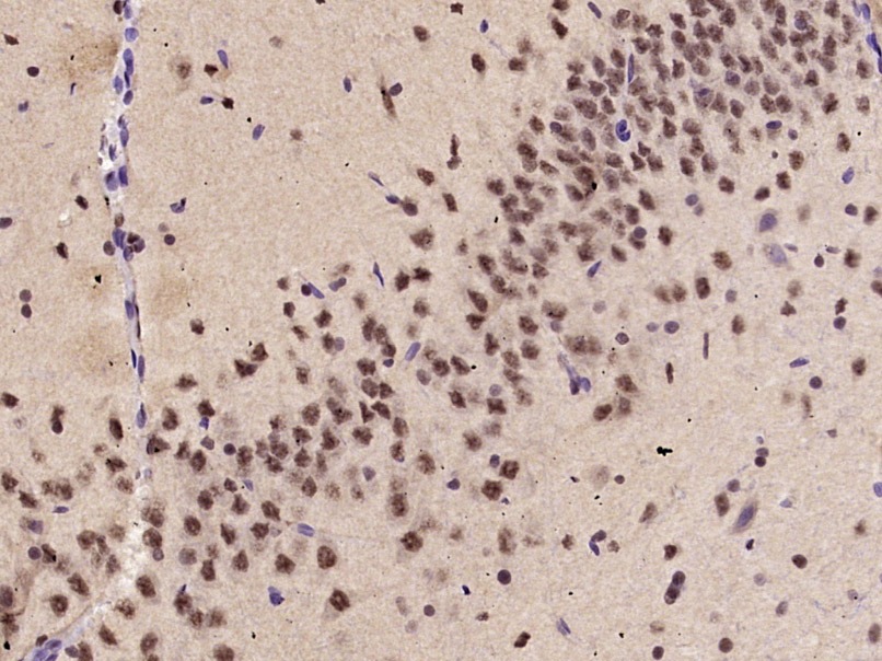
| Verified Activity | 1. Blank control: A431. Primary Antibody (green line): Rabbit Anti-KLF2 antibody (TMAB-01025) Dilution: 1 μg/10^6 cells; Isotype Control Antibody (orange line): Rabbit IgG. Secondary Antibody: Goat anti-rabbit IgG-AF647 Dilution: 1 μg/test. Protocol The cells were fixed with 4% PFA (10 min at room temperature) and then permeabilized with 90% ice-cold methanol for 20 min at-20°C. The cells were then incubated in 5% BSA to block non-specific protein-protein interactions for 30 min at at room temperature. Cells stained with Primary Antibody for 30 min at room temperature. The secondary antibody used for 40 min at room temperature. 2. Paraformaldehyde-fixed, paraffin embedded (Rat brain); Antigen retrieval by microwave in sodium citrate buffer (pH6.0); Block endogenous peroxidase by 3% hydrogen peroxide for 30 minutes; Blocking buffer (3% BSA) at RT for 30 min; Antibody incubation with (KLF2) Polyclonal Antibody, Unconjugated (TMAB-01025) at 1:400 overnight at 4°C, followed by conjugation to the secondary antibody (labeled with HRP) and DAB staining. 3. Tissue/cell: Mouse embryos;4% Paraformaldehyde-fixed and paraffin-embedded; Antigen retrieval: citrate buffer (0.01M, pH6.0), Boiling bathing for 15 min; Blocking buffer (normal goat serum) at 37°C for 20 min; Incubation: Anti-KLF2 Polyclonal Antibody, Unconjugated (TMAB-01025) 1:200, overnight at 4°C; The secondary antibody was Goat Anti-Rabbit IgG, Cy3 conjugated used at 1:200 dilution for 40 minutes at 37°C. DAPI (5 μg/ml,blue) was used to stain the cell nucleus. 4. Sample: Lane1: Brain (Mouse) Lysate at 30 μg Lane2: HepG2 Cell Lysate at 30 μg Primary: Anti-KLF2 (TMAB-01025) at 1:300 dilution; Secondary: HRP conjugated Goat-Anti-Rabbit Igg (bse-0295G-HRP) at 1: 5000 dilution; Predicted band size:39 kDa Observed band size:39 kDa 5. Paraformaldehyde-fixed, paraffin embedded (Human kidney); Antigen retrieval by boiling in sodium citrate buffer (pH6.0) for 15 min; Block endogenous peroxidase by 3% hydrogen peroxide for 20 min; Blocking buffer (normal goat serum) at 37°C for 30 min; Antibody incubation with (KLF2) Polyclonal Antibody, Unconjugated (TMAB-01025) at 1:200 overnight at 4°C, followed by operating according to SP Kit (Rabbit) instructionsand DAB staining. ![]() ![]() ![]() ![]() ![]() |
| Application | |
| Recommended Dose | FCM=1 μg/Test; IF=1:100-500; IHC-Fr=1:100-500; IHC-P=1:100-500; WB=1:500-2000 |
| Antibody Type | Polyclonal |
| Host Species | Rabbit |
| Subcellular Localization | Nucleus. |
| Construction | Polyclonal Antibody |
| Purification | Protein A purified |
| Appearance | Liquid |
| Formulation | 0.01M TBS (pH7.4) with 1% BSA, 0.02% Proclin300 and 50% Glycerol. |
| Concentration | 1 mg/mL |
| Research Background | Kruppel-like factors (KLFs) are a family of broadly expressed zinc finger transcription factors. KLF2 regulates T-cell trafficking by promoting expression of the lipid-binding receptor S1P1 (S1PR1; MIM 601974) and the selectin CD62L (SELL; MIM 153240) (summary by Weinreich et al., 2009 [PubMed 19592277]).[supplied by OMIM, Feb 2011] |
| Immunogen | KLH conjugated synthetic peptide: human KLF2 |
| Antigen Species | Human |
| Gene Name | KLF2 |
| Gene ID | |
| Protein Name | Krueppel-like factor 2 |
| Uniprot ID | |
| Biology Area | Angiogenic inhibitory factors,Endothelium,Krueppel like factor,Krueppel like factor |
| Function | Binds to the CACCC box in the beta-globin gene promoter and activates transcription . |
| Molecular Weight | Theoretical: 37 kDa. Actual: 39 kDa. |
| Stability & Storage | Store at -20°C or -80°C for 12 months. Avoid repeated freeze-thaw cycles. |
| Transport | Shipping with blue ice. |
| Size | Quantity | Unit Price | Amount | Operation |
|---|

Copyright © 2015-2026 TargetMol Chemicals Inc. All Rights Reserved.